SPN Antibody
-
中文名稱:SPN兔多克隆抗體
-
貨號:CSB-PA985242
-
規格:¥1100
-
圖片:
-
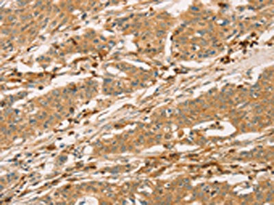
The image on the left is immunohistochemistry of paraffin-embedded Human thyroid cancer tissue using CSB-PA985242(SPN Antibody) at dilution 1/60, on the right is treated with fusion protein. (Original magnification: ×200)
-
The image on the left is immunohistochemistry of paraffin-embedded Human gastric cancer tissue using CSB-PA985242(SPN Antibody) at dilution 1/60, on the right is treated with fusion protein. (Original magnification: ×200)
-
-
其他:
產品詳情
-
Uniprot No.:
-
基因名:
-
別名:CD 43 antibody; CD43 antibody; CD43 antigen antibody; Galactoglycoprotein antibody; GALGP antibody; GPL 115 antibody; GPL115 antibody; Human gene for sialophorin antibody; Leucocyte sialoglycoprotein antibody; LEUK_HUMAN antibody; Leukocyte large sialoglycoprotein antibody; Leukocyte sialoglycoprotein antibody; Leukosialin antibody; LSN antibody; Ly-48 antibody; sialophorin (gpL115, leukosialin, CD43) antibody; Sialophorin antibody; Spn antibody
-
宿主:Rabbit
-
反應種屬:Human
-
免疫原:Fusion protein of Human SPN
-
免疫原種屬:Homo sapiens (Human)
-
標記方式:Non-conjugated
-
抗體亞型:IgG
-
純化方式:Antigen affinity purification
-
濃度:It differs from different batches. Please contact us to confirm it.
-
保存緩沖液:-20°C, pH7.4 PBS, 0.05% NaN3, 40% Glycerol
-
產品提供形式:Liquid
-
應用范圍:ELISA,IHC
-
推薦稀釋比:
Application Recommended Dilution ELISA 1:2000-1:10000 IHC 1:100-1:300 -
Protocols:
-
儲存條件:Upon receipt, store at -20°C or -80°C. Avoid repeated freeze.
-
貨期:Basically, we can dispatch the products out in 1-3 working days after receiving your orders. Delivery time maybe differs from different purchasing way or location, please kindly consult your local distributors for specific delivery time.
-
用途:For Research Use Only. Not for use in diagnostic or therapeutic procedures.
相關產品
靶點詳情
-
功能:Predominant cell surface sialoprotein of leukocytes which regulates multiple T-cell functions, including T-cell activation, proliferation, differentiation, trafficking and migration. Positively regulates T-cell trafficking to lymph-nodes via its association with ERM proteins (EZR, RDX and MSN). Negatively regulates Th2 cell differentiation and predisposes the differentiation of T-cells towards a Th1 lineage commitment. Promotes the expression of IFN-gamma by T-cells during T-cell receptor (TCR) activation of naive cells and induces the expression of IFN-gamma by CD4(+) T-cells and to a lesser extent by CD8(+) T-cells. Plays a role in preparing T-cells for cytokine sensing and differentiation into effector cells by inducing the expression of cytokine receptors IFNGR and IL4R, promoting IFNGR and IL4R signaling and by mediating the clustering of IFNGR with TCR. Acts as a major E-selectin ligand responsible for Th17 cell rolling on activated vasculature and recruitment during inflammation. Mediates Th17 cells, but not Th1 cells, adhesion to E-selectin. Acts as a T-cell counter-receptor for SIGLEC1.; Protects cells from apoptotic signals, promoting cell survival.
-
基因功能參考文獻:
- CD43 expression was 95.7% in atypical chronic lymphocytic leukemia cases. PMID: 28713070
- most non-hematopoietic neoplasms are negative for CD43 expression PMID: 28807337
- this study identifies a new signaling pathway for CD43 through the regulation of alternative functions of pyruvate kinase isoform M2, favoring cell survival following activation PMID: 27606486
- Forty percent of adenoid cystic carcinomas showed staining for CD43, while no cases of basal cell carcinoma were positive PMID: 25551301
- CD43 expression is a novel adverse prognostic factor for patients with diffuse large B-cell lymphomas PMID: 25682152
- CD43 polymorphisms are associated with TB susceptibility. PMID: 25078322
- Host membrane protein PSGL-1, CD43, and CD44 association with assembling HIV-1 Gag is driven by polybasic sequences present in the cytoplasmic tails of the membrane proteins and in Gag. PMID: 25320329
- When used as vaccine in mice, the 2/165 phagotope raised antibodies against the UN1/CD43 antigen, indicating that the 2/165 phagotope mimicked the UN1 antigen structure, and could represent a novel immunogen for cancer immunotherapy PMID: 24356816
- CD43 promotes cells transformation by preventing merlin-mediated contact inhibition of growth. PMID: 24260485
- We conclude that CD43 is an adverse prognostic marker in DLBCL, and is preferentially expressed in the non-GCB subgroup. PMID: 23617469
- CD43 regulates the threshold for T cell activation by targeting Cbl functions. PMID: 21905200
- Taken together, these results show that elevated calcium levels induce CD43 capping, and macrophages remove the cells if their nucleolin receptors can bind to the poly-N-acetyllactosaminyl chains of capped CD43. PMID: 23400223
- Targeting CD43 in A549 lung cancer cells, increased homotypic adhesion, decreased heterotypic adhesion and transendothelial migration, increased susceptibility to apoptosis and increased vulnerability to lysis by NK cells PMID: 23015282
- results suggest that, despite the high CD43 expression in both tumorous and nontumorous Langerhans cells (LCs), the JL1 epitope of CD43 is exposed in immature and neoplastic LCs. PMID: 22790855
- Compared to healthy controls, both CD43 mRNA and protein expressions were reduced in T cells from patients with SLE, and were inversely correlated with IgG. PMID: 22613599
- CD43 localizes to the nucleus, where it binds chromatin, co-localizes and co-immunoprecipitates with beta-catenin, and enhances the reporter gene expression regulated by beta-catenin PMID: 22576689
- The capping of CD43 on the cell surface is a strong signal for phagocytosis that allows phagocytes to differentiate between healthy and apoptotic cells without any additional membrane changes PMID: 22466560
- The anti-adhesive function of CD43 in colon carcinoma cells plays a role in the tumorigenesis and metastasis of colorectal carcinoma cells. PMID: 22075155
- there exists a negative feedback loop between p53 and CD43: CD43-dependent signaling activates p53, which in turn downregulates the expression of CD43 PMID: 21947346
- O-glycosylated CD43 and CD45 molecules on T cells regulates cell adhesion and favors the transmission of HTLV-1 from cell to cell. PMID: 22171268
- Data show that Pic, a class 2 SPATE protein produced by Shigella flexneri 2a targets a broad range of human leukocyte glycoproteins including CD43, CD44, CD45, CD93, CD162 and the surface-attached chemokine fractalkine. PMID: 21768350
- identification of the tumor antigen UN1 as the transmembrane CD43 sialoglycoprotein PMID: 21372249
- Expression of CD43 induces cell rounding, inhibition of cell re-attachment, augmentation of microvilli, and phosphorylation of Ezrin/Radixin/Moesin (ERM)in HEK293T cells. PMID: 21045567
- engagement of CD43 may, presumably through the repressing transcription, initiate a Bad-dependent apoptotic pathway. PMID: 11773067
- CD43 can be seen as a co-stimulatory cell surface constituent that can modulate HIV-1 expression in T lymphocytes PMID: 12045189
- down-regulation of CD43 mRNA levels occurs during activation of the cellline K562. This repression coincides with repression of the transcriptional activity of the CD43 gene promoter. PMID: 12411317
- Examination of expression of CD43 in different human cell lines and tumor cell lines PMID: 12499775
- Although ezrin-associated CD43 protein is excluded from the inhibitory, i.e., noncytolytic, NK cell immune synapse (IS), it is homogeneously distributed across the IS of activating conjugates. PMID: 12626536
- It was also observed that the mucins from colon carcinoma patients had MUC1-type mucins that carried both sialyl-Lewis a and x epitopes and CD43-type sialyl-Lewis a mucins with only low levels of sialyl-Lewis x epitopes. PMID: 12820726
- CD43 engagement on normal human T lymphocytes as well as in Jurkat cells results in transient phosphorylation of the zeta-chain and enhanced association of ZAP-70 and Vav to the zeta-chain. PMID: 12902492
- Overexpression of SPN causes activation of the tumor suppressor proteins p53 and ARF 1. PMID: 14676827
- Four phage antibodies were isolated and used in a preliminary immunohistochemistry study of CD43 expression on frozen colorectal adenoma and carcinoma tissue. PMID: 14719063
- findings suggest that the CD43 molecules expressed on CD4+ memory T cells may be capable of enhancing the costimulatory signaling and hence providing accessory functions to TCR-mediated activation processes PMID: 15187099
- Microarray analysis of inflammatory genes shows 1 group of genes coregulated by both stimuli and 2 further groups of target genes affected solely by costimulation or primarily by CD43. PMID: 15280197
- CD43 is expressed by a variety of carcinoma cell lines, and plays a role in tumour cell-peritoneal adhesion probably via interactions with its putative ligand ICAM-1 PMID: 15449712
- Data suggest that PKCtheta plays a critical role in the co-stimulatory functions of CD43 in human T cells. PMID: 15522211
- CD43 is a T-cell E-selectin ligand distinct from PSGL-1 which expands the role of CD43 in the regulation of T-cell trafficking. PMID: 16269612
- CD43 induces a signaling cascade that prolongs the duration of T cell receptor signaling, thereby supporting the temporality with which certain molecules are engaged as a mechanism to fine tune T cell signal quality, and ultimately immune function. PMID: 16751378
- early progenitors committed to hematopoietic development could be identified by surface expression of leukosialin PMID: 16757688
- Promotes cell growth and is a potential contributor to tumor development. PMID: 17891181
- Lymphoepithelial lesions pattern, CD43 coexpression, and clonal plasma cell component in extranodal marginal zone B-cell lymphoma (EMZL) is site-dependent, and the differences may aid in the diagnosis of EMZLs at different anatomic sites. PMID: 17979485
- triggering CD43 and the underlying signaling pathways enhance LFA-1 adhesiveness while CD43 also negatively regulates LFA-1 induction via other receptors by dynamic interaction with either LFA-1 or CD147. PMID: 17996943
- CD43 seems to be selectively expressed in a subset of adenoid cystic carcinomas and its significance in salivary tumors is discussed. PMID: 18227725
- The cleavage of neutrophil leukosialin (CD43) by cathepsin G releases its extracellular domain and triggers its intramembrane proteolysis by presenilin/gamma-secretase PMID: 18586676
- Streptococcus gordonii DL1 surface protein Hsa binds to the host cell membrane glycoproteins CD11b, CD43, and CD50 PMID: 18678668
顯示更多
收起更多
-
亞細胞定位:Membrane; Single-pass type I membrane protein. Cell projection, microvillus. Cell projection, uropodium.; [CD43 cytoplasmic tail]: Nucleus. Nucleus, PML body.
-
組織特異性:Cell surface of thymocytes, T-lymphocytes, neutrophils, plasma cells and myelomas.
-
數據庫鏈接:
Most popular with customers
-
YWHAB Recombinant Monoclonal Antibody
Applications: ELISA, WB, IHC, IF, FC
Species Reactivity: Human, Mouse, Rat
-
Phospho-YAP1 (S127) Recombinant Monoclonal Antibody
Applications: ELISA, WB, IHC
Species Reactivity: Human
-
-
-
-
-
-















