SLC2A9 Antibody
-
中文名稱:SLC2A9兔多克隆抗體
-
貨號:CSB-PA873638LA01HU
-
規格:¥440
-
圖片:
-
Western Blot
Positive WB detected in: HepG2 whole cell lysate(20μg), PC-3 whole cell lysate(20μg)
All lanes: SLC2A9 antibody at 1:1000
Secondary
Goat polyclonal to rabbit IgG at 1/50000 dilution
Predicted band size: 56, 60 kDa
Observed band size: 56 kDa
Exposure time:120s -
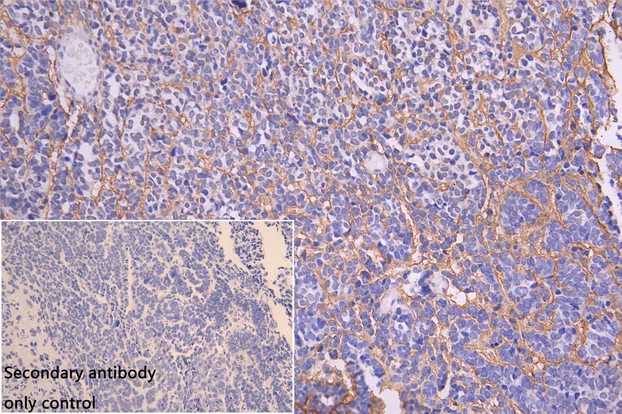
IHC image of CSB-PA873638LA01HU diluted at 1:300 and staining in paraffin-embedded human ovarian cancer performed on a Leica BondTM system. After dewaxing and hydration, antigen retrieval was mediated by high pressure in a citrate buffer (pH 6.0). Section was blocked with 10% normal goat serum 30min at RT. Then primary antibody (1% BSA) was incubated at 4°C overnight. The primary is detected by a Goat anti-rabbit polymer IgG labeled by HRP and visualized using 0.05% DAB. Secondary antibody only control: uses 1% BSA instead of primary antibody
-
IHC image of CSB-PA873638LA01HU diluted at 1:300 and staining in paraffin-embedded human kidney tissue performed on a Leica BondTM system. After dewaxing and hydration, antigen retrieval was mediated by high pressure in a citrate buffer (pH 6.0). Section was blocked with 10% normal goat serum 30min at RT. Then primary antibody (1% BSA) was incubated at 4°C overnight. The primary is detected by a Goat anti-rabbit polymer IgG labeled by HRP and visualized using 0.05% DAB. Secondary antibody only control: uses 1% BSA instead of primary antibody
-
-
其他:
產品詳情
-
產品描述:
A partial recombinant protein corresponding to 473-511 amino acids of human SLC2A9 protein is used as the immunogen to immunize the rabbit to produce the anti-SLC2A9 polyclonal antibody. The SLC2A9 antibody is available as the unconjugated IgG isoform and can react with human or mouse SLC2A9 protein. It is subjected to protein G purification and reaches up to 95% in purity. It can detect SLC2A9 protein in ELISA, WB, and IHC applications.
Its target protein SLC2A9 is a transmembrane transporter primarily responsible for regulating uric acid transport in the kidneys and other tissues. It plays an important role in maintaining the balance of uric acid in the body and preventing hyperuricemia and related health problems. Mutations in the SLC2A9 gene have been associated with various forms of hyperuricemia and gout.
-
產品名稱:Rabbit anti-Homo sapiens (Human) SLC2A9 Polyclonal antibody
-
Uniprot No.:
-
基因名:SLC2A9
-
別名:glucose transporter 9 antibody; Glucose transporter like protein 9 antibody; Glucose transporter type 9 antibody; GLUT 9 antibody; GLUT-9 antibody; GLUT9 antibody; GLUTX antibody; GTR9_HUMAN antibody; Human glucose transporter like protein 9 antibody; SLC2A9 antibody; Solute carrier family 2 (facilitated glucose transporter) member 9 antibody; Solute carrier family 2 facilitated glucose transporter member 9 antibody; Solute carrier family 2 member 9 antibody; Solute carrier family 2 member 9 protein antibody; Solute carrier family 2, facilitated glucose transporter member 9 antibody; UAQTL2 antibody; Urate voltage driven efflux transporter 1 antibody; URATv1 antibody
-
宿主:Rabbit
-
反應種屬:Human
-
免疫原:Recombinant Human Solute carrier family 2, facilitated glucose transporter member 9 protein (473-511AA)
-
免疫原種屬:Homo sapiens (Human)
-
標記方式:Non-conjugated
本頁面中的產品,SLC2A9 Antibody (CSB-PA873638LA01HU),的標記方式是Non-conjugated。對于SLC2A9 Antibody,我們還提供其他標記。見下表:
-
克隆類型:Polyclonal
-
抗體亞型:IgG
-
純化方式:>95%, Protein G purified
-
濃度:It differs from different batches. Please contact us to confirm it.
-
保存緩沖液:Preservative: 0.03% Proclin 300
Constituents: 50% Glycerol, 0.01M PBS, pH 7.4 -
產品提供形式:Liquid
-
應用范圍:ELISA, WB, IHC
-
推薦稀釋比:
Application Recommended Dilution WB 1:500-1:5000 IHC 1:20-1:200 -
Protocols:
-
儲存條件:Upon receipt, store at -20°C or -80°C. Avoid repeated freeze.
-
貨期:Basically, we can dispatch the products out in 1-3 working days after receiving your orders. Delivery time maybe differs from different purchasing way or location, please kindly consult your local distributors for specific delivery time.
-
用途:For Research Use Only. Not for use in diagnostic or therapeutic procedures.
相關產品
靶點詳情
-
功能:Urate transporter, which may play a role in the urate reabsorption by proximal tubules. Does not transport glucose, fructose or galactose.
-
基因功能參考文獻:
- Interaction analysis demonstrated that the following genotypes: MS4A14 DI+II, SLC2A DI+II and ABCB 5 CG+GG, were associated with a prothrombin time >/=12 sec and with Recurrent pregnancy loss (RPL) risk PMID: 29956771
- The study identifies the key residues for urate specific transport in human glucose transporter 9. The data data indicate that urate transport in human glucose transporter 9 involves several structural elements rather than just a unique substrate binding pocket. PMID: 28117388
- GLUT9 SNPs influence the renal handling of uric acid and modulate serum urate levels and the response to treatment in patients with uric acid overproduction due to Lesch-Nyhan disease. PMID: 29879316
- SLC2A9 non-synonymous variants rs2280205 and rs2276961 are not associated with gout in Cameroonians PMID: 29615104
- URAT1 and GLUT9 mutations in Spanish patients with renal hypouricemia PMID: 29486147
- SLC2A9/GLUT9 rs1172228 CC genotype in gout had significant associations with higher levels of serum uric acid, renal calculi and a positive family history of gout. PMID: 27456670
- Combined exposure to the four high-risk genotypes of ALPK1 and the uric-acid-related loci of ABCG2, SLC2A9, and SLC22A12 was associated with an increased gout risk and a high PPV for gout. PMID: 29215084
- This study demonstrated that reduced glucose transporter-1 in brain derived circulating endothelial cells in mild Alzheimer's disease patients. PMID: 29102777
- Immunoreactivity of GLUT9 was observed on the apical side of the cytoplasm of epithelial cells in the choroid plexus and in the cilia of ependymal cells of the human brain. PMID: 28870626
- genetic association studies in population in China: Data suggest that SNPs in SLC2A9 (rs11722228, rs3775948) and ABCG2 (rs2231142) are associated with diabetic kidney disease in subjects with type 2 diabetes in the population studied. (SLC2A9 = solute carrier family 2 member 9; ABCG2 = ATP binding cassette subfamily G member 2) PMID: 26993665
- This meta-analysis shows that the rs12510549, rs16890979, and rs1014290 polymorphisms of SLC2A9 protect against the development of gout in Caucasians and/or Asians. PMID: 27052299
- The results of the study confirmed the presence of GLUT-1, GLUT-4 and GLUT-9 proteins in the trophoblast from both, uncomplicated and diabetic pregnancies. In addition, insulin therapy may increase placental expression of GLUT-4 and GLUT-9, and partially GLUT-1, in women with pregestational and gestational diabetes mellitus. PMID: 27981520
- Meta-analysis. This study demonstrated that the genetic susceptibility for gout is associated with the SLC2A9 gene polymorphisms. Four of them except for the rs3733591 are protective SNPs in Caucasians, and rs16890979 and rs1014290 are protective SNPs in both Caucasians and Asians, while rs3733591 may be susceptibility SNP in Asians. PMID: 27255295
- Each A-allele of the SLC2A9 rs7442295 was associated with 9% higher plasma urate and hazard ratios of 1.07 (1.01-1.14) for cancer incidence and 1.07 (1.02-1.13) for all-cause mortality. PMID: 28428355
- The present proof-of-principle paper demonstrates that the multilocus profiles of ABCG2, SLC2A9 and SLC22A12 increase susceptibility to asymptomatic hyperuricaemia, gout and tophi. PMID: 27225847
- variant p.G72D associated with renal hypouricemia type 2 PMID: 26500098
- Immunostaining and highly-sensitive in situ hybridization was used to assess the distribution of UA transporters: GLUT9/URATv1, ABCG2, and URAT1. Immunostaining for GLUT9 was observed in ependymal cells, neurons, and brain capillaries. Immunostaining for ABCG2 was observed in the choroid plexus epithelium and brain capillaries, but not in ependymal cells. These results were validated by in situ hybridization. PMID: 27955673
- the exon 9 of SLC2A9 gene 109C/T polymorphism is not associated with HUA and diabetes PMID: 25476142
- Demonstrate a significant association between rs2231142 in the ABCG2 gene and gout and identified novel SNPs, c.881A>G and c.1002+78G>A, in the SLC2A9 gene that may be associated with gout in a Korean population. PMID: 26552468
- GLUT9 gene polymorphism predicts higher risk for cardiovascular diseases in patient diagnosed with hyperuricemia. PMID: 26607700
- These results indicate that five newly described SNPs in the hURAT1 gene are significantly associated with uric acid level (4-2008-0318 and 4-2011-0277). PMID: 26603249
- SLC2A9 was associated with a decreased risk of gout in men (HR = 0.67, 95% CI: 0.49-0.91) and women (HR = 0.54, 95% CI: 0.33-0.89. PMID: 26714568
- SLC2A9 and ZNF518B polymorphisms correlate with gout-related metabolic indices in Chinese Tibetan populations PMID: 26345926
- single nucleotide polymorphisms in the SLC2A9 gene influence SLC2A9 gene expression as well as urinary uric acid excretion. PMID: 26167684
- The SLC2A9 (rs7660895) and TOX (rs11777927) gene polymorphisms may be associated with formation of intracranial aneurysms, and rs7660895 may be associated with intracranial aneurysms rupture. PMID: 26125895
- Case Report: homozygous splice-site mutation in the SLC2A9 gene resulting in renal hypouricemia and recurrent exercise-induced acute renal failure and posterior reversible encephalopathy syndrome. PMID: 24643436
- SLC2A9 genetic mutation is involved in renal excretion of uric acid. PMID: 25889045
- Polymorphism in the GLUT9 gene, a major genetic regulator of serum uric acid levels, interacts with asymmetric dimethylarginine levels in predicting renal disease progression in chronic renal insufficiency patients. PMID: 25435339
- Case-control study with 1,146 coronary heart disease (CHD) Chinese cases; association between 2 uric acid related SNP rs11722228 in SLC2A9 and rs4148152 in ABCG2 and CHD risk analyzed; no association was observed between rs11722228 and CHD risk; Among subjects who did not consume alcohol, the G allele of rs4148152 showed a moderate protective effect. PMID: 25634581
- advances our understanding of how hSLC2A9 mediates urate and fructose transport, providing further information for developing pharmacological agents to treat hyperuricemia and related diseases, such as gout, hypertension, and diabetes PMID: 25922070
- protein expression of URAT1 and GLUT9 in renal tissues of patients with uric acid (UA) nephrolithiasis PMID: 24723238
- GLUT9 rs734553 polymorphism, which is strongly associated with serum uric acid levels in healthy individuals of the general population with normal renal function, holds a strong predictive power for chronic kidney disease progression. PMID: 24742479
- Single-nucleotide polymorphisms (SNP) rs2231137(C9T) and rs2231142 (C9A) of ABCG2 were found in this familial aggregation of Chinese female premenopausal gout. PMID: 25275768
- SLC2A9 SNPs are associated with serum uric acid levels in Chinese males and females. PMID: 25283508
- The surface expression, purification and isolation of monomeric protein, and functional analysis of recombinant hGLUT9, is reported. PMID: 25286413
- Genetic polymorphisms in the urate transporters SLC2A9, SLC22A12 and non-synonymous allelic variants of GLUT9 showed no evidence of the effect on hyperuricemia and gout in the Czech population. PMID: 25268603
- the p53-SLC2A9 pathway is a novel antioxidant mechanism that uses uric acid to maintain reactive oxygen species homeostasis and prevent accumulation of reactive oxygen species-associated damage that potentially contributes to cancer development. PMID: 24858040
- genetic variation in SLC2A9 is associated with serum uric acid concentrations, an important biomarker of renal and cardiovascular disease risk, in Hispanic children PMID: 25833971
- Gout with uric acid underexcretion is associated with transporter gene SNP related mainly to tubular reabsorption, whereas uric acid normoexcretion is associated only with tubular secretion SNP. PMID: 25128519
- Abundant local interactions in the 4p16.1 region suggest functional mechanisms underlying SLC2A9 associations with human serum uric acid. PMID: 24821702
- Placental GLUT-9 expression was not correlated with birthweight. PMID: 25132463
- tested the association between uric acid, the rs734555 polymorphism of the GLUT9 gene and arterial pressure in a family-based study including 449 individuals in a genetically homogenous population in Southern Italy PMID: 24805955
- Serum uric acid level was dose-dependently associated with the T allele of rs734553, a polymorphism in SLC2A9. PMID: 25301104
- hypouricemia patient with GLUT9 R380W, a pathogenic mutation of renal hypouricemia type 2 PMID: 24940677
- A strong association was found between SLC2A9 gene polymorphisms and SUA in all centers combined (P-values: 1.3 x 10(-31)-5.1 x 10(-23)) and also when stratified by recruitment center; P-values: 1.2 x 10(-14)-1.0 x 10(-5). PMID: 24301058
- ERbeta may affect the expression of Glut9 though autophagy PMID: 24972010
- The hazard ratio for progression to disability in Parkinson's disease patients increased with increasing SLCA9 score. PMID: 25257975
- When maternal environmental tobacco smoke was considered, fifteen of 135 single nucleotide polymorphism (SNPs) mapping to SLC2A9 and 9 of 59 SNPs in WDR1 gave P values approaching genome-wide significance. PMID: 24516586
- data suggest that nuclear receptor family member HNF4alpha contributes to the transcriptional regulation of SLC2A9 isoform 1 PMID: 25209865
- The gene-environment interaction data suggest that SLC2A9-mediated renal uric acid excretion is influenced by intake of simple sugars derived from sugar-sweetened beverages (SSB), with SSB exposure negating the gout risk discrimination of SLC2A9. PMID: 24026676
顯示更多
收起更多
-
相關疾病:Hypouricemia renal 2 (RHUC2)
-
亞細胞定位:[Isoform 1]: Basolateral cell membrane; Multi-pass membrane protein.; [Isoform 2]: Apical cell membrane; Multi-pass membrane protein. Basolateral cell membrane; Multi-pass membrane protein.
-
蛋白家族:Major facilitator superfamily, Sugar transporter (TC 2.A.1.1) family, Glucose transporter subfamily
-
組織特異性:Most strongly expressed in basolateral membranes of proximal renal tubular cells, liver and placenta. Also detected in lung, blood leukocytes, heart skeletal muscle and chondrocytes from articular cartilage. Isoform 2 is only detected in the apical membra
-
數據庫鏈接:
Most popular with customers
-
YWHAB Recombinant Monoclonal Antibody
Applications: ELISA, WB, IHC, IF, FC
Species Reactivity: Human, Mouse, Rat
-
Phospho-YAP1 (S127) Recombinant Monoclonal Antibody
Applications: ELISA, WB, IHC
Species Reactivity: Human
-
-
-
-
-
-















