SNX33 Antibody
-
中文名稱:SNX33兔多克隆抗體
-
貨號:CSB-PA129980
-
規格:¥1100
-
圖片:
-
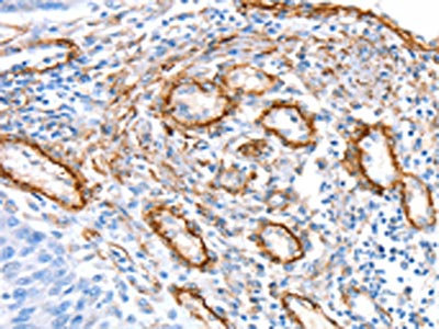
The image on the left is immunohistochemistry of paraffin-embedded Human ovarian cancer tissue using CSB-PA129980(SNX33 Antibody) at dilution 1/25, on the right is treated with synthetic peptide. (Original magnification: ×200)
-
The image on the left is immunohistochemistry of paraffin-embedded Human lung cancer tissue using CSB-PA129980(SNX33 Antibody) at dilution 1/25, on the right is treated with synthetic peptide. (Original magnification: ×200)
-
-
其他:
產品詳情
-
Uniprot No.:
-
基因名:SNX33
-
別名:MGC32065 antibody; SH3 and PX domain containing 3 antibody; SH3 and PX domain containing protein 3 antibody; SH3 and PX domain-containing protein 3 antibody; SH3PX3 antibody; SH3PXD3C antibody; SNX 30 antibody; SNX 33 antibody; SNX30 antibody; snx33 antibody; SNX33_HUMAN antibody; Sorting nexin 33 antibody; Sorting nexin-33 antibody
-
宿主:Rabbit
-
反應種屬:Human,Mouse
-
免疫原:Synthetic peptide of Human SNX33
-
免疫原種屬:Homo sapiens (Human)
-
標記方式:Non-conjugated
-
抗體亞型:IgG
-
純化方式:Antigen affinity purification
-
濃度:It differs from different batches. Please contact us to confirm it.
-
保存緩沖液:-20°C, pH7.4 PBS, 0.05% NaN3, 40% Glycerol
-
產品提供形式:Liquid
-
應用范圍:ELISA,IHC
-
推薦稀釋比:
Application Recommended Dilution ELISA 1:1000-1:2000 IHC 1:25-1:100 -
Protocols:
-
儲存條件:Upon receipt, store at -20°C or -80°C. Avoid repeated freeze.
-
貨期:Basically, we can dispatch the products out in 1-3 working days after receiving your orders. Delivery time maybe differs from different purchasing way or location, please kindly consult your local distributors for specific delivery time.
-
用途:For Research Use Only. Not for use in diagnostic or therapeutic procedures.
相關產品
靶點詳情
-
功能:Plays a role in the reorganization of the cytoskeleton, endocytosis and cellular vesicle trafficking via its interactions with membranes, WASL, DNM1 and DNM2. Acts both during interphase and at the end of mitotic cell divisions. Required for efficient progress through mitosis and cytokinesis. Required for normal formation of the cleavage furrow at the end of mitosis. Modulates endocytosis of cell-surface proteins, such as APP and PRNP; this then modulates the secretion of APP and PRNP peptides. Promotes membrane tubulation (in vitro). May promote the formation of macropinosomes.
-
基因功能參考文獻:
- The sorting nexin 9 (SNX9) subfamily members - SNX9, SNX18 and SNX33 - are required for progression and completion of mitosis. PMID: 22718350
- study identifies critical amino acids within the BAR domains of SNX9 and SNX33 as determinants for the specificity of BAR domain-mediated interactions and suggests that SNX9 and SNX33 have distinct molecular functions. PMID: 20964629
- Alternative splicing of ADAM15 regulates its interactions with cellular SH3 proteins SNX33 and nephrocystin PMID: 19718658
- identifies SNX33 as a new endocytic protein, which modulates amyloid precursor protein endocytosis and APP alpha-secretase cleavage, and demonstrates that the rate of APP endocytosis is a major control factor for APP alpha-secretase cleavage PMID: 18353773
- SNX33 interferes with cellular PrP formation by modulation of PrP shedding PMID: 18419754
- SNX33 plays a role in maintaining cell shape and cell cycle progression through its interaction with WASp PMID: 19487689
顯示更多
收起更多
-
亞細胞定位:Cytoplasm, cytosol. Membrane; Peripheral membrane protein; Cytoplasmic side. Cytoplasmic vesicle membrane; Peripheral membrane protein; Cytoplasmic side.
-
蛋白家族:Sorting nexin family
-
組織特異性:Detected in heart and pancreas.
-
數據庫鏈接:
Most popular with customers
-
-
YWHAB Recombinant Monoclonal Antibody
Applications: ELISA, WB, IHC, IF, FC
Species Reactivity: Human, Mouse, Rat
-
Phospho-YAP1 (S127) Recombinant Monoclonal Antibody
Applications: ELISA, WB, IHC
Species Reactivity: Human
-
-
-
-
-















