SLC16A1 Antibody
-
中文名稱:SLC16A1兔多克隆抗體
-
貨號:CSB-PA587029
-
規格:¥1100
-
圖片:
-
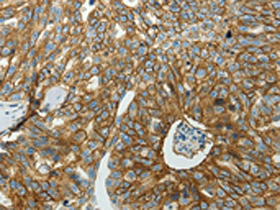
The image on the left is immunohistochemistry of paraffin-embedded Human liver cancer tissue using CSB-PA587029(SLC16A1 Antibody) at dilution 1/50, on the right is treated with synthetic peptide. (Original magnification: ×200)
-
The image on the left is immunohistochemistry of paraffin-embedded Human ovarian cancer tissue using CSB-PA587029(SLC16A1 Antibody) at dilution 1/50, on the right is treated with synthetic peptide. (Original magnification: ×200)
-
-
其他:
產品詳情
-
Uniprot No.:
-
基因名:SLC16A1
-
別名:FLJ36745 antibody; HHF7 antibody; MCT 1 antibody; MCT antibody; MGC44475 antibody; Monocarboxylate transporter 1 antibody; Monocarboxylate transporter antibody; Monocarboxylate transporter isoform 1 antibody; Monocarboxylic acid transporter 1 antibody; MOT1_HUMAN antibody; Slc16a1 antibody; SLC16A1 protein antibody; Solute carrier family 16 (monocarboxylic acid transporters) member 1 antibody; Solute carrier family 16 member 1 (monocarboxylic acid transporter 1) antibody; Solute carrier family 16 member 1 antibody
-
宿主:Rabbit
-
反應種屬:Human
-
免疫原:Synthetic peptide of Human SLC16A1
-
免疫原種屬:Homo sapiens (Human)
-
標記方式:Non-conjugated
-
抗體亞型:IgG
-
純化方式:Antigen affinity purification
-
濃度:It differs from different batches. Please contact us to confirm it.
-
保存緩沖液:-20°C, pH7.4 PBS, 0.05% NaN3, 40% Glycerol
-
產品提供形式:Liquid
-
應用范圍:ELISA,IHC
-
推薦稀釋比:
Application Recommended Dilution ELISA 1:2000-1:10000 IHC 1:50-1:200 -
Protocols:
-
儲存條件:Upon receipt, store at -20°C or -80°C. Avoid repeated freeze.
-
貨期:Basically, we can dispatch the products out in 1-3 working days after receiving your orders. Delivery time maybe differs from different purchasing way or location, please kindly consult your local distributors for specific delivery time.
-
用途:For Research Use Only. Not for use in diagnostic or therapeutic procedures.
相關產品
靶點詳情
-
功能:Proton-coupled monocarboxylate transporter. Catalyzes the rapid transport across the plasma membrane of many monocarboxylates such as lactate, pyruvate, branched-chain oxo acids derived from leucine, valine and isoleucine, and the ketone bodies acetoacetate, beta-hydroxybutyrate and acetate. Depending on the tissue and on cicumstances, mediates the import or export of lactic acid and ketone bodies. Required for normal nutrient assimilation, increase of white adipose tissue and body weight gain when on a high-fat diet. Plays a role in cellular responses to a high-fat diet by modulating the cellular levels of lactate and pyruvate, small molecules that contribute to the regulation of central metabolic pathways and insulin secretion, with concomitant effects on plasma insulin levels and blood glucose homeostasis.
-
基因功能參考文獻:
- 7ACC2 is an inhibitor of mitochondrial pyruvate transport; the blockade of pyruvate import into mitochondria prevents extracellular lactate uptake as efficiently as a MCT1 inhibitor PMID: 29572438
- the MCT1 A allele is associated with forward soccer player status PMID: 30290372
- High MCT-1 expression is associated with clear cell renal cell carcinoma. PMID: 29657088
- Metabolism-dependent clonal growth of HCT15 colorectal cancer cells was induced by Nrf2-dependent activation of MCT1-driven lactate exchange. PMID: 28846107
- These results demonstrate that Monocarboxylate transporters tend to play a role in the aggressive breast cancer subtypes through the dynamic interaction between breast cancer cells and adipocytes. PMID: 29775610
- Sub-Saharan African groups show extremely high values of the T allele of 1470T > A polymorphism. The TT genotype preeminence in African groups could explain the better predisposition to sprint/power performances of African athletes. Caucasian and Asian populations show variable proportions of TT and AA genotypes allowing inter-individual differences in lactate transport. PMID: 29985759
- Using in vitro models, we demonstrate that tumor-excreted branched-chain amino acid (BCKA)s can be taken up and re-aminated to BCAAs by tumor-associated macrophages. Our data further suggest that the anti-proliferative effects of MCT1 knockdown observed by others might be related to the blocked excretion of BCKAs. PMID: 29066459
- Hypoxia-induced MCT1 supports glioblastoma glycolytic phenotype, being responsible for lactate efflux and an important mediator of cell survival and aggressiveness PMID: 27331625
- our finding that the expression of MCT1 and MCT4 is reduced in mutant IDH1 gliomas highlights the unusual metabolic reprogramming that occurs in mutant IDH1 tumors and has important implications for our understanding of these tumors and their treatment PMID: 27144334
- MCT1 expression, independent of transporter activity, is required for growth factor-induced tumor cell motility. PMID: 27127175
- TOMM20, MCT1, and MCT4 expression was significantly different in Hodgkin and Reed Sternberg (HRS) cells. HRS have high expression of MCT1, while tumor associated macrophages have absent MCT1 expression. Tumor-infiltrating lymphocytes have absent MCT1 expression. Reactive lymph nodes in contrast to cHL tumors had low TOMM20, MCT1, and MCT4 expression in lymphocytes and macrophages. PMID: 29248133
- TOMM20 and MCT1 were highly expressed in diffuse large B-cell lymphoma lymphocytes, indicating an OXPHOS phenotype, whereas non-neoplastic lymphocytes in the control samples did not express these markers. PMID: 29248132
- Data suggest that targeting monocarboxylate transporter 1 (MCT1) in both tumor cells and brain endothelial cells (EC) may be a promising therapeutic strategy for the treatment of Glioblastoma (GBM). PMID: 28762551
- The structures and functions of hMCT1 and hMCT4 transporters. PMID: 28559188
- MCT1 inhibitor AZD3965 increased MCT4-dependent accumulation of intracellular lactate, inhibiting monocarboxylate influx and efflux. PMID: 28923861
- Silencing or genetic deletion of MCT1 in vivo inhibited migration, invasion, and spontaneous metastasis. PMID: 28827372
- The reversible H(+)/lactate(-) symporter MCT1 cotransports lactate and proton, leading to the net extrusion of lactic acid in glycolytic tumors. A model of its role in pH control in tumor cells is described. Review. PMID: 26944480
- Monocarboxylate transporters (MCTs) are expressed in normal and cancer cells and are involved in cell metabolism and survival. PMID: 27957817
- Increased miR-210 and concomitant decreased ISCU RNA levels were found in ~40% of tumors and this was significantly associated with HIF-1alpha and CAIX, but not MCT1 or MCT4, over-expression. PMID: 28099149
- Data show that metastasis-associated in colon cancer-1 (MACC1) and monocarboxylate transporter 1 (MCT1) are highly expressed in gastric cancer indicating poor prognosis. PMID: 28235486
- AA genotype of the MCT1 T1470A polymorphism is over-represented in wrestlers compared with controls and is associated with lower blood lactate concentrations after 30-s Wingate Anaerobic test and during intermittent sprint tests in Japanese wrestlers PMID: 27813046
- MCT1 and MCT4 expression levels were associated with worse prognosis and shorter overall survival. PMID: 27105345
- MCT1 may be acting as an uptake transporter and MCT4 as an efflux system across the basolateral membrane for ferulic acid, and that this process is stimulated by butyric acid. PMID: 26854723
- Data suggest that inhibition of mnocarboxylate transporters MCT1 and MCT4 may have clinical relevance in pancreatic ductal adenocarcinoma (PDAC). PMID: 26765963
- Results found that MCT contributes to endothelial cell growth and tube formation via up-regulation of angiopoietin-1 expression suggesting that MCT plays an important role in pancreatic cancer angiogenesis and tumor growth via activating the angiopoietin-1 pathway. PMID: 27240355
- The targeting of MCT1 and PFKFB3 regulated cell proliferation. PMID: 27373212
- MCT1 expression associates with the SCC type and metastatic behavior of AC, whereas MCT4 expression concomitantly increases from in situ SCC to invasive SCC and is significantly associated with the AC type. Consistently, FOXM1 expression is statistically associated with MCT1 positivity in SCC, whereas the expression of FOXO3a, a FOXM1 functional antagonist, is linked to MCT1 negativity PMID: 26563366
- This study investigated MCT1 protein abundance in various human intestinal tissues. PMID: 27634412
- MCT1 affects the plasma lactate decrease . PMID: 27026015
- The aim of this study was to investigate the association between the MCT1 A1470T polymorphism and fat-free mass in young Italian elite soccer players. The MCT1 T allele is associated with the percentage of fat-free mass in young elite male soccer players. PMID: 26340466
- MCT1 inhibition impairs proliferation of glycolytic breast cancer cells co-expressing MCT1 and MCT4 via disruption of pyruvate rather than lactate export. PMID: 26876179
- MCT1 expression was not clearly associated with overall or disease-free survival. MCT4 and CD147 expression correlate with worse prognosis across many cancer types. These results warrant further investigation of these associations. PMID: 26779534
- The most important finding from the present study was that wild-type allele carriers, 2917(1414)T and IVS3-17C, have been associated with higher blood lactate levels at submaximal intensities of exercise for the first time. PMID: 26595136
- MCT1 is highly expressed in anaplastic thyroid cancer compared to non-cancerous thyroid tissue and papillary thyroid cancer. PMID: 26615136
- interaction of rmEMMPRINex with U937 cells leads to inhibition of MCT1 membrane expression, intracellular activation of procaspase-9, followed by DNA fragmentation and apoptosis. PMID: 26024713
- Down regulation of MCT1 promote the sensitivity to cisplatin in ovarian cancer cells. This effect appeared to be mediated by antagonizing Fas. PMID: 26045776
- T-allele frequency was significantly higher among swimmers compared with runners. PMID: 24708341
- The findings indicated that theMCT1 TT genotype was overrepresented in sprint/power athletes compared to both endurance athletes and non-athlete controls. PMID: 24485392
- The possible cooperative role of CD147 and MCT1 in determining cisplatin resistance. PMID: 25263481
- The first IF method has been developed and optimised for detection of MCT 1 and MCT4 in cancer patient circulating tumour cells PMID: 25957999
- CD147 interacts with MCT1 to regulate tumor cell glycolysis, resulting in the progression of thyroid carcinoma. PMID: 25755717
- MCT1 was up-regulated by exposure to DL-2-hydroxy-(4-methylthio)butanoic acid(HMTBA). Moreover, total monolayer MCT1 immunoreactivity increased 1.8-fold in HMTBA-supplemented cultures, this effect mainly being localised at the apical membrane. PMID: 25447800
- Our findings suggest that SNPs in MCT1 and MCT2 genes may affect clinical outcomes and can be used to predict the response to adjuvant chemotherapy in NSCLC patients who received surgical treatment once validated in future study. PMID: 25578492
- SNPs in MCT1 and MCT2 genes may affect clinical outcomes and can be used to predict the response to adjuvant chemotherapy in CRC patients who received surgical treatment PMID: 25492048
- These results indicate there are no additional benefits of IHT when compared to similar normoxic training. Hence, the addition of the hypoxic stimulus on anaerobic performance or MCT expression after a three-week training period is ineffective. PMID: 24797797
- We provide novel information of MCT1 as a candidate marker for prognostic stratification in NSCLC. PMID: 25225794
- H(+)-coupled 5-oxoproline transport is mediated solely by SLC16A1 in astrocytes PMID: 25371203
- Data suggest that expression of MCT1 in intestinal mucosa can be altered by diet; here, expression of MCT1 is down-regulated in Caco-2 Cells by products of fermentation of dietary proteins by intestinal microbes. PMID: 25656974
- Overexpression of MCT1, MCT4, and CD147 predicts tumor progression in clear cell renal cell carcinoma. PMID: 25456395
- Data indicate that pteridine showed substantial anticancer activity in monocarboxylate transporter 1 (MCT1)-expressing Raji lymphoma cells. PMID: 25068893
顯示更多
收起更多
-
相關疾病:Symptomatic deficiency in lactate transport (SDLT); Familial hyperinsulinemic hypoglycemia 7 (HHF7); Monocarboxylate transporter 1 deficiency (MCT1D)
-
亞細胞定位:Cell membrane; Multi-pass membrane protein.
-
蛋白家族:Major facilitator superfamily, Monocarboxylate porter (TC 2.A.1.13) family
-
組織特異性:Detected in heart and in blood lymphocytes and monocytes (at protein level). Widely expressed.
-
數據庫鏈接:
Most popular with customers
-
-
YWHAB Recombinant Monoclonal Antibody
Applications: ELISA, WB, IHC, IF, FC
Species Reactivity: Human, Mouse, Rat
-
Phospho-YAP1 (S127) Recombinant Monoclonal Antibody
Applications: ELISA, WB, IHC
Species Reactivity: Human
-
-
-
-
-















