-
中文名稱:SHISA5兔多克隆抗體
-
貨號:CSB-PA818677LA01HU
-
規格:¥440
-
圖片:
-
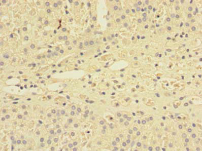
Immunohistochemistry of paraffin-embedded human adrenal gland tissue using CSB-PA818677LA01HU at dilution of 1:100
-
Immunofluorescence staining of A549 cells with CSB-PA818677LA01HU at 1:200, counter-stained with DAPI. The cells were fixed in 4% formaldehyde, permeabilized using 0.2% Triton X-100 and blocked in 10% normal Goat Serum. The cells were then incubated with the antibody overnight at 4°C. The secondary antibody was Alexa Fluor 488-congugated AffiniPure Goat Anti-Rabbit IgG(H+L).
-
Immunoprecipitating SHISA5 in HepG2 whole cell lysate
Lane 1: Rabbit control IgG (1µg) instead of CSB-PA818677LA01HU in HepG2 whole cell lysate. For western blotting, a HRP-conjugated Protein G antibody was used as the secondary antibody (1/2000)
Lane 2: CSB-PA818677LA01HU (6µg) + HepG2 whole cell lysate (500µg)
Lane 3: HepG2 whole cell lysate (10µg)
-
-
其他:
產品詳情
-
產品名稱:Rabbit anti-Homo sapiens (Human) SHISA5 Polyclonal antibody
-
Uniprot No.:
-
基因名:
-
別名:SHISA5 antibody; SCOTIN antibody; PSEC0133 antibody; Protein shisa-5 antibody; Putative NF-kappa-B-activating protein 120 antibody; Scotin antibody
-
宿主:Rabbit
-
反應種屬:Human
-
免疫原:Recombinant Human Protein shisa-5 protein (56-137AA)
-
免疫原種屬:Homo sapiens (Human)
-
標記方式:Non-conjugated
本頁面中的產品,SHISA5 Antibody (CSB-PA818677LA01HU),的標記方式是Non-conjugated。對于SHISA5 Antibody,我們還提供其他標記。見下表:
-
克隆類型:Polyclonal
-
抗體亞型:IgG
-
純化方式:>95%, Protein G purified
-
濃度:It differs from different batches. Please contact us to confirm it.
-
保存緩沖液:Preservative: 0.03% Proclin 300
Constituents: 50% Glycerol, 0.01M PBS, PH 7.4 -
產品提供形式:Liquid
-
應用范圍:ELISA, IHC, IF, IP
-
推薦稀釋比:
Application Recommended Dilution IHC 1:20-1:200 IF 1:50-1:500 IP 1:200-1:2000 -
Protocols:
-
儲存條件:Upon receipt, store at -20°C or -80°C. Avoid repeated freeze.
-
貨期:Basically, we can dispatch the products out in 1-3 working days after receiving your orders. Delivery time maybe differs from different purchasing way or location, please kindly consult your local distributors for specific delivery time.
-
用途:For Research Use Only. Not for use in diagnostic or therapeutic procedures.
引用文獻
- Membrane-tethered SCOTIN condensates elicit an endoplasmic reticulum stress response by sequestering luminal BiP A Jo, M Jung, JY Mun, YJ Kim, JY Yoo,Cell Reports,2025
- Intrinsically disordered region-mediated condensation of IFN-inducible SCOTIN/SHISA-5 inhibits ER-to-Golgi vesicle transport N Kim,Developmental cell,2023
相關產品
靶點詳情
-
功能:Can induce apoptosis in a caspase-dependent manner and plays a role in p53/TP53-dependent apoptosis.
-
基因功能參考文獻:
- IFN-beta-induced SCOTIN recruits the HCV NS5A protein to autophagosomes for degradation, thereby restricting HCV replication. PMID: 26868272
- Scotin plays a role in p53-dependent apoptosis PMID: 12135983
-
亞細胞定位:Endoplasmic reticulum membrane; Single-pass type I membrane protein. Nucleus membrane.
-
蛋白家族:Shisa family
-
數據庫鏈接:
Most popular with customers
-
-
YWHAB Recombinant Monoclonal Antibody
Applications: ELISA, WB, IHC, IF, FC
Species Reactivity: Human, Mouse, Rat
-
Phospho-YAP1 (S127) Recombinant Monoclonal Antibody
Applications: ELISA, WB, IHC
Species Reactivity: Human
-
-
-
-
-















