SNX32 Antibody
-
中文名稱:SNX32兔多克隆抗體
-
貨號:CSB-PA803143ESR1HU
-
規格:¥440
-
圖片:
-
Western blot
All lanes: SNX32 antibody at 6.48μg/ml
Lane 1: Mouse brain tissue
Lane 2: Rat brain tissue
Lane 3: Mouse liver tissue
Lane 4: Mouse stomach tissue
Lane 5: Mouse lung tissue
Lane 6: Mouse kidney tissue
Secondary
Goat polyclonal to rabbit IgG at 1/10000 dilution
Predicted band size: 47, 32 kDa
Observed band size: 47 kDa -
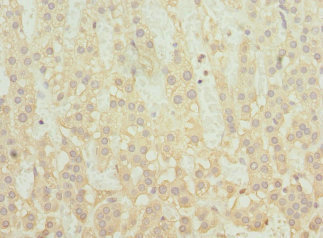
Immunohistochemistry of paraffin-embedded human adrenal gland tissue using CSB-PA803143ESR1HU at dilution of 1:100
-
Immunohistochemistry of paraffin-embedded human thymus tissue using CSB-PA803143ESR1HU at dilution of 1:100
-
-
其他:
產品詳情
-
產品名稱:Rabbit anti-Homo sapiens (Human) SNX32 Polyclonal antibody
-
Uniprot No.:
-
基因名:
-
別名:DKFZp761P1320 antibody; FLJ30934 antibody; MGC42112 antibody; MGC57276 antibody; Snx32 antibody; SNX32_HUMAN antibody; SNX6B antibody; Sortin nexin 32 antibody; Sortin nexin 6B antibody; Sorting nexin-32 antibody; Sorting nexin-6B antibody
-
宿主:Rabbit
-
反應種屬:Human, Mouse, Rat
-
免疫原:Recombinant Human Sorting nexin-32 protein (144-403AA)
-
免疫原種屬:Homo sapiens (Human)
-
標記方式:Non-conjugated
-
克隆類型:Polyclonal
-
抗體亞型:IgG
-
純化方式:Antigen Affinity Purified
-
濃度:It differs from different batches. Please contact us to confirm it.
-
保存緩沖液:PBS with 0.02% sodium azide, 50% glycerol, pH7.3.
-
產品提供形式:Liquid
-
應用范圍:ELISA, WB, IHC
-
推薦稀釋比:
Application Recommended Dilution WB 1:1000-1:5000 IHC 1:20-1:200 -
Protocols:
-
儲存條件:Upon receipt, store at -20°C or -80°C. Avoid repeated freeze.
-
貨期:Basically, we can dispatch the products out in 1-3 working days after receiving your orders. Delivery time maybe differs from different purchasing way or location, please kindly consult your local distributors for specific delivery time.
-
用途:For Research Use Only. Not for use in diagnostic or therapeutic procedures.
相關產品
靶點詳情
-
功能:May be involved in several stages of intracellular trafficking.
-
蛋白家族:Sorting nexin family
-
數據庫鏈接:
Most popular with customers
-
-
YWHAB Recombinant Monoclonal Antibody
Applications: ELISA, WB, IHC, IF, FC
Species Reactivity: Human, Mouse, Rat
-
Phospho-YAP1 (S127) Recombinant Monoclonal Antibody
Applications: ELISA, WB, IHC
Species Reactivity: Human
-
-
-
-
-















