SEMA4B Antibody
-
中文名稱:SEMA4B兔多克隆抗體
-
貨號:CSB-PA868280LA01HU
-
規格:¥440
-
圖片:
-
Western Blot
Positive WB detected in: BxPC-3 whole cell lysate(30μg), HT29 whole cell lysate(30μg), U87 whole cell lysate(30μg)
All lanes: SEMA4B antibody at 1:1000
Secondary
Goat polyclonal to rabbit IgG at 1/40000 dilution
Predicted band size: 93,82 kDa
Observed band size: 93 kDa
Exposure time: 120s -
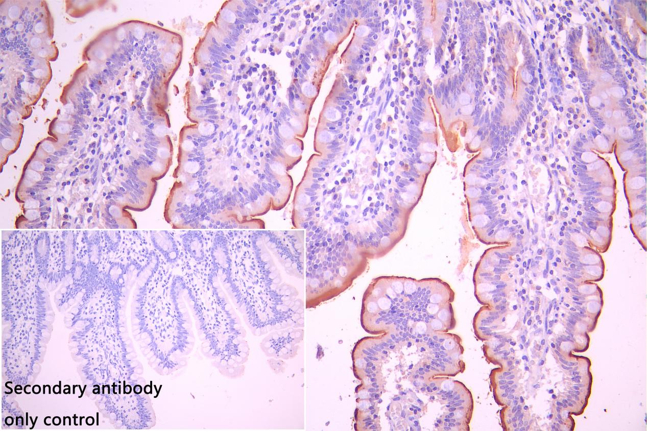
IHC image of CSB-PA868280LA01HU diluted at 1:100 and staining in paraffin-embedded human small intestine tissue performed on a Leica BondTM system. After dewaxing and hydration, antigen retrieval was mediated by high pressure in a citrate buffer (pH 6.0). Section was blocked with 10% normal goat serum 30min at RT. Then primary antibody (1% BSA) was incubated at 4°C overnight. The primary is detected by a Goat anti-rabbit polymer IgG labeled by HRP and visualized using 0.05% DAB. Secondary antibody only control: uses 1% BSA instead of primary antibody
-
-
其他:
產品詳情
-
產品名稱:Rabbit anti-Homo sapiens (Human) SEMA4B Polyclonal antibody
-
Uniprot No.:
-
基因名:SEMA4B
-
別名:SEMA4B antibody; KIAA1745 antibody; SEMAC antibody; UNQ749/PRO1480 antibody; Semaphorin-4B antibody; Semaphorin-C antibody
-
宿主:Rabbit
-
反應種屬:Human
-
免疫原:Synthesized peptide derived from part region of human protein
-
免疫原種屬:Homo sapiens (Human)
-
克隆類型:Polyclonal
-
抗體亞型:IgG
-
純化方式:Antigen?affinity?purification
-
濃度:It differs from different batches. Please contact us to confirm it.
-
保存緩沖液:Liquid in PBS containing 50% glycerol, 0.5% BSA and 0.02% sodium azide.
-
產品提供形式:Liquid
-
應用范圍:ELISA, WB, IHC
-
推薦稀釋比:
Application Recommended Dilution WB 1:500-1:2000 IHC 1:50-1:200 -
Protocols:
-
儲存條件:Upon receipt, store at -20°C or -80°C. Avoid repeated freeze.
-
貨期:Basically, we can dispatch the products out in 1-3 working days after receiving your orders. Delivery time maybe differs from different purchasing way or location, please kindly consult your local distributors for specific delivery time.
-
用途:For Research Use Only. Not for use in diagnostic or therapeutic procedures.
相關產品
靶點詳情
-
功能:Inhibits axonal extension by providing local signals to specify territories inaccessible for growing axons.
-
基因功能參考文獻:
- SEMA4B may induce FoxO1 nuclear retention through suppressing PI3K/Akt signaling pathway, which subsequently inhibited cell growth through the direct nuclear target of FoxO1, p21. PMID: 25746385
- Decrease in SEMA4b levels are associated with metastasis of non-small cell lung cancer. PMID: 25095981
- showed that HIF-1alpha recognized a hypoxia-responsive element (HRE) of SEMA4B gene, which is required for HIF-1-repressed SEMA4B expression PMID: 24474252
-
亞細胞定位:Membrane; Single-pass type I membrane protein.
-
蛋白家族:Semaphorin family
-
數據庫鏈接:
Most popular with customers
-
-
YWHAB Recombinant Monoclonal Antibody
Applications: ELISA, WB, IHC, IF, FC
Species Reactivity: Human, Mouse, Rat
-
-
-
-
-
-















