-
中文名稱:SLC22A2兔多克隆抗體
-
貨號:CSB-PA654250
-
規格:¥1100
-
圖片:
-
The image on the left is immunohistochemistry of paraffin-embedded Human thyroid cancer tissue using CSB-PA654250(SLC22A2 Antibody) at dilution 1/20, on the right is treated with synthetic peptide. (Original magnification: ×200)
-
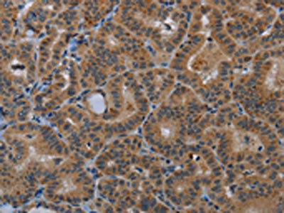
The image on the left is immunohistochemistry of paraffin-embedded Human liver cancer tissue using CSB-PA654250(SLC22A2 Antibody) at dilution 1/20, on the right is treated with synthetic peptide. (Original magnification: ×200)
-
-
其他:
產品詳情
-
Uniprot No.:
-
基因名:SLC22A2
-
別名:SLC22A2 antibody; OCT2Solute carrier family 22 member 2 antibody; Organic cation transporter 2 antibody; hOCT2 antibody
-
宿主:Rabbit
-
反應種屬:Human,Rat
-
免疫原:Synthetic peptide of Human SLC22A2
-
免疫原種屬:Homo sapiens (Human)
-
標記方式:Non-conjugated
-
抗體亞型:IgG
-
純化方式:Antigen affinity purification
-
濃度:It differs from different batches. Please contact us to confirm it.
-
保存緩沖液:-20°C, pH7.4 PBS, 0.05% NaN3, 40% Glycerol
-
產品提供形式:Liquid
-
應用范圍:ELISA,IHC
-
推薦稀釋比:
Application Recommended Dilution ELISA 1:1000-1:2000 IHC 1:25-1:100 -
Protocols:
-
儲存條件:Upon receipt, store at -20°C or -80°C. Avoid repeated freeze.
-
貨期:Basically, we can dispatch the products out in 1-3 working days after receiving your orders. Delivery time maybe differs from different purchasing way or location, please kindly consult your local distributors for specific delivery time.
-
用途:For Research Use Only. Not for use in diagnostic or therapeutic procedures.
引用文獻
- Wnt/β-Catenin inhibitor pyrivinium attenuates cisplatininduced acute kidney injury by possibly reducing platinum uptake and accumulation mediated by reduced OCT-2 expressions S Pandey,Canadian Journal of Physiology and Pharmacology,2022
相關產品
靶點詳情
-
功能:Mediates tubular uptake of organic compounds from circulation. Mediates the influx of agmatine, dopamine, noradrenaline (norepinephrine), serotonin, choline, famotidine, ranitidine, histamine, creatinine, amantadine, memantine, acriflavine, 4-[4-(dimethylamino)-styryl]-N-methylpyridinium ASP, amiloride, metformin, N-1-methylnicotinamide (NMN), tetraethylammonium (TEA), 1-methyl-4-phenylpyridinium (MPP), cimetidine, cisplatin and oxaliplatin. Cisplatin may develop a nephrotoxic action. Transport of creatinine is inhibited by fluoroquinolones such as DX-619 and LVFX. This transporter is a major determinant of the anticancer activity of oxaliplatin and may contribute to antitumor specificity.
-
基因功能參考文獻:
- African-specific promoter polymorphisms can cause a decrease in the SLC22A2 gene expression levels in vitro, which in turn, may influence the pharmacokinetic profiles of cationic drugs. PMID: 29624501
- OCT2-altered expression in primary and metastatic cancer cells. PMID: 29794161
- Circ2174 has sequence complementarity to miR149 which can target Oct-2.These data suggest a mechanism whereby circ2174 can act as a sponge to regulate the expression of miR149, and thereby modulate Oct-2 and interleukin-16 signaling pathways in cholangiocarcinoma. PMID: 30168369
- SLC22A2 deletion is associated with motor speech disorders, and language delays. PMID: 28767196
- Pazopanib inhibits OCT2, MATE1 and MATE2-K, which are involved in cisplatin secretion into urine, potentiating cisplatin toxicity. PMID: 27178732
- The combination of ENT1, MATE1 and OCT2 SNPs may serve as a predictive and prognostic marker in metastatic colorectal carcinoma patients treated with TAS-102. PMID: 28992563
- This study of SLC22A2 contributes in filling the gap that exists with regards to genetic information about important variations in organic cation transporter genes for the indigenous populations of South Africa. PMID: 27828777
- Oct2 and Bob1 are very reliable in determining B cell lineage in the absence of expression of other pan-B cell markers PMID: 27319306
- Formononetin prevents cisplatin-induced acute kidney injury by targeting Oct2/TP53 in the kidney. PMID: 28414026
- OCT2 polymorphisms were associated with hematological toxicity in non-small cell lung cancer patients. PMID: 27590272
- An association was found between SNPs in OCT2 transporter and lack of metformin response in type 2 diabetes mellitus patients. PMID: 27609360
- Seventeen of the variants observed in the SLC22A2 gene of the Xhosa population were specific to/or occurred at a higher frequency in African populations or populations with a recent connection to the African continent. PMID: 26674735
- We noted a statistically significant association between the nonsynonymous SNP rs316019(SLC22A2) and cisplatin-induced ototoxicity, in that the T allele occurred more frequently in patients who experienced no ototoxicity from cisplatin treatment. PMID: 25823781
- the loss-of-function variant OCT2-T201M (rs145450955) contribute to changes in insulin resistance and beta cell activity in patients with T2D treated with metformin. PMID: 25662675
- The 808G>T variant of SLC22A2 improves the metformin long-term glucose-lowering effect in Chinese type 2 diabetics. PMID: 25573751
- functional amino acid residues involved in polyamine and agmatine transport by human organic cation transporter 2 PMID: 25019617
- The functional OCT2 Ser270Ala polymorphism is significantly associated with abstinence among treatment-seeking smokers. PMID: 25143296
- Clopidogrel/clopidogrel carboxylate are weak inhibitors of OCT2. PMID: 24530383
- The genetic polymorphisms in OCT2, AQP2, AQP9 and TMEM205 may contribute to chemotherapy response in lung cancer patients. PMID: 24643204
- In chemotherapy for oesophageal cancers, cisplatin-induced nephrotoxicity seems to be unaffected by SLC22A2 polymorphism PMID: 24102360
- results suggest that high levels of OCT2 indicate severe invasion, but also better prognosis in metastatic colorectal cancer patients treated with oxaliplatin-based chemotherapy PMID: 24427340
- ADMA and L-arginine are substrates of human CAT2A, CAT2B, OCT2 and MATE1. Transport kinetics of CAT2A, CAT2B, and OCT2 indicate a low affinity, high capacity transport, which may be relevant for renal and hepatic elimination of ADMA or L-arginine PMID: 23864433
- The results confirmed that OAT1, OAT3, OCT2, MATE1, and MATE2-K were coexpressed in tubular epithelial cells. PMID: 23630107
- hOCT2 does not apperar to contribute significantly to fluoroquinolone disposition. PMID: 23545524
- Cellular uptake of oxaliplatin increases by 16- to 35-fold in cells overexpressing OCT2, a process that is associated with increased DNA platination and oxaliplatin-induced cytotoxicity. PMID: 23776246
- SLC22A2 single nucleotide polymorphisms (SNPs), rs3127573 and rs316009, were genotyped in 1,142 ESRD patients receiving renal transplantation. Neither SNP was associated with GF PMID: 23341218
- expression and prognostic impact of SOX2, OCT4, Nanog and Nestin in nasopharyngeal carcinoma PMID: 23424657
- The 808G>T single-nucleotide polymorphism in OCT2 ameliorated cisplatin-induced nephrotoxicity without alteration of disposition, whereas the rs2289669 G>A single-nucleotide polymorphism in MATE1 had no effect on cisplatin toxicity. PMID: 22569819
- results suggested that SLC22A2 gene polymorphism 808 G/T and cimetidine could attenuate cisplatin nephrotoxicity in Chinese cancer patients PMID: 22525860
- Conserved cysteines in the human organic cation transporter 2 (hOCT2), namely the six cysteines in the long extracellular loop (loop cysteines) and C474 in transmembrane helix 11, are important for plasma membrane targeting. PMID: 22573376
- tryptophan can serve as one of the endogenous substrate for the OCT2 as well as a biomarker candidate indicating the variability of the transport activity of OCT2. PMID: 22590580
- OCT2 plays a decisive role in the renal secretion of creatinine. This process can be inhibited by OCT2 substrates, which impair the usefulness of creatinine as a marker of renal function. PMID: 22223530
- Data show that the cysteines of the large extracellular loop are important to enable correct folding, oligomeric assembly, and plasma membrane insertion of organic cation transporter 2 (hOCT2). PMID: 22085643
- hOCT2 interacts with LAPTM4A in lysosomes and late endosomes and regulates endocytotic recruitment. PMID: 21553234
- Our findings suggest that SLC22A2 could be a susceptibility gene for aspirin intolerance in asthmatics. PMID: 21346370
- The results suggest that agmatine disposition may be influenced by hOCT2 and hMATE1, two transporters critical in the renal elimination of xenobiotic compounds. PMID: 21128598
- The hSLC22A2 drug transporter is a critical determinant in the uptake and cytotoxicity of various platinum compounds, particularly oxaliplatin. PMID: 20067471
- This study showed that coordinate function of MATE1 with OCT2 likely contributes to the vectorial renal elimination of organic cationic drugs and that altered activity of MATE1 should be considered as a determinant of renal cationic drug elimination. PMID: 20053795
- The human organic cation transporter (hOCT2) recognizes the degree of substrate ionization PMID: 11953440
- cDNA coding hOCT2-A was isolated from human kidney. an alternatively spliced variant of hOCT2 with an insertion of 1169 bp. open reading frame encodes 483-amino acid protein with 81% amino acid identity with hOCT2. PMID: 12089365
- polymorphisms in kidney exhibit altered function PMID: 12142729
- inhibited by PI3K and PKA and activated by a CaM-dependent signaling pathway PMID: 12388397
- OCT2 efficiently translocates agmatine and must be considered for the control of agmatine levels. PMID: 12538837
- Ranitidine and famotidine elicited differential inhibitory activities on SLC22A2. PMID: 16141367
- uptake of cis-platin is mediated by hOCT2 in renal proximal tubules; cis-platin with other substrates that compete for hOCT2 offers an effective option to decrease nephrotoxicity in the clinical setting. PMID: 16314463
- N-glycosylation of OCT2 has a profound effect on plasma membrane expression, substrate affinity, and maximum rate of substrate transport PMID: 16368738
- OCT1 and OCT2 are major determinants of the anticancer activity of oxaliplatin and may contribute to its antitumor specificity. PMID: 16951202
- data demonstrate that cysteine 474 of OCT2 is exposed to the aqueous milieu of the cleft and contributes to forming a pathway for organic cation transport PMID: 16990275
- This study further suggests a function of OCT2 in blood pressure homeostasis and points to the potential role of the transporter in the development of essential hypertension. PMID: 17060063
- The results suggest that hOCT2 and hMATE1 mediate paraquat transport in the kidney. PMID: 17495125
顯示更多
收起更多
-
亞細胞定位:Membrane; Multi-pass membrane protein.
-
蛋白家族:Major facilitator (TC 2.A.1) superfamily, Organic cation transporter (TC 2.A.1.19) family
-
組織特異性:Mainly expressed in kidney. Localized at the luminal membrane and basolateral membrane of kidney distal tubule and proximal tubules. To a lower extent, expressed in neurons of the cerebral cortex and in various subcortical nuclei (at protein levels). Also
-
數據庫鏈接:
Most popular with customers
-
-
YWHAB Recombinant Monoclonal Antibody
Applications: ELISA, WB, IHC, IF, FC
Species Reactivity: Human, Mouse, Rat
-
Phospho-YAP1 (S127) Recombinant Monoclonal Antibody
Applications: ELISA, WB, IHC
Species Reactivity: Human
-
-
-
-
-















