SHOC2 Antibody
-
中文名稱:SHOC2兔多克隆抗體
-
貨號:CSB-PA891468LA01HU
-
規格:¥440
-
圖片:
-
Western Blot
Positive WB detected in: MCF-7 whole cell lysate, Jurkat whole cell lysate, HepG2 whole cell lysate
All lanes: SHOC2 antibody at 3μg/ml
Secondary
Goat polyclonal to rabbit IgG at 1/50000 dilution
Predicted band size: 65, 60 kDa
Observed band size: 65 kDa -
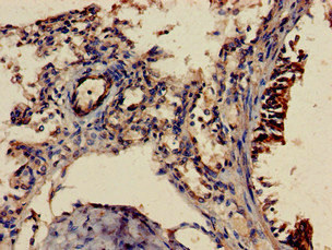
Immunohistochemistry of paraffin-embedded human lung tissue using CSB-PA891468LA01HU at dilution of 1:100
-
Immunohistochemistry of paraffin-embedded human brain tissue using CSB-PA891468LA01HU at dilution of 1:100
-
Immunofluorescent analysis of Hela cells using CSB-PA891468LA01HU at dilution of 1:100 and Alexa Fluor 488-congugated AffiniPure Goat Anti-Rabbit IgG(H+L)
-
Western Blot
Positive WB detected in: U251 whole cell lysate, MCF-7 whole cell lysate, Jurkat whole cell lysate, HepG2 whole cell lysate, U87 whole cell lysate
All lanes: SHOC2 antibody at 1:2000
Secondary
Goat polyclonal to rabbit IgG at 1/50000 dilution
Predicted band size: 65, 60 kDa
Observed band size: 65 kDa
-
-
其他:
產品詳情
-
產品名稱:Rabbit anti-Homo sapiens (Human) SHOC2 Polyclonal antibody
-
Uniprot No.:
-
基因名:
-
別名:KIAA0862 antibody; Leucine-rich repeat protein SHOC-2 antibody; Protein soc-2 homolog antibody; Protein Sur-8 homolog antibody; Ras-binding protein Sur-8 antibody; SHOC2 antibody; SHOC2_HUMAN antibody
-
宿主:Rabbit
-
反應種屬:Human
-
免疫原:Recombinant Human Leucine-rich repeat protein SHOC-2 protein (3-89AA)
-
免疫原種屬:Homo sapiens (Human)
-
標記方式:Non-conjugated
本頁面中的產品,SHOC2 Antibody (CSB-PA891468LA01HU),的標記方式是Non-conjugated。對于SHOC2 Antibody,我們還提供其他標記。見下表:
-
克隆類型:Polyclonal
-
抗體亞型:IgG
-
純化方式:>95%, Protein G purified
-
濃度:It differs from different batches. Please contact us to confirm it.
-
保存緩沖液:Preservative: 0.03% Proclin 300
Constituents: 50% Glycerol, 0.01M PBS, pH 7.4 -
產品提供形式:Liquid
-
應用范圍:ELISA, WB, IHC, IF
-
推薦稀釋比:
Application Recommended Dilution WB 1:500-1:5000 IHC 1:20-1:200 IF 1:50-1:200 -
Protocols:
-
儲存條件:Upon receipt, store at -20°C or -80°C. Avoid repeated freeze.
-
貨期:Basically, we can dispatch the products out in 1-3 working days after receiving your orders. Delivery time maybe differs from different purchasing way or location, please kindly consult your local distributors for specific delivery time.
-
用途:For Research Use Only. Not for use in diagnostic or therapeutic procedures.
相關產品
靶點詳情
-
功能:Regulatory subunit of protein phosphatase 1 (PP1c) that acts as a M-Ras/MRAS effector and participates in MAPK pathway activation. Upon M-Ras/MRAS activation, targets PP1c to specifically dephosphorylate the 'Ser-259' inhibitory site of RAF1 kinase and stimulate RAF1 activity at specialized signaling complexes.
-
基因功能參考文獻:
- Overexpression or knockdown of Sur8 increases or decreases, respectively, the proliferation or transformation of colorectal cancer (CRC) cell lines. Sur8 knockdown attenuates the migration and invasion of HCT116 CRC cells. PMID: 27469030
- Results provide evidence that SHOC2 trapping at different subcellular sites has a diverse impact on ERK signaling strength and dynamics, suggesting a dual counteracting modulatory role of SHOC2 in the control of ERK signaling exerted at different intracellular compartments. PMID: 27466182
- results demonstrate that PSMC5 is a new and important player involved in regulating ERK1/2 signal transmission through the remodeling of Shoc2 scaffold complex in a spatially-defined manner. PMID: 26519477
- Noonan-like syndrome has been related to the invariant c.4A > G missense change in SHOC2. PMID: 22995099
- Two unrelated Taiwanese patients have been described with Noonan-like syndrome with loose anagen hair who also have moyamoya disease and in whom heterozygous germline mutation in SHOC2 was found. PMID: 25858597
- ectopic overexpression of human Shoc2 in PC12 cells significantly promotes neurite extension in the presence of Epidermal Growth Factor, a stimulus that induces proliferation rather than differentiation in these cells. PMID: 25514808
- Extreme phenotypic variability associated with the invariant SHOC2 c.4A>G (p.Ser2Gly) missense mutation in Noonan-like syndrome with loose anagen hair. PMID: 25331583
- A newborn heterozygous for the invariant c.4A>G missense change in SHOC2. PMID: 24458587
- Data show that both Shoc2 and HUWE1 are necessary to control the levels and ubiquitination of the Shoc2 signaling partner, RAF-1. PMID: 25022756
- Both MRAS and SHOC2 play a key role in polarized migration. PMID: 24211266
- SHOC2 and CRAF mediate ERK1/2 reactivation in mutant NRAS-mediated resistance to RAF inhibitor. PMID: 23076151
- targeting of Shoc2 to late endosomes may facilitate EGFR-induced ERK activation under physiological conditions of cell stimulation by EGF, and therefore, may be involved in the spatiotemporal regulation of signaling through the RAS-RAF module PMID: 22606262
- The p.Ser2Gly mutation demonstrated introduction of an N-myristoylation site, resulting in aberrant membrane targeting of SHOC2 and impaired translocation to the nucleus upon growth factor stimulation. PMID: 21548061
- 92 patients with Noonan syndrome and related disorders to characterize mutations in the SHOC2 gene were analysed. PMID: 20882035
- Results indicate that the Shoc2 scaffold protein modulates Ras-dependent Raf1 activation in a Ca(2+)- and calmodulin-dependent manner. PMID: 20071468
- Data suggest that Shoc2 regulates the spatio-temporal patterns of the Ras-ERK signaling pathway primarily by accelerating the Ras-Raf interaction. PMID: 20051520
- no evidence of leukemogenic SHOC2 involvement in juvenile myelomonocytic leukemia PMID: 20110435
- Erbin has a regulatory role in the Ras-Raf-MEK pathway and may inhibit ERK activation by disrupting the Sur-8-Ras/Raf interaction PMID: 16301319
- Mutation of SHOC2 promotes aberrant protein N-myristoylation and causes Noonan-like syndrome with loose anagen hair. PMID: 19684605
顯示更多
收起更多
-
相關疾病:Noonan syndrome-like disorder with loose anagen hair 1 (NSLH1)
-
亞細胞定位:Cytoplasm. Nucleus.
-
蛋白家族:SHOC2 family
-
數據庫鏈接:
Most popular with customers
-
-
YWHAB Recombinant Monoclonal Antibody
Applications: ELISA, WB, IHC, IF, FC
Species Reactivity: Human, Mouse, Rat
-
Phospho-YAP1 (S127) Recombinant Monoclonal Antibody
Applications: ELISA, WB, IHC
Species Reactivity: Human
-
-
-
-
-















