SNCG Antibody
-
中文名稱:SNCG兔多克隆抗體
-
貨號:CSB-PA021915HA01HU
-
規格:¥440
-
圖片:
-
Western blot
All lanes: SNCG antibody at 16µg/ml
Lane 1: HT29 whole cell lysate
Lane 2: Mouse brain tissue
Lane 3: 293T whole cell lysate
Secondary
Goat polyclonal to rabbit IgG at 1/10000 dilution
Predicted band size: 14 kDa
Observed band size: 14 kDa -
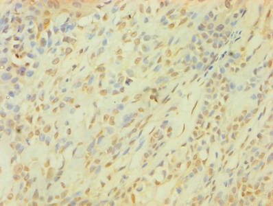
Immunohistochemistry of paraffin-embedded human ovarian cancer using CSB-PA021915HA01HU at dilution of 1:100
-
Immunohistochemistry of paraffin-embedded human breast cancer using CSB-PA021915HA01HU at dilution of 1:100
-
-
其他:
產品詳情
-
產品名稱:Rabbit anti-Homo sapiens (Human) SNCG Polyclonal antibody
-
Uniprot No.:
-
基因名:SNCG
-
別名:BCSG1 antibody; Breast cancer specific gene 1 protein antibody; Breast cancer specific protein 1 antibody; Breast cancer-specific gene 1 protein antibody; Gamma synuclein antibody; Gamma-synuclein antibody; Persyn antibody; PRSN antibody; SNCG antibody; SR antibody; Synoretin antibody; Synuclein gamma antibody; synuclein, gamma (breast cancer-specific protein 1) antibody; SYUG_HUMAN antibody
-
宿主:Rabbit
-
反應種屬:Human, Mouse
-
免疫原:Recombinant Human Gamma-synuclein protein (1-127AA)
-
免疫原種屬:Homo sapiens (Human)
-
標記方式:Non-conjugated
本頁面中的產品,SNCG Antibody (CSB-PA021915HA01HU),的標記方式是Non-conjugated。對于SNCG Antibody,我們還提供其他標記。見下表:
-
克隆類型:Polyclonal
-
抗體亞型:IgG
-
純化方式:>95%, Protein G purified
-
濃度:It differs from different batches. Please contact us to confirm it.
-
保存緩沖液:Preservative: 0.03% Proclin 300
Constituents: 50% Glycerol, 0.01M PBS, PH 7.4 -
產品提供形式:Liquid
-
應用范圍:ELISA, WB, IHC
-
推薦稀釋比:
Application Recommended Dilution WB 1:1000-1:5000 IHC 1:20-1:200 -
Protocols:
-
儲存條件:Upon receipt, store at -20°C or -80°C. Avoid repeated freeze.
-
貨期:Basically, we can dispatch the products out in 1-3 working days after receiving your orders. Delivery time maybe differs from different purchasing way or location, please kindly consult your local distributors for specific delivery time.
-
用途:For Research Use Only. Not for use in diagnostic or therapeutic procedures.
相關產品
靶點詳情
-
功能:Plays a role in neurofilament network integrity. May be involved in modulating axonal architecture during development and in the adult. In vitro, increases the susceptibility of neurofilament-H to calcium-dependent proteases. May also function in modulating the keratin network in skin. Activates the MAPK and Elk-1 signal transduction pathway.
-
基因功能參考文獻:
- LncRNA-AK058003 can reduce the expression of mRNA stabilizing protein HuR and act as a precursor of miR-15a to suppress gamma-synuclein-mediated cell proliferation and the metastasis of hepatocellular carcinoma. PMID: 28035067
- Results demonstrated that urine SNCG can discriminate bladder cancer from urinary diseases, and is a useful prognosticator of postsurgical recurrence. PMID: 27223068
- A positive SNCG may serve as a potential marker to identify breast cancer patients who are less likely to benefit from radiotherapy PMID: 27595752
- This largest collection of USCs to date demonstrates that SNCG was associated with poor survival in univariate analyses. SNCG does not predict survival outcome independent of p53 and p16 in models that jointly consider multiple markers. PMID: 27926776
- SNCG expression in ovarian cancer is frequent in patients with high-risk features, but it does not correlate with chemotherapy response, overall survival, or progression-free survival. PMID: 27809878
- High synoretin expression is associated with non-small cell lung cancer. PMID: 27655287
- Study shows an overexpression of SNCG in bladder cancer (BC) tissues which correlates positively with neoplasm recurrence. SNCG seems a good marker to predict recurrence of BC, but not a reliable one for staging or prediction of survival rate. PMID: 26976983
- down-regulation of gamma-synuclein reduces the protein level of PLCbeta but increases the transcript level over 40 fold PMID: 26521046
- the conformational dynamics of ERalpha36 in the absence and presence of Hsp90 and gammaSyn, is reported. PMID: 26299756
- SNCG may promote MCF7 cell migration through activating the Erk pathway and breaking cell-cell junctions. PMID: 25997706
- Data suggest that both BubR1 and SNCG may be promising predictive marker rather than prognostic marker in patients with breast cancer. PMID: 26191236
- High gamma-Synuclein expression is associated with invasiveness in colon adenocarcinoma. PMID: 25956278
- Synuclein-gamma shares some, but not all, gene regulators with leptin and is a PPARgamma target in adipocytes but not dorsal root ganglia neurons. PMID: 25756178
- These results advance our understanding of the role of lncRNA-AK058003 as a regulator of hypoxia signaling, and this newly identified hypoxia/lncRNA-AK058003/SNCG pathway may help in the development of new therapeutics. PMID: 25499222
- SNCG is highly expressed in bladder cancer tissue and its expression is stage-specific, but it is not helpful for predicting outcome in bladder cancer patients. PMID: 25479371
- Results indicate that SNCG specifically interacts with Akt and mTOR and protects Akt/mTOR stability and function under stressful conditions when the activity of Hsp90 is blocked. PMID: 24954510
- SNCG, MAP2, SDF-1 and CXCR4 may play an important role in the carcinogenesis, progression, invasion and metastasis of gastric adenocarcinoma. PMID: 25400739
- Our results are the first to suggest that SNCG is a new independent predictor for poor prognosis in EC patients in the literature. PMID: 25142230
- SNCG is actively secreted by cancer cells via an unconventional secretion pathway and contributes to aggressive phenotypes of cancer cells. PMID: 25229320
- These data show that SNCG renders AMD resistance by inhibiting BubR1 activity and attenuating SAC function. PMID: 24431077
- even though purified gamma-synuclein form oligomers, when binding partners are present, as in cells, it dissociates to a monomer to bind these partners, which in turn may modify protein function and integrity PMID: 24367999
- Data indicate that micro-RNAs might provide cell-specific regulation of gamma-synuclein expression. PMID: 24040069
- SNCG expression indicates a much poorer prognosis of TNBC. PMID: 23696021
- These results provide strong evidence that suggests gamma-synuclein plays a positive role in the progression of colorectal cancer. PMID: 23970348
- Gamma-synuclein expression was an independent predictor of the neoadjuvant chemotherapy objective response rate. PMID: 23696593
- Serum synuclein-gamma provided a promising diagnostic biomarker for early detection and was a complementary biomarker of carcinoembryonic antigen and/or CA19-9 in gastrointestinal and esophageal cancer. PMID: 22440249
- Compared to controls there were lower levels of gamma synuclein in the visual cortex from dementia with Lewy bodies patients. PMID: 23242284
- gamma-synuclein has a role in promoting a more robust G protein Galphaq activation of PLCbeta2 PMID: 22905097
- Thermodynamic studies in conjunction with EPR confirm that alpha-synuclein, beta-synuclein, and gamma-synuclein bind copper(II) in a high affinity 1:1 stoichiometry. PMID: 21117662
- SNCG can serve as a marker for the potential of the tumor cell for the rapid spreading and metastazing of the non-differentiated tumors. PMID: 22294286
- SNCG biomarker has independently poor prognostic value for patients with lymph node metastasis. PMID: 22261620
- Data from our in vivo study showed a decrease in tumor growth and weight in mice injected with SNCG-silenced NOZ cells. Together, these findings suggest that SNCG plays an important role in the progression of GBC PMID: 22201822
- Overexpression of SNCG seemed to be a predictor biomarker for aggressive tumor behavior and adverse outcome in patients with endometrial cancer. PMID: 22015044
- gamma-synuclein is a promising new adjunct marker for identifying reactive follicular dendritic cells and for diagnosing follicular dendritic cell sarcoma and benign and malignant vascular tumors. PMID: 21959308
- SNCG shRNA effectively suppressed breast cancer cell formation in vivo and may be a useful clinical strategy to control breast cancer. PMID: 21740810
- SNCG interacts only with the 18kDa region of Hsp70 substrate binding domain and the TPR motif of BubR1. Based on the interactions of SNCG with N-BubR1 and ANK peptide, the common residues of SNCG that mediate these interactions were identified. PMID: 20437261
- The upregulation of gamma-synuclein expression in colorectal cancer is primarily attributed to the demethylation of CpG islands. PMID: 20577925
- SNCG overexpression is associated with colon cancer. PMID: 20604972
- Results indicate that ER-alpha36 is a new member of the ER-alpha family that mediates membrane-initiated estrogen signaling and that synuclein gamma can replace the function of heat shock protein 90. PMID: 20595634
- The reciprocal regulation of gamma-synuclein and IGF-I receptor expression creates a circuit that modulates IGF-I signaling. PMID: 20670935
- members of the synuclein gene family, particularly SNCA and SNCG, affect the risk of developing diffuse lewy body disease. PMID: 20697047
- Gamma-synuclein protein is valuable for evaluation of progression of colorectal carcinoma; it is more sensitive to predict advanced stage and lymph node invasion when combined with either alpha- or beta-synuclein protein. PMID: 20043104
- gamma-synuclein may play a positive role in the progression of colorectal cancer PMID: 19859996
- Biophysical properties of the synucleins and their propensities to fibrillate: inhibition of alpha-synuclein assembly by beta- and gamma-synucleins PMID: 11812782
- strong evidence that AP1 plays an overriding role in the transcription of the BCSG1 gene and that blockade of AP1 transactivation down-regulates BCSG1 expression and suppresses tumor phenotype PMID: 12072430
- role in promoting cancer cell survival and inhibition of stress- and chemotherapy drug-induced apoptosis by modulating MAPK pathways PMID: 12121974
- data demonstrated a moderate elevation of matrix metalloproteinases-2 and significant upregulation of matrix metalloproteinases-9 in stable cell lines overexpressing gamma-synuclein PMID: 12559990
- Hypomethylation of the synuclein gamma gene CpG island promotes its aberrant expression in breast carcinoma and ovarian carcinoma. PMID: 12566312
- In high-grade glial tumors. Found in all anaplastic ependymomas but in only 33% of ependymomas and 16% of myxopapillary ependymomas. In 63% of glioblastomas but not in other astrocytic tumors. No gamma-synuclein in medulloblastomas. PMID: 12783249
- SNCG is required for efficient ER-alpha signaling in brest cancer. PMID: 12873981
顯示更多
收起更多
-
亞細胞定位:Cytoplasm, perinuclear region. Cytoplasm, cytoskeleton, microtubule organizing center, centrosome. Cytoplasm, cytoskeleton, spindle. Note=Associated with centrosomes in several interphase cells. In mitotic cells, localized to the poles of the spindle.
-
蛋白家族:Synuclein family
-
組織特異性:Highly expressed in brain, particularly in the substantia nigra. Also expressed in the corpus callosum, heart, skeletal muscle, ovary, testis, colon and spleen. Weak expression in pancreas, kidney and lung.
-
數據庫鏈接:
Most popular with customers
-
-
YWHAB Recombinant Monoclonal Antibody
Applications: ELISA, WB, IHC, IF, FC
Species Reactivity: Human, Mouse, Rat
-
Phospho-YAP1 (S127) Recombinant Monoclonal Antibody
Applications: ELISA, WB, IHC
Species Reactivity: Human
-
-
-
-
-















