SERPINB3 Antibody
-
中文名稱:SERPINB3兔多克隆抗體
-
貨號:CSB-PA11275A0Rb
-
規格:¥440
-
圖片:
-
Immunofluorescence staining of A549 cells with CSB-PA11275A0Rb at 1:150, counter-stained with DAPI. The cells were fixed in 4% formaldehyde, permeabilized using 0.2% Triton X-100 and blocked in 10% normal Goat Serum. The cells were then incubated with the antibody overnight at 4°C.The secondary antibody was Alexa Fluor 488-congugated AffiniPure Goat Anti-Rabbit IgG(H+L).
-
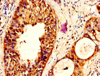
IHC image of CSB-PA11275A0Rb diluted at 1:500 and staining in paraffin-embedded human cervical cancer performed on a Leica BondTM system. After dewaxing and hydration, antigen retrieval was mediated by high pressure in a citrate buffer (pH 6.0). Section was blocked with 10% normal goat serum 30min at RT. Then primary antibody (1% BSA) was incubated at 4°C overnight. The primary is detected by a biotinylated secondary antibody and visualized using an HRP conjugated SP system.
-
-
其他:
產品詳情
-
產品名稱:Rabbit anti-Homo sapiens (Human) SERPINB3 Polyclonal antibody
-
Uniprot No.:
-
基因名:SERPINB3
-
別名:HsT1196 antibody; Protein T4 A antibody; Protein T4-A antibody; SCC antibody; SCCA antibody; SCCA PD antibody; SCCA-1 antibody; SCCA-PD antibody; SCCA1 antibody; SCCAPD antibody; Serine (or cysteine) proteinase inhibitor clade B (ovalbumin) member 3 antibody; Serpin B3 antibody; Serpin peptidase inhibitor clade B (ovalbumin) member 3 antibody; serpin peptidase inhibitor; clade B (ovalbumin); member 3 antibody; SERPINB3 antibody; SPB3_HUMAN antibody; Squamous cell carcinoma antigen 1 antibody; T4 A antibody; T4-A antibody; T4A antibody
-
宿主:Rabbit
-
反應種屬:Human
-
免疫原:Recombinant Human Serpin B3 protein (2-383AA)
-
免疫原種屬:Homo sapiens (Human)
-
標記方式:Non-conjugated
本頁面中的產品,SERPINB3 Antibody (CSB-PA11275A0Rb),的標記方式是Non-conjugated。對于SERPINB3 Antibody,我們還提供其他標記。見下表:
-
克隆類型:Polyclonal
-
抗體亞型:IgG
-
純化方式:>95%, Protein G purified
-
濃度:It differs from different batches. Please contact us to confirm it.
-
保存緩沖液:Preservative: 0.03% Proclin 300
Constituents: 50% Glycerol, 0.01M PBS, PH 7.4 -
產品提供形式:Liquid
-
應用范圍:ELISA, IHC, IF
-
推薦稀釋比:
Application Recommended Dilution IHC 1:500-1:1000 IF 1:50-1:200 -
Protocols:
-
儲存條件:Upon receipt, store at -20°C or -80°C. Avoid repeated freeze.
-
貨期:Basically, we can dispatch the products out in 1-3 working days after receiving your orders. Delivery time maybe differs from different purchasing way or location, please kindly consult your local distributors for specific delivery time.
-
用途:For Research Use Only. Not for use in diagnostic or therapeutic procedures.
相關產品
靶點詳情
-
功能:May act as a papain-like cysteine protease inhibitor to modulate the host immune response against tumor cells. Also functions as an inhibitor of UV-induced apoptosis via suppression of the activity of c-Jun NH(2)-terminal kinase (JNK1).
-
基因功能參考文獻:
- iron overload and was previously found capable of up-regulating SerpinB3 at the transcriptional level. PMID: 28935635
- the SCCA-IgM determination could be helpful in predicting the response to therapy in patients with hepatocellular carcinoma. PMID: 28609160
- Serum SCC-Ag, hs-CRP, and CA-125 were higher in recurrence cervical patients which could be potential biomarkers for predicting cervical cancer recurrence risk. PMID: 28901315
- A close connection between SerpinB3 and DPPPIV has been identified, but further studies are required to better understand the mechanism by which these proteins communicate and exert metabolic effects in hepatocellular carcinoma. PMID: 29524519
- Findings point to potential interest of squamous cell carcinoma antigen SERPINB3/B4 for the stratification of head and neck squamous cell carcinoma (HNSCC) patients in the therapeutic context. PMID: 29491058
- role of SERPINB3/B4 mutations in immunotherapy response PMID: 27668655
- Results showed no correlation between gestational age and vaginal fluid SCC levels. There was no significant difference in vaginal fluid SCC levels between patients with premature rupture of membranes and those with control pregnant women. PMID: 27095020
- Serum SCC-Ag level was an important predictor for the cervical squamous carcinoma recurrence and prognosis. PMID: 27435426
- Data indicate that serum tumor markers showed significant shorter 3-year progression-free survival (PFS) in higher levels compared to lower levels for S-CYFRA 21-1 (cytokeratin 19 fragment), S-SCCA and S-CEA. PMID: 26432331
- serum level is a reliable diagnostic marker to distinguish sinonasal inverted papilloma from inflammatory disease PMID: 26877539
- SerpinB3 indirectly increased the transcription of Myc through the induction of Yap pathway. PMID: 26634820
- Data show that serum neuron-specific enolase, cytokeratin 19 fragment 21-1, pro-gastrin-releasing peptide, squamous cell carcinoma antigen, tissue inhibitor of metalloproteinase-1, and human epididymis protein 4 are not associated with brain metastases. PMID: 26730601
- The diagnostic performance of SCCA-IgM immune complexes for hepatocellular carcinoma was found to be frequently superior to that of alpha-fetoprotein. (Review) PMID: 25840050
- High SCC serum levels are associated with Head and Neck Cancer. PMID: 26408719
- Data indicate that hypoxia-induced cysteine-proteases inhibitor SERPINB3 up-regulation is dependent on hypoxia-inducible factor-2alpha (HIF-2alpha). PMID: 25544768
- serum level significant risk factor for overall survival in cancers of the oral cavity, hypopharynx, and larynx PMID: 25622661
- High levels of neuron-specific enolase (NSE), carbohydrate antigen 125 (CA125) and squamous cell carcinoma antigen (SCC) were detected in 306 (63.6%), 89 (18.5%) and 125 (26.0%) non-small cell lung cancer patients, respectively. PMID: 23712355
- Serum SCCA levels were significantly elevated in hepatocellular carcinoma. PMID: 25129443
- It a promising serological marker for hepatocellular carcinoma. PMID: 24635038
- High serpinB3 protein content was found to be a biomarker of successful healing in diabetic patients. PMID: 24962668
- High serum SCCA levels are associated with squamous cell cervical cancer. PMID: 24905620
- Silencing of SERPINB3/B4 in human keratinocytes decreased S100A8 expression, supporting a role for SERPINB3/B4 in the initiation of the acute inflammatory response. PMID: 25111616
- High SERPINB3 expression is associated with drug resistance in hepatoma. PMID: 24810714
- we identified four proteins with different expression in paclitaxel resistant cells, i.e., serpin B3, serpin B4, heat shock protein 27 (all three upregulated) and cytokeratin 18 (downregulated). PMID: 24898082
- Studies show that urinary SB3 concentrations are higher in women then men and in hypertensive women affected by primary aldosteronism with adenoma,comparatively to those affected by bilateral hyperplasia. PMID: 24503858
- High SERPINB3 expression is associated with non-small-cell lung cancer. PMID: 24389432
- High expression of squamous cell carcinoma antigen is associated with metastasis in cervical cancer. PMID: 24737009
- SERPINB3 is overexpressed in a subset of the most aggressive hepatocellular carcinomas. PMID: 24809782
- Serpin serum level in cervical cancer correlates with phosphoglycerated dehydrogenase expression in tumors PMID: 24247658
- The serpinb3 protein induces a gain of about 15% of survival length in TG mice compared to WT controls and this effect was more remarkable in males than in females. PMID: 24162160
- SERPINB3 may enhance its oncogenic potential through inhibition of several tumor suppressive miRNAs. [Review] PMID: 24496037
- Pre-treatment levels of C-reactive protein and squamous cell carcinoma antigen are useful for predicting the aggressiveness of pharyngolaryngeal carcinoma. PMID: 23383155
- Our study indicates that serum SCC-ag level is a sensitive and reliable measure to evaluate cervical cancer response to chemotherapy. Using SCC-ag in combination with MRI findings further improves the predictive power. PMID: 23349993
- The preoperative serum level of Cyfra21-1 and SCC-Ag are independently significant predictors which negatively affected the survivals of patients with stage II esophageal squamous cell carcinoma. PMID: 22999061
- SERPINB3 may play an important role in ovarian carcinogenesis and be a novel biomarker for predicting platinum resistance and a poor prognosis for survival in patients with epithelial ovarian cancer PMID: 23185467
- investigation of circulating levels of squamous cell carcinoma-antigen, carcinoembryonic antigen, and carbohydrate antigen 19-9 as prognostic markers in women with early stage squamous cell carcinoma of uterine cervix PMID: 22563932
- serpin B3 is associated with the proliferation and growth of cholesteatoma, and these proteins may be influential factors in cholesteatoma growth. PMID: 23239141
- IgM-linked SCCA isoforms circulate in patients with chronic liver disease, compared to total SCCA-IgM levels. PMID: 22808225
- Surface localization of SERPINB3 was confirmed by confocal microscopy. SERPINB3 positivity was associated with CD27 reactivity (r = 0.98), but not to other activation molecules PMID: 22829702
- Toxoplasma gondii induces SERPIN B3/B4 expression via STAT6 activation to inhibit the apoptosis of infected cells for survival of the parasites. PMID: 22451727
- Serpin B3/B4, particularly Serpin B4, appears to play an important role in aberrant epithelial proliferation. PMID: 22406480
- SERPINB3 is over-expressed in hepatoblastoma and its expression is positively correlated with Myc expression and high tumour stage. PMID: 21737255
- The data strongly suggest that FTL and SCCA1 may serve as coreceptors in HBV cellular attachment and virus entry into hepatocytes. PMID: 22359459
- SCC, CEA, Cyfra 21-1 and NSE are valuable in the early diagnosis of lung cancer among suspicious nodules in the lung, especially when they were assayed together for one patient. PMID: 22088515
- This study shows that SCCA is associated with both advanced stage and high grade human breast carcinoma. PMID: 21526154
- In conclusion, the single amino acid substitution G351Ain the SERPINB3 reactive site loop improves the functional activity of the isoform. PMID: 21383048
- serum squamous cell carcinoma antigen is a relatively good method for the detection of disease recurrence in patients with cervical cancer who were treated by concurrent chemoradiotherapy. PMID: 20840788
- SCCA, EGFR and cyclin D1 may prove to be useful tumor markers in oral squamous cell carcinoma. PMID: 20586028
- carbonyl reductase binds to SCCA1 and SCCA2 and they are co-located in the same layer of the squamous epithelium PMID: 20428762
- Chronically damaged hepatocytes produce SERPINB3 and TGF-beta, and the anti-protease activity of the serpin might be implicated in TGF-beta1 induction. PMID: 20212457
顯示更多
收起更多
-
亞細胞定位:Cytoplasm. Note=Seems to also be secreted in plasma by cancerous cells but at a low level.
-
蛋白家族:Serpin family, Ov-serpin subfamily
-
組織特異性:Squamous cells. Expressed in some hepatocellular carcinoma (at protein level).
-
數據庫鏈接:
Most popular with customers
-
-
YWHAB Recombinant Monoclonal Antibody
Applications: ELISA, WB, IHC, IF, FC
Species Reactivity: Human, Mouse, Rat
-
Phospho-YAP1 (S127) Recombinant Monoclonal Antibody
Applications: ELISA, WB, IHC
Species Reactivity: Human
-
-
-
-
-















