STAG3 Antibody
-
中文名稱:STAG3兔多克隆抗體
-
貨號:CSB-PA022787LA01HU
-
規格:¥440
-
圖片:
-
IHC image of CSB-PA022787LA01HU diluted at 1:300 and staining in paraffin-embedded human breast cancer performed on a Leica BondTM system. After dewaxing and hydration, antigen retrieval was mediated by high pressure in a citrate buffer (pH 6.0). Section was blocked with 10% normal goat serum 30min at RT. Then primary antibody (1% BSA) was incubated at 4°C overnight. The primary is detected by a biotinylated secondary antibody and visualized using an HRP conjugated SP system.
-
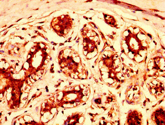
IHC image of CSB-PA022787LA01HU diluted at 1:300 and staining in paraffin-embedded human testis tissue performed on a Leica BondTM system. After dewaxing and hydration, antigen retrieval was mediated by high pressure in a citrate buffer (pH 6.0). Section was blocked with 10% normal goat serum 30min at RT. Then primary antibody (1% BSA) was incubated at 4°C overnight. The primary is detected by a biotinylated secondary antibody and visualized using an HRP conjugated SP system.
-
-
其他:
產品詳情
-
產品名稱:Rabbit anti-Homo sapiens (Human) STAG3 Polyclonal antibody
-
Uniprot No.:
-
基因名:STAG3
-
別名:STAG3 antibody; Cohesin subunit SA-3 antibody; SCC3 homolog 3 antibody; Stromal antigen 3 antibody; Stromalin-3 antibody
-
宿主:Rabbit
-
反應種屬:Human
-
免疫原:Recombinant Human Cohesin subunit SA-3 protein (1056-1212AA)
-
免疫原種屬:Homo sapiens (Human)
-
標記方式:Non-conjugated
本頁面中的產品,STAG3 Antibody (CSB-PA022787LA01HU),的標記方式是Non-conjugated。對于STAG3 Antibody,我們還提供其他標記。見下表:
-
克隆類型:Polyclonal
-
抗體亞型:IgG
-
純化方式:>95%, Protein G purified
-
濃度:It differs from different batches. Please contact us to confirm it.
-
保存緩沖液:Preservative: 0.03% Proclin 300
Constituents: 50% Glycerol, 0.01M PBS, pH 7.4 -
產品提供形式:Liquid
-
應用范圍:ELISA, IHC
-
推薦稀釋比:
Application Recommended Dilution IHC 1:200-1:500 -
Protocols:
-
儲存條件:Upon receipt, store at -20°C or -80°C. Avoid repeated freeze.
-
貨期:Basically, we can dispatch the products out in 1-3 working days after receiving your orders. Delivery time maybe differs from different purchasing way or location, please kindly consult your local distributors for specific delivery time.
-
用途:For Research Use Only. Not for use in diagnostic or therapeutic procedures.
相關產品
靶點詳情
-
功能:Meiosis specific component of cohesin complex. The cohesin complex is required for the cohesion of sister chromatids after DNA replication. The cohesin complex apparently forms a large proteinaceous ring within which sister chromatids can be trapped. At anaphase, the complex is cleaved and dissociates from chromatin, allowing sister chromatids to segregate. The meiosis-specific cohesin complex probably replaces mitosis specific cohesin complex when it dissociates from chromatin during prophase I.
-
基因功能參考文獻:
- c.677C > G associated with primary ovarian insufficiency PMID: 28802712
- Loss of STAG2 or STAG3, which encode subunits of the cohesin complex, in melanoma cells results in resistance to BRAF inhibitors (BRAFi). Loss-of-function mutations in STAG2, as well as decreased expression of STAG2 or STAG3 proteins were found in several tumor samples from patients with acquired resistance to BRAFi and in BRAFi-resistant melanoma cell lines. PMID: 27500726
- STAG3 truncating variant as the cause of primary ovarian insufficiency has been found in two sisters in a consanguineous Lebanese family. PMID: 26059840
- We identified a homozygous 1-bp deletion inducing a frameshift mutation in STAG3 on chromosome 7. Female mice devoid of Stag3 are sterile. PMID: 24597867
- we show evidence for the involvement of a common allele of STAG3 in the development of epithelial ovarian cancer PMID: 20635389
- identified as one of five genes containing 11 somatic mutations in a panel that included 132 colorectal cancers, then demonstrated that down-regulation of such homologs resulted in chromosomal instability and chromatid cohesion defects in human cells PMID: 18299561
- plays a role in regulation of transcription due to genetic imprinting, sister chromatid exchange, chromosome segregation and as an insulator element. (review) PMID: 18788457
顯示更多
收起更多
-
相關疾病:Premature ovarian failure 8 (POF8)
-
亞細胞定位:Nucleus. Chromosome. Chromosome, centromere.
-
蛋白家族:SCC3 family
-
組織特異性:Testis specific.
-
數據庫鏈接:
Most popular with customers
-
-
YWHAB Recombinant Monoclonal Antibody
Applications: ELISA, WB, IHC, IF, FC
Species Reactivity: Human, Mouse, Rat
-
Phospho-YAP1 (S127) Recombinant Monoclonal Antibody
Applications: ELISA, WB, IHC
Species Reactivity: Human
-
-
-
-
-















