SSH1 Antibody
-
中文名稱:SSH1兔多克隆抗體
-
貨號:CSB-PA837881LA01HU
-
規格:¥440
-
圖片:
-
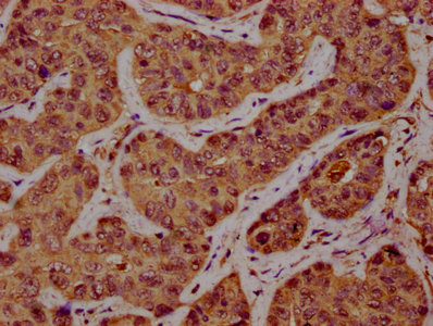
IHC image of CSB-PA837881LA01HU diluted at 1:300 and staining in paraffin-embedded human liver cancer performed on a Leica BondTM system. After dewaxing and hydration, antigen retrieval was mediated by high pressure in a citrate buffer (pH 6.0). Section was blocked with 10% normal goat serum 30min at RT. Then primary antibody (1% BSA) was incubated at 4°C overnight. The primary is detected by a biotinylated secondary antibody and visualized using an HRP conjugated SP system.
-
Immunofluorescence staining of Hela cells with CSB-PA837881LA01HU at 1:100, counter-stained with DAPI. The cells were fixed in 4% formaldehyde, permeabilized using 0.2% Triton X-100 and blocked in 10% normal Goat Serum. The cells were then incubated with the antibody overnight at 4°C. The secondary antibody was Alexa Fluor 488-congugated AffiniPure Goat Anti-Rabbit IgG(H+L).
-
-
其他:
產品詳情
-
產品名稱:Rabbit anti-Homo sapiens (Human) SSH1 Polyclonal antibody
-
Uniprot No.:
-
基因名:
-
別名:AW551225 antibody; Coro1c antibody; coronin; actin binding protein 1C antibody; Gm1394 antibody; Gm1395 antibody; hSSH-1L antibody; mSSH 1L antibody; OTTMUSP00000031415 antibody; Protein phosphatase Slingshot homolog 1 antibody; Slingshot 1 antibody; slingshot 1L antibody; slingshot homolog 1 antibody; slingshot like 1 antibody; Slingshot1 antibody; SSH 1 antibody; SSH 1L antibody; SSH-1L antibody; SSH-like protein 1 antibody; Ssh1 antibody; SSH1_HUMAN antibody
-
宿主:Rabbit
-
反應種屬:Human
-
免疫原:Recombinant Human Protein phosphatase Slingshot homolog 1 protein (928-1049AA)
-
免疫原種屬:Homo sapiens (Human)
-
標記方式:Non-conjugated
本頁面中的產品,SSH1 Antibody (CSB-PA837881LA01HU),的標記方式是Non-conjugated。對于SSH1 Antibody,我們還提供其他標記。見下表:
-
克隆類型:Polyclonal
-
抗體亞型:IgG
-
純化方式:>95%, Protein G purified
-
濃度:It differs from different batches. Please contact us to confirm it.
-
保存緩沖液:Preservative: 0.03% Proclin 300
Constituents: 50% Glycerol, 0.01M PBS, pH 7.4 -
產品提供形式:Liquid
-
應用范圍:ELISA, IHC, IF
-
推薦稀釋比:
Application Recommended Dilution IHC 1:200-1:500 IF 1:50-1:200 -
Protocols:
-
儲存條件:Upon receipt, store at -20°C or -80°C. Avoid repeated freeze.
-
貨期:Basically, we can dispatch the products out in 1-3 working days after receiving your orders. Delivery time maybe differs from different purchasing way or location, please kindly consult your local distributors for specific delivery time.
-
用途:For Research Use Only. Not for use in diagnostic or therapeutic procedures.
相關產品
靶點詳情
-
功能:Protein phosphatase which regulates actin filament dynamics. Dephosphorylates and activates the actin binding/depolymerizing factor cofilin, which subsequently binds to actin filaments and stimulates their disassembly. Inhibitory phosphorylation of cofilin is mediated by LIMK1, which may also be dephosphorylated and inactivated by this protein.
-
基因功能參考文獻:
- SSH1 binds to gelsolin via actin filaments in the cytosolic fraction. Gelsolin promoted solubilization of actin filaments and SSH1 in cell-free assays and in cultured cells. PMID: 25451266
- the N-terminal PH-like domain plays a critical role in F-actin binding and F-actin-mediated activation of the cofilin-phosphatase activity of SSH1 PMID: 27865840
- Results reveal that SSH1L is upregulated in a subset of PCs and that the SSH1L/cofilin-1 signal pathway is associated positively in PC with cell migration. PMID: 25684665
- Authors show that viral penetration-induced calcium release facilitated herpes simplex virus type 1 intracellular trafficking through activating slingshot 1 (SSH), a phosphatase regulating actin filament dynamics. PMID: 24670325
- The association of IRS4 with SSH1 contributes to localized activation of cofilin in membrane protrusions. PMID: 25100728
- Slingshot 1 downregulation in neuronal cells inactivates cofilin to facilitate HSV-1 replication. PMID: 24418541
- Results identify a novel frameshift mutation in this gene implicated in disseminated superficial actinic porokeratosis in 4 Chinese families PMID: 23834120
- Thus this study provides evidence for a novel role of LIMK1 and SSH-1L in selectively regulating endothelial cell inflammation associated with intravascular coagulation. PMID: 24039253
- Our work provides evidence that supports the positive role of SSH1L in the mechanism of stem cell differentiation into cardiomyocyte-like cells. PMID: 23247370
- A high expression of SSH-1L in peripheral eosinophils in acute exacerbations of asthma may play a role in the activation and migration of eosinophils. PMID: 21690039
- EphA signaling promotes actin-based dendritic spine remodeling through slingshot 1. PMID: 22282498
- identified Ser 402 as a new phosphorylation site within the catalytic domain of human slingshot 1 (SSH1). PMID: 21525957
- Results show the significance of SSH1L in estrogen-induced osteoblastogenic differentiation in favor of adipogenic differentiation from hMSCs. PMID: 21289500
- SSH1 plays a critical role in cytokinesis by dephosphorylating and reactivating cofilin in later stages of mitosis PMID: 12807904
- findings suggest that SSH1L is activated downstream of PI3K and plays a critical role in insulin-induced membrane protrusion by dephosphorylating and activating cofilin PMID: 14645219
- SSH1L is locally activated by translocation to and association with F-actin in lamellipodia in response to neuregulin-1beta and 14-3-3 proteins negatively regulate SSH1L activity by sequestering it in the cytoplasm. PMID: 15159416
- SSH1 mutations seen in patients with disseminated superficial actinic porokeratosis PMID: 15459975
- a multi-protein complex consisting of SSH-1L, LIMK1, actin, and the scaffolding protein, 14-3-3zeta, is involved, along with the kinase, PAK4, in the regulation of ADF/cofilin activity PMID: 15660133
- Ca2+-induced cofilin dephosphorylation is mediated by calcineurin-dependent activation of SSH1L PMID: 15671020
- identified sites that play unique roles in the control of subcellular localization and F-actin-mediated activation of SSH1L PMID: 16513117
- Expression of phosphatase-dead versions of SSH proteins, SSH1, SSH2 & SSH3 results in phosphorylation/inactivation of cofilin, changes in cytoskeleton organization, loss of cell polarity, and assembly of aberrant arrays of laminin-332 in keratinocytes. PMID: 17848544
- PDGF participates in actin dynamics by dual regulation of cofilin activity via LIMK and SSH1L in aortic smooth muscle cells PMID: 18096821
- the conserved SSH-N domain of slingshot-1 plays critical roles in P-cofilin recognition, F-actin-mediated activation, and subcellular localization of SSH1 PMID: 18809681
- Results suggest that the formation of ROS by NADPH oxidases engages a SSH-1L-cofilin pathway to regulate cytoskeletal organization and cell migration. PMID: 19339277
- These results implicate 14-3-3zeta/tau heterodimers as key regulators of SSH1 activity in keratinocytes and suggest they play a role in cytoskeleton remodeling during cell migration. PMID: 19371722
- Data identify PKD as a central regulator of the cofilin signaling network via direct phosphorylation and regulation of SSH1L. PMID: 19567672
顯示更多
收起更多
-
亞細胞定位:Cytoplasm, cytoskeleton. Cell projection, lamellipodium. Cleavage furrow. Midbody. Note=Also recruited to actin rich membrane protrusions such as lamellipodia, which may allow local control of actin dynamics at sites of cell locomotion. Also localized to the cleavage furrow and the midbody during cytokinesis.
-
蛋白家族:Protein-tyrosine phosphatase family
-
數據庫鏈接:
Most popular with customers
-
-
YWHAB Recombinant Monoclonal Antibody
Applications: ELISA, WB, IHC, IF, FC
Species Reactivity: Human, Mouse, Rat
-
-
-
-
-
-















