SLC22A17 Antibody
-
中文名稱:SLC22A17兔多克隆抗體
-
貨號:CSB-PA823881LA01HU
-
規格:¥440
-
圖片:
-
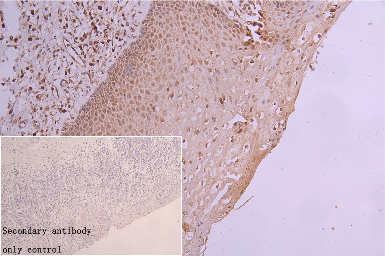
IHC image of CSB-PA823881LA01HU diluted at 1:300 and staining in paraffin-embedded human cervical cancer performed on a Leica BondTM system. After dewaxing and hydration, antigen retrieval was mediated by high pressure in a citrate buffer (pH 6.0). Section was blocked with 10% normal goat serum 30min at RT. Then primary antibody (1% BSA) was incubated at 4°C overnight. The primary is detected by a Goat anti-rabbit polymer IgG labeled by HRP and visualized using 0.05% DAB.
-
Immunofluorescence staining of A549 cell with CSB-PA823881LA01HU at 1:100, counter-stained with DAPI. The cells were fixed in 4% formaldehyde and blocked in 10% normal Goat Serum. The cells were then incubated with the antibody overnight at 4C. The secondary antibody was Alexa Fluor 488-congugated AffiniPure Goat Anti-Rabbit IgG(H+L).
-
Immunofluorescence staining of A549 cell with 5% goat serum, counter-stained with DAPI. The cells were fixed in 4% formaldehyde and blocked in 10% normal Goat Serum. The cells were then incubated with the antibody overnight at 4C. The secondary antibody was Alexa Fluor 488-congugated AffiniPure Goat Anti-Rabbit IgG(H+L).
-
-
其他:
產品詳情
-
產品名稱:Rabbit anti-Homo sapiens (Human) SLC22A17 Polyclonal antibody
-
Uniprot No.:
-
基因名:SLC22A17
-
別名:24p3 receptor antibody; 24p3R antibody; BOCT antibody; BOIT antibody; Brain type organic cation transporter antibody; Brain-type organic cation transporter antibody; hBOIT antibody; Lipocalin-2 receptor antibody; Neutrophil gelatinase associated lipocalin receptor antibody; Neutrophil gelatinase-associated lipocalin receptor antibody; NGAL receptor antibody; NgalR antibody; NGALR2 antibody; NGALR3 antibody; OTTHUMP00000082690 antibody; OTTHUMP00000082691 antibody; Potent brain type organic ion transporter antibody; S22AH_HUMAN antibody; Slc22a17 antibody; Solute carrier family 22 member 17 antibody; Solute carrier family 22 organic cation transporter member 17 antibody
-
宿主:Rabbit
-
反應種屬:Human
-
免疫原:Recombinant Human Solute carrier family 22 member 17 protein (1-99AA)
-
免疫原種屬:Homo sapiens (Human)
-
標記方式:Non-conjugated
本頁面中的產品,SLC22A17 Antibody (CSB-PA823881LA01HU),的標記方式是Non-conjugated。對于SLC22A17 Antibody,我們還提供其他標記。見下表:
-
克隆類型:Polyclonal
-
抗體亞型:IgG
-
純化方式:>95%, Protein G purified
-
濃度:It differs from different batches. Please contact us to confirm it.
-
保存緩沖液:Preservative: 0.03% Proclin 300
Constituents: 50% Glycerol, 0.01M PBS, PH 7.4 -
產品提供形式:Liquid
-
應用范圍:ELISA, IHC, IF
-
推薦稀釋比:
Application Recommended Dilution IHC 1:100-1:500 IF 1:50-1:500 -
Protocols:
-
儲存條件:Upon receipt, store at -20°C or -80°C. Avoid repeated freeze.
-
貨期:Basically, we can dispatch the products out in 1-3 working days after receiving your orders. Delivery time maybe differs from different purchasing way or location, please kindly consult your local distributors for specific delivery time.
-
用途:For Research Use Only. Not for use in diagnostic or therapeutic procedures.
相關產品
靶點詳情
-
功能:Cell surface receptor for LCN2 (24p3) that plays a key role in iron homeostasis and transport. Able to bind iron-bound LCN2 (holo-24p3), followed by internalization of holo-24p3 and release of iron, thereby increasing intracellular iron concentration and leading to inhibition of apoptosis. Also binds iron-free LCN2 (apo-24p3), followed by internalization of apo-24p3 and its association with an intracellular siderophore, leading to iron chelation and iron transfer to the extracellular medium, thereby reducing intracellular iron concentration and resulting in apoptosis.
-
基因功能參考文獻:
- Results showed the expression levels of NGAL and NGALR significantly downregulated in clear cell renal cell carcinoma samples. PMID: 30138675
- Biochemical and Structural Characterization of the Interaction between the Siderocalin NGAL/LCN2 (Neutrophil Gelatinase-associated Lipocalin/Lipocalin 2) and the N-terminal Domain of Its Endocytic Receptor SLC22A17. PMID: 26635366
- Lipocalin 2 might restore the health and regeneration potential of MSCs by decreasing senescence PMID: 24452457
- No significant difference was found in the expressions of NGALR mRNA in placenta among moderate preeclampsia group, severe preeclampsia group and control group. PMID: 22932106
- NGAL and NGALR expression might be served as novel prognostic factors and potential therapeutic targets in Hepatocellular carcinoma. PMID: 22728279
- This study suggested that NGAL and NGALR expression are frequently up-regulated in gliomas, and are closely associated with poor clinical outcome. PMID: 21184133
- These results suggested that SLC22A17, in cooperation with LCN2, to be involved in the acquisition of aggressive behavior among endometrial carcinoma cells. PMID: 21763306
- Neutrophil gelatinase-associated lipocalin receptor (NGALR) is differentially expressed in human glomerular disease and is significantly up-regulated by Il-1beta in HMC via MAPK/ERK activation. PMID: 21305251
- NGALR hypomethylation contributes to its expression in esophageal carcinomas and that this overexpression may play a role in the pathogenesis of esophageal carcinomas. PMID: 19047093
顯示更多
收起更多
-
亞細胞定位:Cell membrane; Multi-pass membrane protein. Vacuole membrane; Multi-pass membrane protein. Note=Upon LCN2-binding, it is internalized.
-
蛋白家族:Major facilitator (TC 2.A.1) superfamily, Organic cation transporter (TC 2.A.1.19) family
-
組織特異性:Expressed in brain.
-
數據庫鏈接:
Most popular with customers
-
-
YWHAB Recombinant Monoclonal Antibody
Applications: ELISA, WB, IHC, IF, FC
Species Reactivity: Human, Mouse, Rat
-
Phospho-YAP1 (S127) Recombinant Monoclonal Antibody
Applications: ELISA, WB, IHC
Species Reactivity: Human
-
-
-
-
-















