SIRT3 Antibody
-
中文名稱:SIRT3兔多克隆抗體
-
貨號:CSB-PA882102ESR1HU
-
規格:¥440
-
圖片:
-
Western blot
All lanes: NAD-dependent protein deacetylase sirtuin-3, mitochondrial antibody at 2μg/ml
Lane 1: NIH/3T3 whole cell lysate
Lane 2: HepG2 whole cell lysate
Secondary
Goat polyclonal to rabbit IgG at 1/10000 dilution
Predicted band size: 44, 29 kDa
Observed band size: 44 kDa -
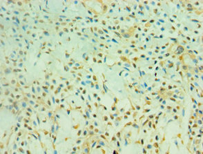
Immunohistochemistry of paraffin-embedded human breast cancer using CSB-PA882102ESR1HU at dilution of 1:100
-
Immunohistochemistry of paraffin-embedded human kidney tissue using CSB-PA882102ESR1HU at dilution of 1:100
-
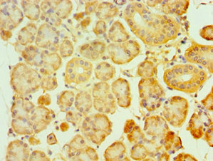
Immunohistochemistry of paraffin-embedded human pancreatic tissue using CSB-PA882102ESR1HU at dilution of 1:100
-
-
其他:
產品詳情
-
產品名稱:Rabbit anti-Homo sapiens (Human) SIRT3 Polyclonal antibody
-
Uniprot No.:
-
基因名:
-
別名:hSIRT 3 antibody; hSIRT3 antibody; Mitochondrial nicotinamide adenine dinucleotide dependent deacetylase antibody; NAD dependent deacetylase sirtuin 3 mitochondrial antibody; NAD-dependent protein deacetylase sirtuin-3, mitochondrial antibody; Regulatory protein SIR2 homolog 3 antibody; Silent mating type information regulation 2 S.cerevisiae homolog 3 antibody; Sir 2 like 3 antibody; SIR 2 like protein 3 antibody; SIR 3 antibody; SIR2 L3 antibody; Sir2 like 3 antibody; SIR2 like protein 3 antibody; SIR2-like protein 3 antibody; SIR2L3 antibody; SIR3_HUMAN antibody; SIRT 3 antibody; SIRT3 antibody; Sirtuin 3 antibody; Sirtuin silent mating type information regulation 2 homolog 3 (S. cerevisiae) antibody; Sirtuin type 3 antibody; Sirtuin3 antibody
-
宿主:Rabbit
-
反應種屬:Human
-
免疫原:Recombinant Human NAD-dependent protein deacetylase sirtuin-3, mitochondrial protein (20-130AA)
-
免疫原種屬:Homo sapiens (Human)
-
標記方式:Non-conjugated
-
克隆類型:Polyclonal
-
抗體亞型:IgG
-
純化方式:Antigen Affinity Purified
-
濃度:It differs from different batches. Please contact us to confirm it.
-
保存緩沖液:PBS with 0.02% sodium azide, 50% glycerol, pH7.3.
-
產品提供形式:Liquid
-
應用范圍:ELISA, WB, IHC
-
推薦稀釋比:
Application Recommended Dilution WB 1:500-1:2000 IHC 1:20-1:200 -
Protocols:
-
儲存條件:Upon receipt, store at -20°C or -80°C. Avoid repeated freeze.
-
貨期:Basically, we can dispatch the products out in 1-3 working days after receiving your orders. Delivery time maybe differs from different purchasing way or location, please kindly consult your local distributors for specific delivery time.
-
用途:For Research Use Only. Not for use in diagnostic or therapeutic procedures.
相關產品
靶點詳情
-
功能:NAD-dependent protein deacetylase. Activates or deactivates mitochondrial target proteins by deacetylating key lysine residues. Known targets include ACSS1, IDH, GDH, SOD2, PDHA1, LCAD, SDHA and the ATP synthase subunit ATP5PO. Contributes to the regulation of the cellular energy metabolism. Important for regulating tissue-specific ATP levels. In response to metabolic stress, deacetylates transcription factor FOXO3 and recruits FOXO3 and mitochondrial RNA polymerase POLRMT to mtDNA to promote mtDNA transcription. Acts as a regulator of ceramide metabolism by mediating deacetylation of ceramide synthases CERS1, CERS2 and CERS6, thereby increasing their activity and promoting mitochondrial ceramide accumulation.
-
基因功能參考文獻:
- genetic manipulation of Sirt3 revealed that amyloid-beta increased levels of total tau acetylated tau through its modulation of Sirt3. PMID: 29574628
- The SIRT3 protein level negatively correlated with advanced glycation end products accumulation and the grade of intervertebral disc degeneration degeneration. PMID: 30216853
- Melatonin's functions in the mitochondria are highly diverse, not unlike those of sirtuin 3 (SIRT3). SIRT3 is an NAD+-dependent deacetylase which regulates, among many functions, the redox state of the mitochondria. Recent data proves that melatonin and SIRT3 post-translationally collaborate in regulating free radical generation and removal from mitochondria. [review] PMID: 30126181
- Master athletes had lower levels of miR-7, while mRNA or protein levels of SIRT3, SIRT1, SOD2, and FOXO1 levels were significantly higher in the vastus lateralis muscle of master athletes compared to muscles of age-matched controls. PMID: 30107294
- BER modulated autophagy in DOX-treated H9c2 cardiomyoblasts. Interestingly, mitochondrial biogenesis markers were upregulated in in BER/DOX-treated cells. Sirt3 over-expression contributes to decrease DOX cytotoxicity on H9c2 cardiomyoblasts, while BER can be used as a modulator of Sirtuin function and cell quality control pathways to decrease DOX toxicity. PMID: 28760703
- The loss of Sirt3 triggered fatal mitochondrial fission by suppressing the Akt/PTEN pathway. PMID: 30021354
- Insulin signaling pathway protects neuronal cell lines by Sirt3 mediated IRS2 activation. PMID: 29411439
- De novo expression of transfected Sirt3 enhances susceptibility of human epithelial breast cancer cells to hyperoxia treatment. PMID: 29683756
- mitochondria are present at the leading edge of migrating cells, SIRT3 expression is down-regulated during migration, resulting in elevated ROS levels. This SIRT3-mediated control of ROS represses Src oxidation and attenuates focal adhesion kinase (FAK) activation. PMID: 29915029
- Median sirtuin-3 levels were significantly higher in patients with esophageal squamous cell carcinoma than in the control subjects PMID: 29243781
- that down-regulated SIRT3 may contribute to tumor progression and gloomy prognosis in pancreatic carcinoma patients PMID: 28867266
- SIRT3 expression is associated with the development and progression of NSCLC. PMID: 28947845
- Results suggested that SIRT3 protected hepatocytes against oxidative stress by enhancing ROS scavenging and maintaining mitochondrial integrity. PMID: 29072685
- MnSOD is the major superoxide scavenger in mitochondria, whose activity is regulated by SIRT3-mediated deacetylation, particularly at the Lys68 site, and can be enhanced by a SIRT3 coumarin derivative. PMID: 28711502
- Report an inverse relationship of age with human serum FOXO3A and SIRT3 levels. PMID: 28526626
- Increase in muscle mitochondrial SIRT3 was observed only following aerobic training. In contrast, resistance training increased muscle mass without improving SIRT3 in obese male adolescents. PMID: 29220206
- SIRT3-deficient macrophages displayed impaired autophagy and accelerated NLRP3 inflammasome activation and endothelial dysfunction. PMID: 29277324
- This study investigated the role of SIRT3 in MSC differentiation and aging. As MSCs were expanded ex vivo, SIRT3 levels decreased. In addition, SIRT3 depletion reduced MSC differentiation into adipocytes and osteoblasts. Overexpression of SIRT3 in later-passage MSCs reduced aging-related senescence, reduced oxidative stress, and enhanced their ability to differentiate. PMID: 28717408
- UCP2 regulates the activity of SIRT3 through sensing the energy level and, in turn, maintaining the mitochondrial steady state, which demonstrates a cytoprotective effect on ischemia-reperfusion injury. PMID: 28737710
- Authors have identified a novel mechanism by which P53 was inactivated via SIRT3 in PTEN-deficient cells. This may shed light on the mechanisms underlying the malignancy of PTEN-deficient NSCLC. PMID: 29103158
- SIRT3 could enhance the drug sensitivity of hepatoma cells to an array of chemotherapeutic agents through glutathione S-transferase pi 1/JNK signaling pathway PMID: 27367026
- Data suggest that pharmacological approaches for augmenting sirtuin 3 (SIRT3) might have therapeutic potential in organ fibrosis in systemic sclerosis (SSc). PMID: 27732568
- Since mitochondrial ATP regeneration is inevitably linked to the maintenance of cardiac pump function, it is not surprising that recent studies revealed a role for mitochondrial sirtuins in the regulation of myocardial energetics and function. In addition, mitochondrial sirtuins modulate the extent of myocardial ischemia reperfusion injury and the development of cardiac hypertrophy and failure. [review] PMID: 27295248
- Sirtuin 3 protects against urban particulate matter-induced autophagy in human bronchial epithelial cells. PMID: 27125970
- Contrary to what has been known in solid tumors, in K562 human leukemia cells, Sirt3 plays an opposite role in relieving oxidative stress. Basal but not enhanced autophagy activity maintains ubiquitination-proteasomal degradation of Sirt3 to limit reactive oxygen species level. PMID: 27232755
- SIRT3 whole muscle protein content was unaltered after fasting. PMID: 27337034
- Current study reveal Sirt3 as a novel regulator coupling mitophagy and apoptosis, two important cellular processes that determine cellular survival and death. PMID: 27270321
- Results show that curcumin at low doses can increase the level of sirtuins including sirtuin 1 and sirtuin 3) without delaying senescence of vascular smooth muscle (VSMC) cells. PMID: 27034011
- survival curves showed that higher SIRT3 expression is correlated to a poorer prognosis for patients with grade 3 breast cancer. In conclusion, SIRT3 could be a therapeutic target for breast cancer, improving the effectiveness of CDDP and TAM treatments. PMID: 27420645
- In human myometrium, SIRT3 expression decreases with term labor and regulates the mediators involved in the terminal effector pathways of human labor and delivery through the NFkappaB1 pathway. PMID: 27628218
- Mitochondria-targeted esculetin has anti-atherosclerotic effects by inhibiting PAI-1 levels by modulating miR-19b and -30c expression and affecting SIRT3- and STAT3-mediated signaling pathways. PMID: 28213977
- the activation of the SIRT3 axis of the UPRmt is linked to metastasis. PMID: 28368421
- these results suggest a potential relationship between SIRT3 enzymatic activity, IDH2-K413 acetylation-determined dimerization, and a cancer-permissive phenotype PMID: 28536275
- These data suggest a novel role for SIRT3 deficiency in mediating alveolar epithelial cell mtDNA damage, apoptosis, and lung fibrosis.- PMID: 28258190
- Data suggested a protective role of the SIRT3 single-nucleotide polymorphism rs4980329 in ALS risk. PMID: 28239025
- Low SIRT3 expression is associated with metastasis and epithelial-mesenchymal transition in hepatocellular carcinoma. PMID: 28429188
- Low SIRT3 expression is associated with Prostate Cancer. PMID: 28108513
- SIRT3 expression was significantly associated with overall survival in gastric cancer (HR = 0.62, 95% CI = 0.43-0.89, P = 0.009) and hepatocellular carcinoma patients (HR = 0.56, 95% CI = 0.42-0.74, P<0.0001), cancer/non-cancer tissues in hepatocellular carcinoma patients (OR = 0.04, 95% CI = 0.01-0.16, P<0.0001), lymph node metastasis in breast cancer patients (OR = 2.20, 95% CI = 1.49-3.26, P<0.0001). PMID: 27483432
- he data demonstrated that linalool exhibited inhibitory effect on glioma cells through regulation of SIRT3-SOD2-ROS signaling PMID: 28567457
- SIRT3 promotes the malignancy of non-small cell lung cancer, showing an oncogenic preference towards squamous cell carcinoma, and that could represent a novel target for treatment. PMID: 28197634
- These data demonstrate a critical role of SIRT3 in the control of myofibroblast differentiation and lung fibrosis. PMID: 27815257
- this article indicates a novel functional interplay between estrogen receptor beta and sirtuin-3 counteracting reactive oxygen species production in TCam-2 cells. Our findings thus show that an important tumor-suppressive pathway through estrogen receptor beta is target of E2, actually proposing a distinctive protecting action against seminoma. PMID: 28459202
- Hence, we conclude that SIRT3 exhibits neuroprotection via deacetylating and increasing mitochondrial enzyme activities. PMID: 28161643
- In conclusion, our data suggest that Sirt3 overexpression antagonize high glucose-induced apoptosis by controlling ROS accumulation and ROS-sensitive Akt/FoxO signaling pathway in HK-2 cells. PMID: 27773814
- These results suggest that Sirt3 may inhibit retinal neovascularization by regulating the migration-, neovascularization- and autophagy-related factors expression. Thus we argue that Sirt3 may be a potential candidate drug for curing various eye diseases induced by retinal neovascularization. PMID: 27856259
- cells with low SIRT1 levels can maintain their resistance and survival by increasing SIRT3 expression. PMID: 27925196
- Our findings suggest that Sirt3 plays a tumor-progressive role in human RCC by regulating glutamine-derived mitochondrial respiration, particularly in cells where mitochondrial usage of cytosolic pyruvate is severely compromised. PMID: 27114304
- SIRT3 is decreased in the metastatic tissues and highly metastatic cell line of ovarian carcinoma. SIRT3 suppresses ovarian cancer cell migration and invasion in vitro. PMID: 27216459
- Interaction of SIRT3 with the palmitoyl group led to unfolding of the alpha3-helix. The myristoyl and palmitoyl groups bind to the C-pocket and an allosteric site near the alpha3-helix, respectively. PMID: 27501476
- data suggested an important role of SIRT3 in regulating endothelial progenitor cell bioactivity PMID: 28032248
顯示更多
收起更多
-
亞細胞定位:Mitochondrion matrix.
-
蛋白家族:Sirtuin family, Class I subfamily
-
組織特異性:Widely expressed.
-
數據庫鏈接:
Most popular with customers
-
-
YWHAB Recombinant Monoclonal Antibody
Applications: ELISA, WB, IHC, IF, FC
Species Reactivity: Human, Mouse, Rat
-
Phospho-YAP1 (S127) Recombinant Monoclonal Antibody
Applications: ELISA, WB, IHC
Species Reactivity: Human
-
-
-
-
-















