SH3BP5 Antibody
-
中文名稱:SH3BP5兔多克隆抗體
-
貨號:CSB-PA021226LA01HU
-
規格:¥440
-
圖片:
-
Western Blot
Positive WB detected in: Mouse heart tissue, Mouse brain tissue, Mouse kidney tissue
All lanes: SH3BP5 antibody at 3μg/ml
Secondary
Goat polyclonal to rabbit IgG at 1/50000 dilution
Predicted band size: 51, 33 kDa
Observed band size: 51 kDa -
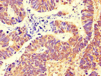
Immunohistochemistry of paraffin-embedded human ovarian cancer using CSB-PA021226LA01HU at dilution of 1:100
-
Immunofluorescent analysis of Hela cells using CSB-PA021226LA01HU at dilution of 1:100 and Alexa Fluor 488-congugated AffiniPure Goat Anti-Rabbit IgG(H+L)
-
Western Blot
Positive WB detected in: Jurkat whole cell lysate, U87 whole cell lysate
All lanes: SH3BP5 antibody at 1:2000
Secondary
Goat polyclonal to rabbit IgG at 1/50000 dilution
Predicted band size: 51, 33 kDa
Observed band size: 51 kDa
-
-
其他:
產品詳情
-
產品名稱:Rabbit anti-Homo sapiens (Human) SH3BP5 Polyclonal antibody
-
Uniprot No.:
-
基因名:SH3BP5
-
別名:3BP5_HUMAN antibody; OTTHUMP00000208289 antibody; OTTHUMP00000208291 antibody; OTTHUMP00000208294 antibody; SAB antibody; SH3 binding protein antibody; SH3 domain binding protein 5 (BTK associated) antibody; SH3 domain binding protein 5 antibody; SH3 domain binding protein that preferentially associates with BTK antibody; SH3 domain-binding protein 5 antibody; SH3 domain-binding protein that preferentially associates with BTK antibody; SH3 domainbinding protein 5 antibody; SH3BP 5 antibody; SH3BP-5 antibody; Sh3bp5 antibody
-
宿主:Rabbit
-
反應種屬:Human, Mouse
-
免疫原:Recombinant Human SH3 domain-binding protein 5 protein (49-455AA)
-
免疫原種屬:Homo sapiens (Human)
-
標記方式:Non-conjugated
本頁面中的產品,SH3BP5 Antibody (CSB-PA021226LA01HU),的標記方式是Non-conjugated。對于SH3BP5 Antibody,我們還提供其他標記。見下表:
-
克隆類型:Polyclonal
-
抗體亞型:IgG
-
純化方式:>95%, Protein G purified
-
濃度:It differs from different batches. Please contact us to confirm it.
-
保存緩沖液:Preservative: 0.03% Proclin 300
Constituents: 50% Glycerol, 0.01M PBS, PH 7.4 -
產品提供形式:Liquid
-
應用范圍:ELISA, WB, IHC, IF
-
推薦稀釋比:
Application Recommended Dilution WB 1:2000-1:5000 IHC 1:20-1:200 IF 1:50-1:200 -
Protocols:
-
儲存條件:Upon receipt, store at -20°C or -80°C. Avoid repeated freeze.
-
貨期:Basically, we can dispatch the products out in 1-3 working days after receiving your orders. Delivery time maybe differs from different purchasing way or location, please kindly consult your local distributors for specific delivery time.
-
用途:For Research Use Only. Not for use in diagnostic or therapeutic procedures.
相關產品
靶點詳情
-
功能:Functions as guanine nucleotide exchange factor (GEF) with specificity for RAB11A and RAB25. Inhibits the auto- and transphosphorylation activity of BTK. Plays a negative regulatory role in BTK-related cytoplasmic signaling in B-cells. May be involved in BCR-induced apoptotic cell death.
-
基因功能參考文獻:
- SH3BP5, LMO3, and SNAP25 were expressed in diffuse large B-cell lymphoma cells and associated with clinical features. PMID: 27184832
- REI/SH3BP5 protein family is conserved in evolution and is a group of new guanine nucleotide exchange factors for Rab11. PMID: 26745340
- The interplay of p-JNK with mitochondrial Sab leads to impaired respiration, ROS production, sustained JNK activation, and apoptosis. PMID: 25666017
- SH3BP5 binds to JNK and directly inhibits JNK through its two putative mitogen-activated protein kinase interaction motifs (KIMs). PMID: 23861391
- mitochondrial protein Sab is phosphorylated by stress-activated protein kinase 3 PMID: 15158451
顯示更多
收起更多
-
亞細胞定位:Cytoplasmic vesicle membrane; Peripheral membrane protein. Mitochondrion.
-
蛋白家族:SH3BP5 family
-
組織特異性:Highly expressed in testis and ovaries. It is also expressed in a variety of tissues including spleen, lymph node, thymus, bone marrow, fetal liver, colon, small intestine and prostate.
-
數據庫鏈接:
Most popular with customers
-
YWHAB Recombinant Monoclonal Antibody
Applications: ELISA, WB, IHC, IF, FC
Species Reactivity: Human, Mouse, Rat
-
Phospho-YAP1 (S127) Recombinant Monoclonal Antibody
Applications: ELISA, WB, IHC
Species Reactivity: Human
-
-
-
-
-
-















