SETD3 Antibody
-
中文名稱:SETD3兔多克隆抗體
-
貨號:CSB-PA769772LA01HU
-
規格:¥440
-
圖片:
-
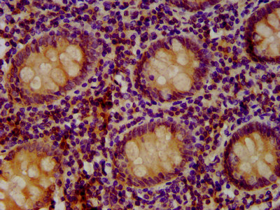
IHC image of CSB-PA769772LA01HU diluted at 1:400 and staining in paraffin-embedded human appendix tissue performed on a Leica BondTM system. After dewaxing and hydration, antigen retrieval was mediated by high pressure in a citrate buffer (pH 6.0). Section was blocked with 10% normal goat serum 30min at RT. Then primary antibody (1% BSA) was incubated at 4°C overnight. The primary is detected by a biotinylated secondary antibody and visualized using an HRP conjugated SP system.
-
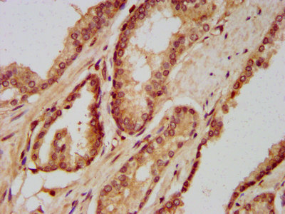
IHC image of CSB-PA769772LA01HU diluted at 1:400 and staining in paraffin-embedded human prostate cancer performed on a Leica BondTM system. After dewaxing and hydration, antigen retrieval was mediated by high pressure in a citrate buffer (pH 6.0). Section was blocked with 10% normal goat serum 30min at RT. Then primary antibody (1% BSA) was incubated at 4°C overnight. The primary is detected by a biotinylated secondary antibody and visualized using an HRP conjugated SP system.
-
-
其他:
產品詳情
-
產品名稱:Rabbit anti-Homo sapiens (Human) SETD3 Polyclonal antibody
-
Uniprot No.:
-
基因名:SETD3
-
別名:C14orf154 antibody; Chromosome 14 open reading frame 154 antibody; DKFZp761E1415 antibody; FLJ23027 antibody; Histone lysine N methyltransferase setd3 antibody; Histone-lysine N-methyltransferase setd3 antibody; MGC87236 antibody; SET domain containing 3 antibody; SET domain containing protein 3 antibody; SET domain-containing protein 3 antibody; SETD 3 antibody; Setd3 antibody; SETD3_HUMAN antibody
-
宿主:Rabbit
-
反應種屬:Human
-
免疫原:Recombinant Human Histone-lysine N-methyltransferase setd3 protein (166-265AA)
-
免疫原種屬:Homo sapiens (Human)
-
標記方式:Non-conjugated
本頁面中的產品,SETD3 Antibody (CSB-PA769772LA01HU),的標記方式是Non-conjugated。對于SETD3 Antibody,我們還提供其他標記。見下表:
-
克隆類型:Polyclonal
-
抗體亞型:IgG
-
純化方式:>95%, Protein G purified
-
濃度:It differs from different batches. Please contact us to confirm it.
-
保存緩沖液:Preservative: 0.03% Proclin 300
Constituents: 50% Glycerol, 0.01M PBS, pH 7.4 -
產品提供形式:Liquid
-
應用范圍:ELISA, IHC
-
推薦稀釋比:
Application Recommended Dilution IHC 1:200-1:500 -
Protocols:
-
儲存條件:Upon receipt, store at -20°C or -80°C. Avoid repeated freeze.
-
貨期:Basically, we can dispatch the products out in 1-3 working days after receiving your orders. Delivery time maybe differs from different purchasing way or location, please kindly consult your local distributors for specific delivery time.
-
用途:For Research Use Only. Not for use in diagnostic or therapeutic procedures.
相關產品
靶點詳情
-
功能:Protein-histidine N-methyltransferase that specifically mediates 3-methylhistidine (tele-methylhistidine) methylation of actin at 'His-73'. Histidine methylation of actin is required for smooth muscle contraction of the laboring uterus during delivery. Does not have protein-lysine N-methyltransferase activity and probably only catalyzes histidine methylation of actin.
-
基因功能參考文獻:
- data reveal a new SETD3-dependent methylation-based signaling pathway at chromatin that regulates VEGF expression under normoxic and hypoxic conditions. PMID: 27845446
- these data elucidated that a GSK3beta-FBXW7beta-dependent mechanism controls SETD3 protein levels during the cell cycle and attenuates its oncogenic role in liver tumorigenesis. PMID: 28442573
- MAF1, RNF7 and SETD3 are identified as PCNA-associated proteins in human cells and given this interaction with PCNA, Maf1, RNF7, and SetD3 are potentially involved in DNA replication, DNA repair, or associated processes. PMID: 26030842
-
亞細胞定位:Cytoplasm. Nucleus.
-
蛋白家族:Class V-like SAM-binding methyltransferase superfamily, Histone-lysine methyltransferase family, SETD3 subfamily
-
數據庫鏈接:
Most popular with customers
-
-
YWHAB Recombinant Monoclonal Antibody
Applications: ELISA, WB, IHC, IF, FC
Species Reactivity: Human, Mouse, Rat
-
Phospho-YAP1 (S127) Recombinant Monoclonal Antibody
Applications: ELISA, WB, IHC
Species Reactivity: Human
-
-
-
-
-
VDAC1 Recombinant Monoclonal Antibody
Applications: ELISA, WB, IHC
Species Reactivity: Human, Mouse, Rat















