SLAMF7 Antibody
-
中文名稱:SLAMF7兔多克隆抗體
-
貨號:CSB-PA021369ESR2HU
-
規格:¥440
-
圖片:
-
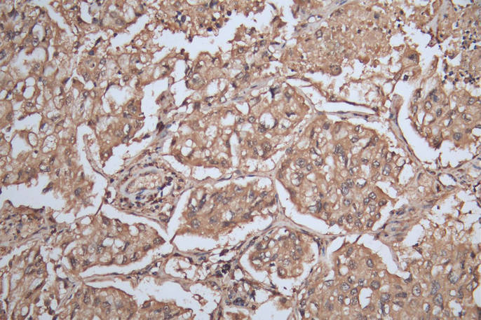
IHC image of CSB-PA021369ESR2HU diluted at 1:200 and staining in paraffin-embedded human lung cancer performed on a Leica BondTM system. After dewaxing and hydration, antigen retrieval was mediated by high pressure in a citrate buffer (pH 6.0). Section was blocked with 10% normal goat serum 30min at RT. Then primary antibody (1% BSA) was incubated at 4°C overnight. The primary is detected by a Goat anti-rabbit polymer IgG labeled by HRP and visualized using 0.05% DAB.
-
IHC image of CSB-PA021369ESR2HU diluted at 1:200 and staining in paraffin-embedded human lymph node tissue performed on a Leica BondTM system. After dewaxing and hydration, antigen retrieval was mediated by high pressure in a citrate buffer (pH 6.0). Section was blocked with 10% normal goat serum 30min at RT. Then primary antibody (1% BSA) was incubated at 4°C overnight. The primary is detected by a Goat anti-rabbit polymer IgG labeled by HRP and visualized using 0.05% DAB.
-
Immunofluorescence staining of U87 cell with CSB-PA021369ESR2HU at 1:50, counter-stained with DAPI. The cells were fixed in 4% formaldehyde and blocked in 10% normal Goat Serum. The cells were then incubated with the antibody overnight at 4C. The secondary antibody was Alexa Fluor 488-congugated AffiniPure Goat Anti-Rabbit IgG(H+L).
-
Western Blot
Positive WB detected in: U87 whole cell lysate,A549 whole cell lysate,U251 whole cell lysate
All lanes: SLAMF7 antibody at 1:1000
Secondary
Goat polyclonal to rabbit IgG at 1/50000 dilution
Predicted band size: 25-80 kDa
Observed band size: 55/80 kDa
-
-
其他:
產品詳情
-
產品名稱:Rabbit anti-Homo sapiens (Human) SLAMF7 Polyclonal antibody
-
Uniprot No.:
-
基因名:
-
別名:SLAMF7 antibody; CS1 antibody; UNQ576/PRO1138 antibody; SLAM family member 7 antibody; CD2 subset 1 antibody; CD2-like receptor-activating cytotoxic cells antibody; CRACC antibody; Membrane protein FOAP-12 antibody; Novel Ly9 antibody; Protein 19A antibody; CD antigen CD319 antibody
-
宿主:Rabbit
-
反應種屬:Human
-
免疫原:Recombinant Human SLAM family member 7 protein (23-226AA)
-
免疫原種屬:Homo sapiens (Human)
-
標記方式:Non-conjugated
-
克隆類型:Polyclonal
-
抗體亞型:IgG
-
純化方式:Antigen Affinity Purified
-
濃度:It differs from different batches. Please contact us to confirm it.
-
保存緩沖液:PBS with 0.02% sodium azide, 50% glycerol, pH7.3.
-
產品提供形式:Liquid
-
應用范圍:ELISA, WB, IHC, IF
-
推薦稀釋比:
Application Recommended Dilution WB 1:500-1:5000 IHC 1:20-1:200 IF 1:20-1:200 -
Protocols:
-
儲存條件:Upon receipt, store at -20°C or -80°C. Avoid repeated freeze.
-
貨期:Basically, we can dispatch the products out in 1-3 working days after receiving your orders. Delivery time maybe differs from different purchasing way or location, please kindly consult your local distributors for specific delivery time.
-
用途:For Research Use Only. Not for use in diagnostic or therapeutic procedures.
相關產品
靶點詳情
-
功能:Self-ligand receptor of the signaling lymphocytic activation molecule (SLAM) family. SLAM receptors triggered by homo- or heterotypic cell-cell interactions are modulating the activation and differentiation of a wide variety of immune cells and thus are involved in the regulation and interconnection of both innate and adaptive immune response. Activities are controlled by presence or absence of small cytoplasmic adapter proteins, SH2D1A/SAP and/or SH2D1B/EAT-2. Isoform 1 mediates NK cell activation through a SH2D1A-independent extracellular signal-regulated ERK-mediated pathway. Positively regulates NK cell functions by a mechanism dependent on phosphorylated SH2D1B. Downstream signaling implicates PLCG1, PLCG2 and PI3K. In addition to heterotypic NK cells-target cells interactions also homotypic interactions between NK cells may contribute to activation. However, in the absence of SH2D1B, inhibits NK cell function. Acts also inhibitory in T-cells. May play a role in lymphocyte adhesion. In LPS-activated monocytes negatively regulates production of proinflammatory cytokines.; Isoform 3 does not mediate any NK cell activation.
-
基因功能參考文獻:
- Memory CD8+ T cells from SLE patients displayed decreased amounts of SLAMF7, a surface receptor that characterizes effector CD8+ T cells. Ligation of SLAMF7 increased CD8+ T cell degranulation capacity and the percentage of IFNgamma-producing cells in response to antigen challenge in SLE patients and healthy controls. SLAMF7 engagement promoted cytotoxic lysis of target cells in response to stimulation with viral antig... PMID: 28076903
- phagocytosis of haematopoietic tumour cells during SIRPalpha-CD47 blockade was strictly dependent on SLAM family receptors in vitro and in vivo; in both mouse and human cells, this function required a single SLAM family member, SLAMF7 (also known as CRACC, CS1, CD319), expressed on macrophages and tumour cell targets PMID: 28424516
- Cohort statistics revealed a significant increase of circulating sSLAMF7 in multiple myeloma patients versus normal controls PMID: 27116021
- Blimp-1 regulates the transcription of CS1 gene in NK and B cell lines from multiple myeloma and diffuse large B cell lymphoma patients. PMID: 26310579
- SLAMF7-triggered inhibition is mediated by a mechanism involving Src kinases, CD45, and SHIP-1 that is defective in MM cells PMID: 25312647
- Our data highlight the therapeutic potential of targeting CD319 in rheumatoid arthritis PMID: 24299175
- SLAMF7 plays an inhibitory role in human monocytes to control proinflammatory immune responses. PMID: 23695528
- These results suggest a role for CD319 and CD229 in the systemic lupus erythematosus disease process. PMID: 23956418
- These data suggest an involvement of CRACC-mediated NK cell activation in periodontal tissue destruction and point to a plausible distinction in the pathobiology of aggressive and chronic periodontitis. PMID: 23250953
- CS1-L and CS1-S may differentially regulate human NK cell functions PMID: 15368295
- CS1 may play a role in the regulation of B lymphocyte proliferation during immune responses PMID: 17878365
- CS1 was expressed at adhesion-promoting uropod membranes of polarized Multiple Myeloma cells, andis required for MM cell adhesion to bone marrow stromal cells PMID: 17906076
- HuLuc63 eliminates myeloma cells, at least in part, via NK-mediated ADCC and shows the therapeutic potential of targeting CS1 with HuLuc63 for the treatment of multiple myeloma. PMID: 18451245
顯示更多
收起更多
-
亞細胞定位:Membrane; Single-pass type I membrane protein.
-
組織特異性:Expressed in spleen, lymph node, peripheral blood leukocytes, bone marrow, small intestine, stomach, appendix, lung and trachea. Expression was detected in NK cells, activated B-cells, NK-cell line but not in promyelocytic, B-, or T-cell lines. Expressed
-
數據庫鏈接:
Most popular with customers
-
-
YWHAB Recombinant Monoclonal Antibody
Applications: ELISA, WB, IHC, IF, FC
Species Reactivity: Human, Mouse, Rat
-
Phospho-YAP1 (S127) Recombinant Monoclonal Antibody
Applications: ELISA, WB, IHC
Species Reactivity: Human
-
-
-
-
-















