SHOX2 Antibody
-
中文名稱:SHOX2兔多克隆抗體
-
貨號:CSB-PA021277ESR2HU
-
規格:¥440
-
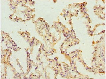
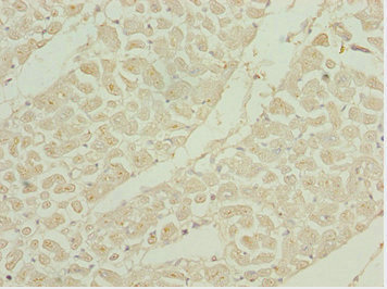
圖片:
-
其他:
產品詳情
-
產品名稱:Rabbit anti-Homo sapiens (Human) SHOX2 Polyclonal antibody
-
Uniprot No.:
-
基因名:SHOX2
-
別名:Homeobox protein Og12X antibody; OG 12 antibody; OG 12X antibody; OG12 antibody; OG12X antibody; OGI 2X antibody; OGI2X antibody; Paired related homeobox protein SHOT antibody; Paired-related homeobox protein SHOT antibody; Short stature homeobox 2 antibody; Short stature homeobox homolog antibody; Short stature homeobox protein 2 antibody; SHOT antibody; SHOX 2 antibody; SHOX homologous gene on chromosome 3 antibody; SHOX2 antibody; SHOX2_HUMAN antibody
-
宿主:Rabbit
-
反應種屬:Human
-
免疫原:Recombinant Human Short stature homeobox protein 2 protein (72-331AA)
-
免疫原種屬:Homo sapiens (Human)
-
標記方式:Non-conjugated
-
克隆類型:Polyclonal
-
抗體亞型:IgG
-
純化方式:Antigen Affinity Purified
-
濃度:It differs from different batches. Please contact us to confirm it.
-
保存緩沖液:PBS with 0.02% sodium azide, 50% glycerol, pH7.3.
-
產品提供形式:Liquid
-
應用范圍:ELISA, IHC
-
推薦稀釋比:
Application Recommended Dilution IHC 1:20-1:200 -
Protocols:
-
儲存條件:Upon receipt, store at -20°C or -80°C. Avoid repeated freeze.
-
貨期:Basically, we can dispatch the products out in 1-3 working days after receiving your orders. Delivery time maybe differs from different purchasing way or location, please kindly consult your local distributors for specific delivery time.
-
用途:For Research Use Only. Not for use in diagnostic or therapeutic procedures.
相關產品
靶點詳情
-
功能:May be a growth regulator and have a role in specifying neural systems involved in processing somatosensory information, as well as in face and body structure formation.
-
基因功能參考文獻:
- the methylation positive rates of SHOX2 with RASSF1A in stage III were both higher than the other stages of lung cancer PMID: 28325362
- High SHOX2 methylation is associated with Lung cancer. PMID: 27544059
- important role in the process of intervertebral disc degeneration PMID: 26697824
- Data suggest that the microRNA miR-375/short stature homeobox 2 protein (SHOX2) axis may be a novel therapeutic target for esophageal squamous cell carcinoma (ESCC). PMID: 28069583
- Study showed that SHOX2 methylation levels in adenomas and colorectal carcinomas (CRC) were significantly higher compared to those in normal control tissues. Histologic transition from adenomas to CRC was paralleled by amplification of the SEPT9 gene locus. PMID: 27660666
- Study found SHOX2 and SEPT9 frequently methylated in biliary tract cancers. PMID: 27999621
- We have identified that SHOX2 expression or methylation are potent independent prognostic indicators for predicting LGG patient survival, and have potential to identify an important subset of LGG patients with IDHwt status with significantly better overall survival. PMID: 27840009
- Whole-genome microarray mRNA-expression profiles of myofibroblasts and skin fibroblasts revealed four additional genes that are significantly differentially expressed in these two cell types: NKX2-3 and LRRC17 in myofibroblasts and SHOX2 and TBX5 in skin fibroblasts PMID: 27036009
- these results suggest a genetic contribution of SHOX2 in early-onset atrial fibrillation PMID: 27138930
- The longitudinal measurement of extracellular plasma mSHOX2 DNA yields information about the response to cytotoxic treatment and allows an early assessment of treatment response for lung cancer patients. PMID: 25675432
- SHOX2 overexpression favors differentiation of embryonic stem cells into cardiac pacemaker cells, improving biological pacing ability. PMID: 25533636
- SHOX2 DNA methylation identified 66% of the patients with cancer subsequent to a cytological equivocal diagnosis. SHOX2 complements the cytological diagnosis and the methylation marker panel. PMID: 25331797
- miR-375/SHOX2 functional relationship regulates breast tumorigenesis by controlling the process of EMT. PMID: 24746361
- SHOX2, like SHOX, regulates NPPB directly whilst activates ACAN via its cooperation with the SOX trio. PMID: 24421874
- prognostic value of SHOX2 and SEPT9 DNA methylation in benign, paramalignant and malignant pleural effusions PMID: 24386354
- Elevated SHOX2 expression is associated with tumor recurrence of hepatocellular carcinoma. PMID: 23851611
- The combination of EBUS-TBNA and SHOX2 methylation level strongly improves the assessment of the nodal status by identifying additional malignant lesions and confirming benign nodes and therefore avoiding invasive follow-up procedures. PMID: 24026539
- The assay is based on quantification of methylated Short Stature Homeobox gene two (SHOX2) DNA in the specimen measured via multiplex real-time Polymerase Chain Reaction (PCR) on bisulfite-converted DNA. PMID: 24136974
- Shox2 regulates progression through chondrogenesis at two distinct stages--the onset of early differentiation and the transition to maturation and hypertrophy. PMID: 23038774
- DNA methylation of PITX2 and SHOX2 is an independent prognostic biomarker for disease progression in non-small-cell lung cancer patients. PMID: 22555092
- A CE marked in vitro diagnostic test kit to quantify SHOX2 DNA methylation in bronchial aspirates was developed and characterized. PMID: 22108652
- SHOX2 DNA methylation is associated with lung cancer. PMID: 21694641
- Frequent gene amplification correlated with hypermethylation of the SHOX2 gene locus. PMID: 21426551
- work establishes a link between Tbx5, Shox2 and Bmp4 in the pacemaker region of the developing heart PMID: 20858598
- SHOX2 DNA methylation is found in bronchial aspirates of lung cancer patients PMID: 21047392
顯示更多
收起更多
-
亞細胞定位:Nucleus.
-
蛋白家族:Paired homeobox family, Bicoid subfamily
-
組織特異性:Expressed in heart, skeletal muscle, liver, lung, bone marrow fibroblast, pancreas and placenta.
-
數據庫鏈接:
Most popular with customers
-
-
Phospho-YAP1 (S127) Recombinant Monoclonal Antibody
Applications: ELISA, WB, IHC
Species Reactivity: Human
-
-
-
-
-
-















