SH3GL1 Antibody
-
中文名稱:SH3GL1兔多克隆抗體
-
貨號:CSB-PA859949ESR2HU
-
規格:¥440
-
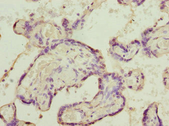
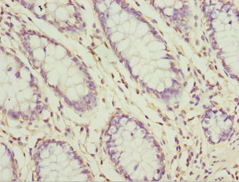
圖片:
-
其他:
產品詳情
-
產品名稱:Rabbit anti-Homo sapiens (Human) SH3GL1 Polyclonal antibody
-
Uniprot No.:
-
基因名:
-
別名:CNSA1 antibody; EEN antibody; EEN fusion partner of MLL antibody; Endophilin-2 antibody; Endophilin-A2 antibody; Extra 11 19 leukemia fusion gene antibody; Extra eleven-nineteen leukemia fusion gene protein antibody; Fusion partner of MLL antibody; MGC111371 antibody; SH3 containing Grb 2 like 1 protein antibody; SH3 containing protein EEN antibody; SH3 domain GRB2 like 1 antibody; SH3 domain protein 2B antibody; SH3 domain-containing GRB2-like protein 1 antibody; SH3D2B antibody; SH3G1_HUMAN antibody; Sh3gl1 antibody; SH3P8 antibody
-
宿主:Rabbit
-
反應種屬:Human
-
免疫原:Recombinant Human Endophilin-A2 protein (219-368AA)
-
免疫原種屬:Homo sapiens (Human)
-
標記方式:Non-conjugated
-
克隆類型:Polyclonal
-
抗體亞型:IgG
-
純化方式:Antigen Affinity Purified
-
濃度:It differs from different batches. Please contact us to confirm it.
-
保存緩沖液:PBS with 0.02% sodium azide, 50% glycerol, pH7.3.
-
產品提供形式:Liquid
-
應用范圍:ELISA, IHC
-
推薦稀釋比:
Application Recommended Dilution IHC 1:20-1:200 -
Protocols:
-
儲存條件:Upon receipt, store at -20°C or -80°C. Avoid repeated freeze.
-
貨期:Basically, we can dispatch the products out in 1-3 working days after receiving your orders. Delivery time maybe differs from different purchasing way or location, please kindly consult your local distributors for specific delivery time.
-
用途:For Research Use Only. Not for use in diagnostic or therapeutic procedures.
相關產品
靶點詳情
-
功能:Implicated in endocytosis. May recruit other proteins to membranes with high curvature.
-
基因功能參考文獻:
- Study observed elevated EA2 gene expression in the subcutaneous compared to that in the visceral human adipose tissue. EA2 gene expression negatively correlated with adiponectin and chemerin in visceral adipose tissue, and positively correlated with TNF-alpha in subcutaneous adipose tissue. EA2 gene expression was significantly downregulated during differentiation of preadipocytes in vitro. PMID: 29113429
- Our study provides novel evidence of Endo II function in HER2+ cancer cell motility and trafficking of HER2 that relates to effective treatments with trastuzumab or T-DM1. Thus, differential expression of Endo II may relate to sensitivity or resistance to trastuzumab-based therapies for HER2+ cancers PMID: 28974266
- Expression level of SH3GL1 was widely upregulated in human OS tissues, and their overexpression was significantly correlated with more aggressive clinicopathological features. PMID: 28702842
- Endophilin-A2 was identified as a novel molecule regulating macrophage-derived foam cell formation by mechanisms attributable to clathrin-mediated endocytosis and beyond clathrin-mediated endocytosis PMID: 27741419
- inhibition of SH3GL1 reverses multidrug resistance through declining P-glycoprotein expression via the EGFR/ERK/AP-1 pathway. PMID: 27220321
- Endo II expression was highest in triple-negative breast cancers tumors compared with other subtypes, and at the level of gene expression, high Endo II was associated with reduced relapse-free survival in patients with basal-like breast cancers. PMID: 25784716
- results establish a novel function of endoA2 in clathrin-independent endocytosis PMID: 25517096
- these data suggest that EEN may play a pivotal role in excessive cell proliferation and insufficient cell apoptosis of bone marrow plasma cells in multiple myeloma. PMID: 24704450
- MIR218 functions as a tumor suppressor by regulating SH3GL1 expression in medulloblastoma cancer cells. PMID: 23970061
- SH3GL1 may be involved in the oncogenic process of gliomas and effectively elicit an autologous antibody response in low-grade gliomas. PMID: 23050879
- Two endophilin A2 mutants, E264A and E264R, have different effects on how endophilin interacts with other proteins, such as dynamin or beta1-adrenergic receptors. PMID: 22750032
- Idiopathic scoliosis is a multifactorial genetic disease and SH3GL1 may be one of the pathogenic genes for this disease. PMID: 22183150
- SH3GL1 is possibly one of the disease associated genes of adolescent idiopathic scoliosis. PMID: 20627007
- new mechanism for MLL-EEN-mediated leukemogenesis in which MLL-EEN interferes with the Ras-suppressing activities of EBP through direct interaction. PMID: 14551139
- EEN part plays an essential role in leukemogenesis caused by MLL-EEN. PMID: 15077184
- Our results suggest that distinct subcellular localization of the endophilin A family members probably underpins their diverse cellular functions and indicates a role for EEN/EA2 in the cell cycle. PMID: 15214844
- findings reveal a concomitant activation of endocytosis and ERK signaling by BPGAP1 via the coupling of its proline-rich region, which targets EEN and its functional GAP domain PMID: 15944398
顯示更多
收起更多
-
相關疾病:In some cases of acute leukemia, a translocation results in the formation of a KMT2A/MLL1-EEN fusion gene.
-
亞細胞定位:Cytoplasm. Early endosome membrane; Peripheral membrane protein. Cell projection, podosome.
-
蛋白家族:Endophilin family
-
組織特異性:Ubiquitous. Higher expression in pancreas, placenta, prostate, testis and uterus.
-
數據庫鏈接:
Most popular with customers
-
-
YWHAB Recombinant Monoclonal Antibody
Applications: ELISA, WB, IHC, IF, FC
Species Reactivity: Human, Mouse, Rat
-
Phospho-YAP1 (S127) Recombinant Monoclonal Antibody
Applications: ELISA, WB, IHC
Species Reactivity: Human
-
-
-
-
-















