SSBP3 Antibody
-
中文名稱:SSBP3兔多克隆抗體
-
貨號:CSB-PA880121LA01HU
-
規格:¥440
-
圖片:
-
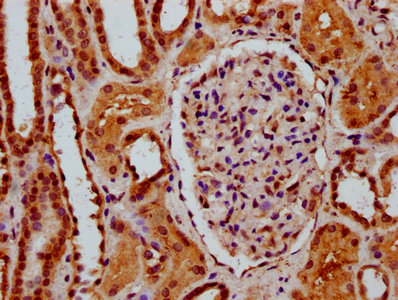
IHC image of CSB-PA880121LA01HU diluted at 1:600 and staining in paraffin-embedded human kidney tissue performed on a Leica BondTM system. After dewaxing and hydration, antigen retrieval was mediated by high pressure in a citrate buffer (pH 6.0). Section was blocked with 10% normal goat serum 30min at RT. Then primary antibody (1% BSA) was incubated at 4°C overnight. The primary is detected by a biotinylated secondary antibody and visualized using an HRP conjugated SP system.
-
-
其他:
產品詳情
-
產品名稱:Rabbit anti-Homo sapiens (Human) SSBP3 Polyclonal antibody
-
Uniprot No.:
-
基因名:SSBP3
-
別名:SSBP3 antibody; SSDP antibody; SSDP1Single-stranded DNA-binding protein 3 antibody; Sequence-specific single-stranded-DNA-binding protein antibody
-
宿主:Rabbit
-
反應種屬:Human
-
免疫原:Recombinant Human Single-stranded DNA-binding protein 3 protein (185-321AA)
-
免疫原種屬:Homo sapiens (Human)
-
標記方式:Non-conjugated
本頁面中的產品,SSBP3 Antibody (CSB-PA880121LA01HU),的標記方式是Non-conjugated。對于SSBP3 Antibody,我們還提供其他標記。見下表:
-
克隆類型:Polyclonal
-
抗體亞型:IgG
-
純化方式:>95%, Protein G purified
-
濃度:It differs from different batches. Please contact us to confirm it.
-
保存緩沖液:Preservative: 0.03% Proclin 300
Constituents: 50% Glycerol, 0.01M PBS, pH 7.4 -
產品提供形式:Liquid
-
應用范圍:ELISA, IHC
-
推薦稀釋比:
Application Recommended Dilution IHC 1:500-1:1000 -
Protocols:
-
儲存條件:Upon receipt, store at -20°C or -80°C. Avoid repeated freeze.
-
貨期:Basically, we can dispatch the products out in 1-3 working days after receiving your orders. Delivery time maybe differs from different purchasing way or location, please kindly consult your local distributors for specific delivery time.
-
用途:For Research Use Only. Not for use in diagnostic or therapeutic procedures.
相關產品
靶點詳情
-
功能:May be involved in transcription regulation of the alpha 2(I) collagen gene where it binds to the single-stranded polypyrimidine sequences in the promoter region.
-
基因功能參考文獻:
- SSBP3 Interacts With Islet-1 and Ldb1 to Impact Pancreatic beta-Cell Target Genes PMID: 26495868
- Ssdp proteins interact with the LIM-domain-binding protein Ldb1 to regulate development PMID: 12381786
- Thus, biochemical data of SSDP1 presented by this study provides biochemical evidence for a better understanding of transcriptional regulation. PMID: 16325762
- phosphorylation involving N-terminal tyrosine residues of Ssdp1 is a means of regulating its nuclear localization and subsequent transcriptional activation of LIM-HD complexes. PMID: 18080319
-
亞細胞定位:Nucleus.
-
組織特異性:Highly expressed in all hematopoietic tissues, including spleen, lymph node, peripheral blood, bone marrow, thymus, and fetal liver, with highest expression in thymus and fetal liver. Expression is also high in heart, brain, kidney, and skeletal muscle.
-
數據庫鏈接:
Most popular with customers
-
-
YWHAB Recombinant Monoclonal Antibody
Applications: ELISA, WB, IHC, IF, FC
Species Reactivity: Human, Mouse, Rat
-
Phospho-YAP1 (S127) Recombinant Monoclonal Antibody
Applications: ELISA, WB, IHC
Species Reactivity: Human
-
-
-
-
-















