SPIRE2 Antibody
-
中文名稱:SPIRE2兔多克隆抗體
-
貨號:CSB-PA855490LA01HU
-
規格:¥440
-
圖片:
-
Immunohistochemistry of paraffin-embedded human kidney tissue using CSB-PA855490LA01HU at dilution of 1:100
-
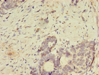
Immunohistochemistry of paraffin-embedded human gastric cancer using CSB-PA855490LA01HU at dilution of 1:100
-
Immunofluorescent analysis of MCF-7 cells using CSB-PA855490LA01HU at dilution of 1:100 and Alexa Fluor 488-congugated AffiniPure Goat Anti-Rabbit IgG(H+L)
-
-
其他:
產品詳情
-
產品名稱:Rabbit anti-Homo sapiens (Human) SPIRE2 Polyclonal antibody
-
Uniprot No.:
-
基因名:SPIRE2
-
別名:MGC117166 antibody; Protein spire homolog 2 antibody; Spir-2 antibody; SPIR2_HUMAN antibody; Spire homolog 2 (Drosophila) antibody; SPIRE2 antibody
-
宿主:Rabbit
-
反應種屬:Human
-
免疫原:Recombinant Human Protein spire homolog 2 protein (79-388AA)
-
免疫原種屬:Homo sapiens (Human)
-
標記方式:Non-conjugated
本頁面中的產品,SPIRE2 Antibody (CSB-PA855490LA01HU),的標記方式是Non-conjugated。對于SPIRE2 Antibody,我們還提供其他標記。見下表:
-
克隆類型:Polyclonal
-
抗體亞型:IgG
-
純化方式:>95%, Protein G purified
-
濃度:It differs from different batches. Please contact us to confirm it.
-
保存緩沖液:Preservative: 0.03% Proclin 300
Constituents: 50% Glycerol, 0.01M PBS, PH 7.4 -
產品提供形式:Liquid
-
應用范圍:ELISA, IHC, IF
-
推薦稀釋比:
Application Recommended Dilution IHC 1:20-1:200 IF 1:50-1:200 -
Protocols:
-
儲存條件:Upon receipt, store at -20°C or -80°C. Avoid repeated freeze.
-
貨期:Basically, we can dispatch the products out in 1-3 working days after receiving your orders. Delivery time maybe differs from different purchasing way or location, please kindly consult your local distributors for specific delivery time.
-
用途:For Research Use Only. Not for use in diagnostic or therapeutic procedures.
相關產品
靶點詳情
-
功能:Acts as an actin nucleation factor, remains associated with the slow-growing pointed end of the new filament. Involved in intracellular vesicle transport along actin fibers, providing a novel link between actin cytoskeleton dynamics and intracellular transport. Required for asymmetric spindle positioning and asymmetric cell division during meiosis. Required for normal formation of the cleavage furrow and for polar body extrusion during female germ cell meiosis. Also acts in the nucleus: together with SPIRE1 and SPIRE2, promotes assembly of nuclear actin filaments in response to DNA damage in order to facilitate movement of chromatin and repair factors after DNA damage.
-
基因功能參考文獻:
- influences intracellular replication of Salmonella typhimurium PMID: 27627128
-
亞細胞定位:Cytoplasm, cytoskeleton. Cytoplasm, cytosol. Cell membrane; Peripheral membrane protein; Cytoplasmic side. Cytoplasmic vesicle membrane; Peripheral membrane protein; Cytoplasmic side.
-
蛋白家族:Spire family
-
數據庫鏈接:
Most popular with customers
-
-
YWHAB Recombinant Monoclonal Antibody
Applications: ELISA, WB, IHC, IF, FC
Species Reactivity: Human, Mouse, Rat
-
Phospho-YAP1 (S127) Recombinant Monoclonal Antibody
Applications: ELISA, WB, IHC
Species Reactivity: Human
-
-
-
-
-















