SLC16A14 Antibody
-
中文名稱:SLC16A14兔多克隆抗體
-
貨號:CSB-PA216935
-
規格:¥1100
-
圖片:
-
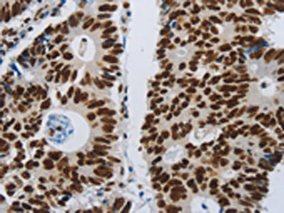
The image on the left is immunohistochemistry of paraffin-embedded Human colon cancer tissue using CSB-PA216935(SLC16A14 Antibody) at dilution 1/80, on the right is treated with synthetic peptide. (Original magnification: ×200)
-
The image on the left is immunohistochemistry of paraffin-embedded Human ovarian cancer tissue using CSB-PA216935(SLC16A14 Antibody) at dilution 1/80, on the right is treated with synthetic peptide. (Original magnification: ×200)
-
-
其他:
產品詳情
-
Uniprot No.:
-
基因名:SLC16A14
-
別名:FLJ30794 antibody; MCT 14 antibody; MCT14 antibody; Monocarboxylate transporter 14 antibody; MOT14_HUMAN antibody; OTTHUMP00000204389 antibody; OTTHUMP00000204390 antibody; Slc16a14 antibody; Solute carrier family 16 (monocarboxylic acid transporters), member 14 antibody; Solute carrier family 16 member 14 antibody; Solute carrier family 16, member 14 (monocarboxylic acid transporter 14) antibody
-
宿主:Rabbit
-
反應種屬:Human
-
免疫原:Synthetic peptide of Human SLC16A14
-
免疫原種屬:Homo sapiens (Human)
-
標記方式:Non-conjugated
-
抗體亞型:IgG
-
純化方式:Antigen affinity purification
-
濃度:It differs from different batches. Please contact us to confirm it.
-
保存緩沖液:-20°C, pH7.4 PBS, 0.05% NaN3, 40% Glycerol
-
產品提供形式:Liquid
-
應用范圍:ELISA,IHC
-
推薦稀釋比:
Application Recommended Dilution ELISA 1:2000-1:5000 IHC 1:100-1:300 -
Protocols:
-
儲存條件:Upon receipt, store at -20°C or -80°C. Avoid repeated freeze.
-
貨期:Basically, we can dispatch the products out in 1-3 working days after receiving your orders. Delivery time maybe differs from different purchasing way or location, please kindly consult your local distributors for specific delivery time.
-
用途:For Research Use Only. Not for use in diagnostic or therapeutic procedures.
相關產品
靶點詳情
-
功能:Proton-linked monocarboxylate transporter. May catalyze the transport of monocarboxylates across the plasma membrane.
-
基因功能參考文獻:
- Study presented a phylogenetic analysis revealing that Slc16a14 is closely related to Slc16a2, Slc16a9 and Slc16a10; provided a detailed expression analysis of Slc16a14 expression, finding widespread expression in the mouse brain and establishing its expression in neurons and epithelial cells. QRT-PCR on a panel of mouse tissues revealed high Slc16a14 expression in the kidney and moderate levels in the CNS. PMID: 27364523
-
亞細胞定位:Cell membrane; Multi-pass membrane protein.
-
蛋白家族:Major facilitator superfamily, Monocarboxylate porter (TC 2.A.1.13) family
-
數據庫鏈接:
Most popular with customers
-
-
YWHAB Recombinant Monoclonal Antibody
Applications: ELISA, WB, IHC, IF, FC
Species Reactivity: Human, Mouse, Rat
-
Phospho-YAP1 (S127) Recombinant Monoclonal Antibody
Applications: ELISA, WB, IHC
Species Reactivity: Human
-
-
-
-
VDAC1 Recombinant Monoclonal Antibody
Applications: ELISA, WB, IHC
Species Reactivity: Human, Mouse, Rat
-
VCP Recombinant Monoclonal Antibody
Applications: ELISA, WB, IHC, IF, IP
Species Reactivity: Human, Rat















