SPPL2A Antibody
-
中文名稱:SPPL2A兔多克隆抗體
-
貨號:CSB-PA855050LA01HU
-
規格:¥440
-
圖片:
-
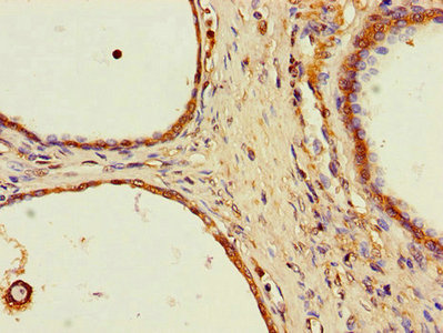
Immunohistochemistry of paraffin-embedded human prostate cancer using CSB-PA855050LA01HU at dilution of 1:100
-
Immunofluorescent analysis of Hela cells using CSB-PA855050LA01HU at dilution of 1:100 and Alexa Fluor 488-congugated AffiniPure Goat Anti-Rabbit IgG(H+L)
-
Western Blot
Positive WB detected in: Jurkat whole cell lysate
All lanes: SPPL2A antibody at 2µg/ml
Secondary
Goat polyclonal to rabbit IgG at 1/50000 dilution
Predicted band size: 59 kDa
Observed band size: 59 kDa
-
-
其他:
產品詳情
-
產品名稱:Rabbit anti-Homo sapiens (Human) SPPL2A Polyclonal antibody
-
Uniprot No.:
-
基因名:SPPL2A
-
別名:SPPL2A antibody; IMP3 antibody; PSL2 antibody; PSEC0147 antibody; Signal peptide peptidase-like 2A antibody; SPP-like 2A antibody; SPPL2a antibody; EC 3.4.23.- antibody; Intramembrane protease 3 antibody; IMP-3 antibody; Presenilin-like protein 2 antibody
-
宿主:Rabbit
-
反應種屬:Human
-
免疫原:Recombinant Human Signal peptide peptidase-like 2A protein (26-172AA)
-
免疫原種屬:Homo sapiens (Human)
-
標記方式:Non-conjugated
本頁面中的產品,SPPL2A Antibody (CSB-PA855050LA01HU),的標記方式是Non-conjugated。對于SPPL2A Antibody,我們還提供其他標記。見下表:
-
克隆類型:Polyclonal
-
抗體亞型:IgG
-
純化方式:>95%, Protein G purified
-
濃度:It differs from different batches. Please contact us to confirm it.
-
保存緩沖液:Preservative: 0.03% Proclin 300
Constituents: 50% Glycerol, 0.01M PBS, PH 7.4 -
產品提供形式:Liquid
-
應用范圍:ELISA, WB, IHC, IF
-
推薦稀釋比:
Application Recommended Dilution WB 1:2000-1:5000 IHC 1:20-1:200 IF 1:50-1:200 -
Protocols:
-
儲存條件:Upon receipt, store at -20°C or -80°C. Avoid repeated freeze.
-
貨期:Basically, we can dispatch the products out in 1-3 working days after receiving your orders. Delivery time maybe differs from different purchasing way or location, please kindly consult your local distributors for specific delivery time.
-
用途:For Research Use Only. Not for use in diagnostic or therapeutic procedures.
相關產品
靶點詳情
-
功能:Intramembrane-cleaving aspartic protease (I-CLiP) that cleaves type II membrane signal peptides in the hydrophobic plane of the membrane. Functions in FASLG, ITM2B and TNF processing. Catalyzes the intramembrane cleavage of the anchored fragment of shed TNF-alpha (TNF), which promotes the release of the intracellular domain (ICD) for signaling to the nucleus. Also responsible for the intramembrane cleavage of Fas antigen ligand FASLG, which promotes the release of the intracellular FasL domain (FasL ICD). May play a role in the regulation of innate and adaptive immunity. Catalyzes the intramembrane cleavage of the simian foamy virus envelope glycoprotein gp130 independently of prior ectodomain shedding by furin or furin-like proprotein convertase (PC)-mediated cleavage proteolysis.
-
基因功能參考文獻:
- Study propose that elements within the transmembrane segment and the luminal juxtamembrane domain facilitate intramembrane proteolysis of CD74 by SPPL2a. PMID: 26987812
- In human B cells, SPPL2a is indispensable for turnover of CD74 N-terminal fragment. A human 15q21.2 microdeletion leads to loss of SPPL2a transcript and protein. PMID: 25035924
- Data show that endogenous SPPL2a - in agreement with overexpression studies - is localised in membranes of lysosomes/late endosomes. PMID: 21896273
- ADAM10 and SPPL2a were identified as two proteases implicated in FasL processing and release of the FasL intracellular domain, which has been shown to be important for retrograde FasL signaling PMID: 17557115
-
亞細胞定位:Late endosome membrane; Multi-pass membrane protein. Lysosome membrane; Multi-pass membrane protein. Membrane; Multi-pass membrane protein; Lumenal side. Note=Colocalizes with palmitoylated and myristoylated proteins at the plasma membrane.
-
蛋白家族:Peptidase A22B family
-
組織特異性:Ubiquitous.
-
數據庫鏈接:
Most popular with customers
-
-
YWHAB Recombinant Monoclonal Antibody
Applications: ELISA, WB, IHC, IF, FC
Species Reactivity: Human, Mouse, Rat
-
Phospho-YAP1 (S127) Recombinant Monoclonal Antibody
Applications: ELISA, WB, IHC
Species Reactivity: Human
-
-
-
-
-















