SGK2 Antibody
-
中文名稱:SGK2兔多克隆抗體
-
貨號:CSB-PA915546
-
規格:¥1100
-
圖片:
-
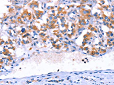
The image on the left is immunohistochemistry of paraffin-embedded Human gastic cancer tissue using CSB-PA915546(SGK2 Antibody) at dilution 1/15, on the right is treated with synthetic peptide. (Original magnification: ×200)
-
The image on the left is immunohistochemistry of paraffin-embedded Human thyroid cancer tissue using CSB-PA915546(SGK2 Antibody) at dilution 1/15, on the right is treated with synthetic peptide. (Original magnification: ×200)
-
Gel: 6%SDS-PAGE, Lysate: 40 μg, Lane: Mouse liver tissue, Primary antibody: CSB-PA915546(SGK2 Antibody) at dilution 1/200, Secondary antibody: Goat anti rabbit IgG at 1/8000 dilution, Exposure time: 20 seconds
-
-
其他:
產品詳情
-
Uniprot No.:
-
基因名:
-
別名:SGK2 antibody; Serine/threonine-protein kinase Sgk2 antibody; EC 2.7.11.1 antibody; Serum/glucocorticoid-regulated kinase 2 antibody
-
宿主:Rabbit
-
反應種屬:Human,Mouse,Rat
-
免疫原:Synthetic peptide of Human SGK2
-
免疫原種屬:Homo sapiens (Human)
-
標記方式:Non-conjugated
-
抗體亞型:IgG
-
純化方式:Antigen affinity purification
-
濃度:It differs from different batches. Please contact us to confirm it.
-
保存緩沖液:-20°C, pH7.4 PBS, 0.05% NaN3, 40% Glycerol
-
產品提供形式:Liquid
-
應用范圍:ELISA,WB,IHC
-
推薦稀釋比:
Application Recommended Dilution ELISA 1:1000-1:2000 WB 1:200-1:1000 IHC 1:25-1:100 -
Protocols:
-
儲存條件:Upon receipt, store at -20°C or -80°C. Avoid repeated freeze.
-
貨期:Basically, we can dispatch the products out in 1-3 working days after receiving your orders. Delivery time maybe differs from different purchasing way or location, please kindly consult your local distributors for specific delivery time.
-
用途:For Research Use Only. Not for use in diagnostic or therapeutic procedures.
相關產品
靶點詳情
-
功能:Serine/threonine-protein kinase which is involved in the regulation of a wide variety of ion channels, membrane transporters, cell growth, survival and proliferation. Up-regulates Na(+) channels: SCNN1A/ENAC, K(+) channels: KCNA3/Kv1.3, KCNE1 and KCNQ1, amino acid transporter: SLC6A19, glutamate transporter: SLC1A6/EAAT4, glutamate receptors: GRIA1/GLUR1 and GRIK2/GLUR6, Na(+)/H(+) exchanger: SLC9A3/NHE3, and the Na(+)/K(+) ATPase.
-
基因功能參考文獻:
- Loss of the paternally derived allele of the imprinted SGK2 gene is associated with Shwachman-Diamond syndrome. PMID: 27553422
- These findings suggest that SGK2 promotes hepatocellular carcinoma progression and mediates glycogen synthase kinase 3 beta/beta-catenin signaling in hepatocellular carcinoma cells. PMID: 28639896
- SGK2 stimulated hOAT4 transport activity by abrogating the inhibitory effect of Nedd4-2 on the transporter. PMID: 26740304
- Activation of hepatocyte pregnane X receptor is mediated through serum- and glucocorticoid-regulated kinase (SGK)2. PMID: 24204015
- Glucocorticoid inducible kinase isoforms SGK1-3 are novel potent stimulators of Slc6a19 and may thus participate in the regulation of neutral amino acid transport in vivo. PMID: 20511718
- Powerful stimulating effect of all three isoforms of SGK on K(+) channels. Those effects may participate in regulation of epithelial transport, cell proliferation, and neuromuscular excitability. PMID: 12397388
- All three members of the SGK family of kinases SGK1-3 and protein kinase B stimulate the slowly activating K(+) channel KCNE1/KCNQ1. The kinases may thus participate in the regulation of KCNE1-dependent transport and excitability. PMID: 12634932
- Co-expression of SGK1, but not of SGK2 or SGK3, increased Kv 4.3/KChIP2b channel currents. PMID: 15578212
顯示更多
收起更多
-
亞細胞定位:Cytoplasm. Nucleus.
-
蛋白家族:Protein kinase superfamily, AGC Ser/Thr protein kinase family
-
組織特異性:Highly expressed in liver, kidney and pancreas, and at lower levels in brain.
-
數據庫鏈接:
Most popular with customers
-
-
YWHAB Recombinant Monoclonal Antibody
Applications: ELISA, WB, IHC, IF, FC
Species Reactivity: Human, Mouse, Rat
-
-
-
-
-
-















