-
中文名稱:SLC7A7兔多克隆抗體
-
貨號:CSB-PA892349LA01HU
-
規格:¥440
-
圖片:
-
Western Blot
Positive WB detected in: HT29 whole cell lysate(30μg), HepG2 whole cell lysate(30μg), 293 whole cell lysate(30μg), SY5Y whole cell lysate(30μg), A549 whole cell lysate(30μg), Mouse Heart tissue lysate(30μg), Mouse Kidney tissue lysate(30μg), Mouse Brain tissue lysate(30μg), Rat Brain tissue lysate(30μg)
All lanes: SLC7A7 antibody at 1:1000
Secondary
Goat polyclonal to rabbit IgG at 1/20000 dilution
Predicted band size: 56 kDa
Observed band size: 56 kDa
Exposure time: 120s -
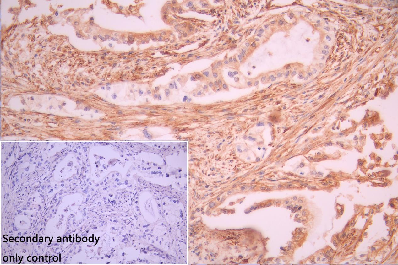
IHC image of CSB-PA892349LA01HU diluted at 1:100 and staining in paraffin-embedded human pancreatic cancer performed on a Leica BondTM system. After dewaxing and hydration, antigen retrieval was mediated by high pressure in a citrate buffer (pH 6.0). Section was blocked with 10% normal goat serum 30min at RT. Then primary antibody (1% BSA) was incubated at 4°C overnight. The primary is detected by a Goat anti-rabbit polymer IgG labeled by HRP and visualized using 0.05% DAB. Secondary antibody only control: uses 1% BSA instead of primary antibody
-
-
其他:
產品詳情
-
產品描述:
The anti-SLC7A7 polyclonal antibody produced by CUSABIO is generated by immunizing rabbits with a truncated recombinant protein consisting of 325-382 amino acids of the human SLC7A7 protein. This unconjugated IgG isoform antibody has a purity of over 95% using protein G affinity chromatography purified.
This SLC7A7 antibody is reactive to human and mouse samples and has been validated for use in ELISA, WB, IHC, and IF applications. The target protein SLC7A7, also known as cationic amino acid transporter 1 (CAT-1), is responsible for the transport of cationic amino acids such as arginine, lysine, and ornithine into cells, which is crucial for various biological processes and maintaining overall health.
-
產品名稱:Rabbit anti-Homo sapiens (Human) SLC7A7 Polyclonal antibody
-
Uniprot No.:
-
基因名:SLC7A7
-
別名:LAT3 antibody; LPI antibody; Monocyte amino acid permease 2 antibody; MOP-2 antibody; MOP2 antibody; SLC7A 7 antibody; Slc7a7 antibody; Solute carrier family 7 (cationic amino acid transporter; y+ system); member 7 antibody; Solute carrier family 7 member 7 antibody; y(+)L type amino acid transporter 1 antibody; y(+)L-type amino acid transporter 1 antibody; Y+L amino acid transporter 1 antibody; y+LAT-1 antibody; Y+LAT1 antibody; YLAT1_HUMAN antibody
-
宿主:Rabbit
-
反應種屬:Human, Mouse, Rat
-
免疫原:Synthesized peptide derived from human YLAT1
-
免疫原種屬:Homo sapiens (Human)
-
克隆類型:Polyclonal
-
抗體亞型:IgG
-
純化方式:Antigen?affinity?purification
-
濃度:It differs from different batches. Please contact us to confirm it.
-
保存緩沖液:Liquid in PBS containing 50% glycerol, 0.5% BSA and 0.02% sodium azide.
-
產品提供形式:Liquid
-
應用范圍:ELISA, WB, IHC
-
推薦稀釋比:
Application Recommended Dilution WB 1:500-1:2000 IHC 1:100-1:300 -
Protocols:
-
儲存條件:Upon receipt, store at -20°C or -80°C. Avoid repeated freeze.
-
貨期:Basically, we can dispatch the products out in 1-3 working days after receiving your orders. Delivery time maybe differs from different purchasing way or location, please kindly consult your local distributors for specific delivery time.
-
用途:For Research Use Only. Not for use in diagnostic or therapeutic procedures.
引用文獻
- Single‐Cell Transcriptomic Analysis Identifies a Novel OLR1+ SLC7A7+ Liver‐Enriched Metastatic Subset With Immunometabolic Rewiring in Pancreatic Cancer X Yang, X Chen, Z Wang, Y Liu, H Hu, Q Wu,Cancer Medicine,2025
相關產品
靶點詳情
-
功能:Involved in the sodium-independent uptake of dibasic amino acids and sodium-dependent uptake of some neutral amino acids. Requires coexpression with SLC3A2/4F2hc to mediate the uptake of arginine, leucine and glutamine. Plays a role in nitric oxide synthesis in human umbilical vein endothelial cells (HUVECs) via transport of L-arginine. Involved in the transport of L-arginine in monocytes.
-
基因功能參考文獻:
- SLC7A7 overexpression decreased the apoptosis rate, increased the proportion of cells in the G1 phase, decreased the proportion of G2 cells, and significantly increased cell migration and invasion and increased intracellular arginine would activate mTOR, and induce apoptosis in SLC7A7 knockdown Jurkat cells. PMID: 30025393
- Confirmed by mRNA and protein expression, the amino acid transporters SLC7A7 and SLC38A5 showed marked differences between controls and intrauterine growth restriction/pre-eclampsia and were regulated by both diseases. In contrast, ABCA1 may play an exclusive role in the development of pre-eclempsia. PMID: 29499643
- At present, 51 kinds of SLC7A7 gene mutations causing lysinuric protein intolerance have been found worldwide, including insert (C.1384-1385 ins ACTA), delete (C.1185-1188 del TTCT) and point mutations (P.R410X, P.Y457X, P.R 468X, P.L124p, etc).3, 4 In our cases, there were two heterozygous mutations in the SLC7A7 gene of the two sisters: C.1387 del C and IVS4+1C>T, which has never been reported worldwide. PMID: 29058386
- The study reports a significant association between SLC7A7 rs12436190 and the risk of glioma in a Chinese population. PMID: 28510245
- the 1471 delTTCT mutation was identified in exon 9 in the homozygous state for all Tunisian patients with lysinuric protein Intolerance; The 1471 deITTCT mutation seems to be a common mutation of Tunisian population PMID: 26882824
- heteromerization of y+LAT1 and 4F2hc within the cell is not disrupted by any of the tested LPI mutations PMID: 23940088
- SLC7A7 genetic variants are associated with increase risk for glioma in a Chinese population. PMID: 23975734
- SLC7A7 plays a critical role in glioblastoma carcinogenesis and overexpression of SLC7A7 is correlated with worse outcomes in patients PMID: 23408368
- SLC7A7/y+LAT1 mutations lead to a defective phenotype of macrophages resulting in lysinuric Protein Intolerance. PMID: 22325938
- during differentiation of human monocytes from peripheral blood, SLC7A7 mRNA and system y(+)L activity are increased PMID: 21586674
- novel SLC7A7 mutations in patients with lysinuric protein intolerance PMID: 12402335
- expression levels and putative 5' promoter elements of the SLC7A7 gene PMID: 12589791
- putative multiheteromeric structure of both [4F2hc/y(+)LAT-1] and [4F2hc/y(+)LAT-2], and the interference between y(+)LAT-1 and y(+)LAT-2 proteins may have a role in the pathogenesis of lysinuric protein intolerance PMID: 15756301
- mutations of the SLC7A7 gene may have a role in lysinuric protein intolerance PMID: 15776427
- identified a novel alternative, TATA-box-containing promoter that plays a role in the tissue-specific regulation of SLC7A7 gene expression PMID: 17196863
- Mutation in the SLC7A7 gene is associated with lysinuric protein intolerance PMID: 17666782
- A review of the current knowledge of SLC7A7 mutations and their role in LPI pathogenesis. PMID: 17764084
- results suggest genomic rearrangement of SLC7A7 play more important role in lysinuric protein intolerance than has been reported; 3' region AluY repeat could be a recombination hot spot as it is involved in 38% of SLC7A7 rearranged chromosomes described PMID: 18716612
顯示更多
收起更多
-
相關疾病:Lysinuric protein intolerance (LPI)
-
亞細胞定位:Basolateral cell membrane; Multi-pass membrane protein.
-
蛋白家族:Amino acid-polyamine-organocation (APC) superfamily, L-type amino acid transporter (LAT) (TC 2.A.3.8) family
-
組織特異性:Highest expression in kidney and peripheral blood leukocytes. Weaker expression is observed in lung, heart, placenta, spleen, testis and small intestine. Expressed in normal fibroblasts and those from LPI patients. Also expressed in HUVECs, monocytes, ret
-
數據庫鏈接:
Most popular with customers
-
-
YWHAB Recombinant Monoclonal Antibody
Applications: ELISA, WB, IHC, IF, FC
Species Reactivity: Human, Mouse, Rat
-
Phospho-YAP1 (S127) Recombinant Monoclonal Antibody
Applications: ELISA, WB, IHC
Species Reactivity: Human
-
-
-
-
-















