SMARCC2 Antibody
-
中文名稱:SMARCC2兔多克隆抗體
-
貨號:CSB-PA851527ESR2HU
-
規格:¥440
-
圖片:
-
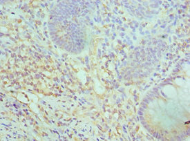
Immunohistochemistry of paraffin-embedded human colon cancer using CSB-PA851527ESR2HU at dilution of 1:100
-
Immunohistochemistry of paraffin-embedded human epityphlon tissue using CSB-PA851527ESR2HU at dilution of 1:100
-
Chromatin Immunoprecipitation Hela (1.1*106) were cross-linked with formaldehyde, sonicated, and immunoprecipitated with 4μg anti-SMARCC2 or a control normal rabbit IgG. The resulting ChIP DNA was quantified using real-time PCR with primers (CSB-PP851527HU) against the ESR1 pS2 promoter.
-
-
其他:
產品詳情
-
產品名稱:Rabbit anti-Homo sapiens (Human) SMARCC2 Polyclonal antibody
-
Uniprot No.:
-
基因名:SMARCC2
-
別名:BAF 170 antibody; BAF170 antibody; BRG1 associated factor 170 antibody; BRG1-associated factor 170 antibody; Chromatin remodeling complex BAF170 subunit antibody; CRACC 2 antibody; CRACC2 antibody; Mammalian chromatin remodeling complex BRG1 associated factor 170 antibody; Rsc 8 antibody; Rsc8 antibody; SMARCC 2 antibody; Smarcc2 antibody; SMRC2_HUMAN antibody; SWI/SNF complex 170 kDa subunit antibody; SWI/SNF complex subunit SMARCC2 antibody; SWI/SNF related matrix associated actin dependent regulator of chromatin c2 antibody; SWI/SNF related matrix associated actin dependent regulator of chromatin subfamily c member 2 antibody; SWI/SNF-related matrix-associated actin-dependent regulator of chromatin subfamily C member 2 antibody; SWI3 like protein antibody
-
宿主:Rabbit
-
反應種屬:Human
-
免疫原:Recombinant Human SWI/SNF complex subunit SMARCC2 protein (300-650AA)
-
免疫原種屬:Homo sapiens (Human)
-
標記方式:Non-conjugated
-
克隆類型:Polyclonal
-
抗體亞型:IgG
-
純化方式:Antigen Affinity Purified
-
濃度:It differs from different batches. Please contact us to confirm it.
-
保存緩沖液:PBS with 0.02% sodium azide, 50% glycerol, pH7.3.
-
產品提供形式:Liquid
-
應用范圍:ELISA, IHC, ChIP
-
推薦稀釋比:
Application Recommended Dilution IHC 1:20-1:200 -
Protocols:
-
儲存條件:Upon receipt, store at -20°C or -80°C. Avoid repeated freeze.
-
貨期:Basically, we can dispatch the products out in 1-3 working days after receiving your orders. Delivery time maybe differs from different purchasing way or location, please kindly consult your local distributors for specific delivery time.
-
用途:For Research Use Only. Not for use in diagnostic or therapeutic procedures.
相關產品
靶點詳情
-
功能:Involved in transcriptional activation and repression of select genes by chromatin remodeling (alteration of DNA-nucleosome topology). Component of SWI/SNF chromatin remodeling complexes that carry out key enzymatic activities, changing chromatin structure by altering DNA-histone contacts within a nucleosome in an ATP-dependent manner. Can stimulate the ATPase activity of the catalytic subunit of these complexes. May be required for CoREST dependent repression of neuronal specific gene promoters in non-neuronal cells. Belongs to the neural progenitors-specific chromatin remodeling complex (npBAF complex) and the neuron-specific chromatin remodeling complex (nBAF complex). During neural development a switch from a stem/progenitor to a postmitotic chromatin remodeling mechanism occurs as neurons exit the cell cycle and become committed to their adult state. The transition from proliferating neural stem/progenitor cells to postmitotic neurons requires a switch in subunit composition of the npBAF and nBAF complexes. As neural progenitors exit mitosis and differentiate into neurons, npBAF complexes which contain ACTL6A/BAF53A and PHF10/BAF45A, are exchanged for homologous alternative ACTL6B/BAF53B and DPF1/BAF45B or DPF3/BAF45C subunits in neuron-specific complexes (nBAF). The npBAF complex is essential for the self-renewal/proliferative capacity of the multipotent neural stem cells. The nBAF complex along with CREST plays a role regulating the activity of genes essential for dendrite growth. Critical regulator of myeloid differentiation, controlling granulocytopoiesis and the expression of genes involved in neutrophil granule formation.
-
基因功能參考文獻:
- BAF170 is important for neurogenesis in embryonic olfactory epithelium. PMID: 27611684
- Identification of frameshift mutations in the SMARCC2 gene in gastric and colorectal cancers with microsatellite instability. PMID: 23030715
- study finds Baf53 and Baf170 are highly regulated in HIV-1-infected cells PMID: 21699904
-
亞細胞定位:Nucleus.
-
蛋白家族:SMARCC family
-
組織特異性:Ubiquitously expressed.
-
數據庫鏈接:
Most popular with customers
-
YWHAB Recombinant Monoclonal Antibody
Applications: ELISA, WB, IHC, IF, FC
Species Reactivity: Human, Mouse, Rat
-
Phospho-YAP1 (S127) Recombinant Monoclonal Antibody
Applications: ELISA, WB, IHC
Species Reactivity: Human
-
-
-
-
-
-















