STT3B Antibody
-
中文名稱:STT3B兔多克隆抗體
-
貨號:CSB-PA823456LA01HU
-
規格:¥440
-
圖片:
-
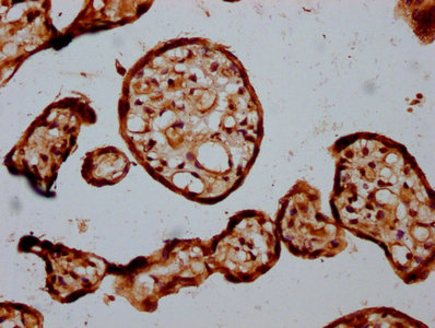
IHC image of CSB-PA823456LA01HU diluted at 1:300 and staining in paraffin-embedded human placenta tissue performed on a Leica BondTM system. After dewaxing and hydration, antigen retrieval was mediated by high pressure in a citrate buffer (pH 6.0). Section was blocked with 10% normal goat serum 30min at RT. Then primary antibody (1% BSA) was incubated at 4°C overnight. The primary is detected by a biotinylated secondary antibody and visualized using an HRP conjugated SP system.
-
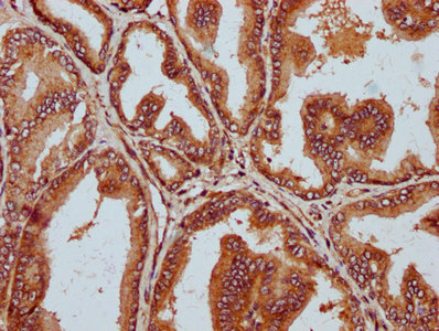
IHC image of CSB-PA823456LA01HU diluted at 1:300 and staining in paraffin-embedded human prostate tissue performed on a Leica BondTM system. After dewaxing and hydration, antigen retrieval was mediated by high pressure in a citrate buffer (pH 6.0). Section was blocked with 10% normal goat serum 30min at RT. Then primary antibody (1% BSA) was incubated at 4°C overnight. The primary is detected by a biotinylated secondary antibody and visualized using an HRP conjugated SP system.
-
-
其他:
產品詳情
-
產品名稱:Rabbit anti-Homo sapiens (Human) STT3B Polyclonal antibody
-
Uniprot No.:
-
基因名:
-
別名:Dolichyl-diphosphooligosaccharide--protein glycosyltransferase subunit STT3B antibody; Homolog of yeast STT3 antibody; Oligosaccharyl transferase subunit STT3B antibody; SIMP antibody; source of immunodominant MHC associated peptides antibody; Source of immunodominant MHC-associated peptides homolog antibody; STT3 subunit of the oligosaccharyltransferase complex homolog B (S. cerevisiae) antibody; STT3 subunit of the oligosaccharyltransferase complex homolog B antibody; STT3-B antibody; Stt3b antibody; STT3B_HUMAN antibody
-
宿主:Rabbit
-
反應種屬:Human
-
免疫原:Recombinant Human Dolichyl-diphosphooligosaccharide--protein glycosyltransferase subunit STT3B protein (682-809AA)
-
免疫原種屬:Homo sapiens (Human)
-
標記方式:Non-conjugated
本頁面中的產品,STT3B Antibody (CSB-PA823456LA01HU),的標記方式是Non-conjugated。對于STT3B Antibody,我們還提供其他標記。見下表:
-
克隆類型:Polyclonal
-
抗體亞型:IgG
-
純化方式:>95%, Protein G purified
-
濃度:It differs from different batches. Please contact us to confirm it.
-
保存緩沖液:Preservative: 0.03% Proclin 300
Constituents: 50% Glycerol, 0.01M PBS, pH 7.4 -
產品提供形式:Liquid
-
應用范圍:ELISA, IHC
-
推薦稀釋比:
Application Recommended Dilution IHC 1:200-1:500 -
Protocols:
-
儲存條件:Upon receipt, store at -20°C or -80°C. Avoid repeated freeze.
-
貨期:Basically, we can dispatch the products out in 1-3 working days after receiving your orders. Delivery time maybe differs from different purchasing way or location, please kindly consult your local distributors for specific delivery time.
-
用途:For Research Use Only. Not for use in diagnostic or therapeutic procedures.
相關產品
靶點詳情
-
功能:Catalytic subunit of the oligosaccharyl transferase (OST) complex that catalyzes the initial transfer of a defined glycan (Glc(3)Man(9)GlcNAc(2) in eukaryotes) from the lipid carrier dolichol-pyrophosphate to an asparagine residue within an Asn-X-Ser/Thr consensus motif in nascent polypeptide chains, the first step in protein N-glycosylation. N-glycosylation occurs cotranslationally and the complex associates with the Sec61 complex at the channel-forming translocon complex that mediates protein translocation across the endoplasmic reticulum (ER). All subunits are required for a maximal enzyme activity. This subunit contains the active site and the acceptor peptide and donor lipid-linked oligosaccharide (LLO) binding pockets. STT3B is present in a small subset of OST complexes and mediates both cotranslational and post-translational N-glycosylation of target proteins: STT3B-containing complexes are required for efficient post-translational glycosylation and while they are less competent than STT3A-containing complexes for cotranslational glycosylation, they have the ability to mediate glycosylation of some nascent sites that are not accessible for STT3A. STT3B-containing complexes also act post-translationally and mediate modification of skipped glycosylation sites in unfolded proteins. Plays a role in ER-associated degradation (ERAD) pathway that mediates ubiquitin-dependent degradation of misfolded endoplasmic reticulum proteins by mediating N-glycosylation of unfolded proteins, which are then recognized by the ERAD pathway and targeted for degradation. Mediates glycosylation of the disease variant AMYL-TTR 'Asp-38' of TTR at 'Asn-118', leading to its degradation.
-
基因功能參考文獻:
- Study reports that STT3B-oligosaccharyltransferase, but not STT3A-oligosaccharyltransferase, is a lipid-linked oligosaccharide hydrolase. PMID: 30181269
- These results reveal that the oxidoreductase activity of the STT3B-containing oligosaccharyltransferase is necessary for dengue virus infection. PMID: 28720733
- STT3B was significantly upregulated in hip osteoarthritis with affected versus intact cartilage, particularly in the analysis of hypertrophic and normotrophic compared with atrophic bone remodelling pattern. PMID: 27974301
- Post-translational modification of cotranslationally skipped sites by STT3B is hindered by the middle X residue, resulting in hypoglycosylation of consensus sites containing large hydrophobic and negatively charged side chains. PMID: 25029371
- Results show homozygous mutation in STT3A and in STT3B causes congenital disorders of glycosylation. PMID: 23842455
- Extreme C-terminal sites are posttranslocationally glycosylated by the STT3B isoform of the OST. PMID: 23530066
- Data show that prolonged transthyretin (TTR) unfolding induces externalization of cryptic N-glycosylation site and triggers STT3B-dependent posttranslational N-glycosylation. PMID: 22607976
- The STT3B isoform is required for efficient cotranslational glycosylation of an acceptor site adjacent to the N-terminal signal sequence of a secreted protein. PMID: 19167329
- STT3 proteins are the catalytic subunits of the oligosaccharyltransferase. Vertebrate, plant and insect genomes have an STT3A gene and a STT3B gene. SIMP is a member of the STT3B subfamily of STT3 proteins. PMID: 12887896
顯示更多
收起更多
-
相關疾病:Congenital disorder of glycosylation 1X (CDG1X)
-
亞細胞定位:Endoplasmic reticulum. Endoplasmic reticulum membrane; Multi-pass membrane protein.
-
蛋白家族:STT3 family
-
組織特異性:Expressed in heart, brain, placenta, lung, liver, muscle, kidney and pancreas. Expressed in skin fibroblasts (at protein level).
-
數據庫鏈接:
Most popular with customers
-
-
YWHAB Recombinant Monoclonal Antibody
Applications: ELISA, WB, IHC, IF, FC
Species Reactivity: Human, Mouse, Rat
-
Phospho-YAP1 (S127) Recombinant Monoclonal Antibody
Applications: ELISA, WB, IHC
Species Reactivity: Human
-
-
-
-
-















