SUCLG2 Antibody
-
中文名稱:SUCLG2兔多克隆抗體
-
貨號:CSB-PA846636LA01HU
-
規格:¥440
-
圖片:
-
Western Blot
Positive WB detected in: Hela whole cell lysate, MCF-7 whole cell lysate, 293T whole cell lysate, Raji whole cell lysate, LO2 whole cell lysate, U87 whole cell lysate,
All lanes: SUCLG2 antibody at 6.7µg/ml
Secondary
Goat polyclonal to rabbit IgG at 1/50000 dilution
Predicted band size: 47, 48 kDa
Observed band size: 47 kDa -
IHC image of CSB-PA846636LA01HU diluted at 1:300 and staining in paraffin-embedded human colon cancer performed on a Leica BondTM system. After dewaxing and hydration, antigen retrieval was mediated by high pressure in a citrate buffer (pH 6.0). Section was blocked with 10% normal goat serum 30min at RT. Then primary antibody (1% BSA) was incubated at 4°C overnight. The primary is detected by a biotinylated secondary antibody and visualized using an HRP conjugated SP system.
-
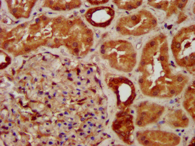
IHC image of CSB-PA846636LA01HU diluted at 1:300 and staining in paraffin-embedded human kidney tissue performed on a Leica BondTM system. After dewaxing and hydration, antigen retrieval was mediated by high pressure in a citrate buffer (pH 6.0). Section was blocked with 10% normal goat serum 30min at RT. Then primary antibody (1% BSA) was incubated at 4°C overnight. The primary is detected by a biotinylated secondary antibody and visualized using an HRP conjugated SP system.
-
-
其他:
產品詳情
-
產品名稱:Rabbit anti-Homo sapiens (Human) SUCLG2 Polyclonal antibody
-
Uniprot No.:
-
基因名:SUCLG2
-
別名:EC 6.2.1.4 antibody; G BETA antibody; GBETA antibody; GTP specific succinyl-CoA synthetase beta subunit antibody; GTP specific succinyl-CoA synthetase subunit beta antibody; GTP-specific succinyl-CoA synthetase subunit beta antibody; mitochondrial antibody; SCS betaG antibody; SCS-betaG antibody; SUCB2_HUMAN antibody; Succinate CoA ligase GDP forming beta subunit antibody; Succinate-Coenzyme A ligase; GDP-forming; beta subunit antibody; Succinyl CoA ligase GDP forming beta chain mitochondrial antibody; Succinyl CoA synthetase betaG chain antibody; Succinyl-CoA ligase [GDP-forming] subunit beta antibody; Succinyl-CoA ligase [GDP-forming] subunit beta; mitochondrial antibody; Succinyl-CoA synthetase beta-G chain antibody; SUCLG2 antibody
-
宿主:Rabbit
-
反應種屬:Human
-
免疫原:Recombinant Human Succinate--CoA ligase [GDP-forming] subunit beta, mitochondrial protein (161-292AA)
-
免疫原種屬:Homo sapiens (Human)
-
標記方式:Non-conjugated
本頁面中的產品,SUCLG2 Antibody (CSB-PA846636LA01HU),的標記方式是Non-conjugated。對于SUCLG2 Antibody,我們還提供其他標記。見下表:
-
克隆類型:Polyclonal
-
抗體亞型:IgG
-
純化方式:>95%, Protein G purified
-
濃度:It differs from different batches. Please contact us to confirm it.
-
保存緩沖液:Preservative: 0.03% Proclin 300
Constituents: 50% Glycerol, 0.01M PBS, pH 7.4 -
產品提供形式:Liquid
-
應用范圍:ELISA, WB, IHC
-
推薦稀釋比:
Application Recommended Dilution WB 1:500-1:5000 IHC 1:200-1:500 -
Protocols:
-
儲存條件:Upon receipt, store at -20°C or -80°C. Avoid repeated freeze.
-
貨期:Basically, we can dispatch the products out in 1-3 working days after receiving your orders. Delivery time maybe differs from different purchasing way or location, please kindly consult your local distributors for specific delivery time.
-
用途:For Research Use Only. Not for use in diagnostic or therapeutic procedures.
相關產品
靶點詳情
-
功能:GTP-specific succinyl-CoA synthetase functions in the citric acid cycle (TCA), coupling the hydrolysis of succinyl-CoA to the synthesis of GTP and thus represents the only step of substrate-level phosphorylation in the TCA. The beta subunit provides nucleotide specificity of the enzyme and binds the substrate succinate, while the binding sites for coenzyme A and phosphate are found in the alpha subunit.
-
基因功能參考文獻:
- SUCLG2 has a sensitivity of 75% and a specificity of 80% to distinguish follicular carcinoma from follicular adenoma PMID: 28709933
- The absence of SUCLA2 and SUCLG2 in human glia is in compliance with the presence of alternative pathways occurring in these cells, namely the GABA shunt and ketone body metabolism PMID: 25370487
- SUCLG2 has been identified as both a determinator of CSF amyloid beta-protein (1-42) levels and as attenuator of cognitive decline in Alzheimer's disease. PMID: 25027320
- Loss of SUCLG2 is associated with mitochondrial DNA depletion and results in mitochondrial depletion syndrome. PMID: 21295139
-
亞細胞定位:Mitochondrion.
-
蛋白家族:Succinate/malate CoA ligase beta subunit family, GTP-specific subunit beta subfamily
-
組織特異性:Mainly expressed in liver, kidney, heart, spleen and skeletal muscle. Also found in intestine and colon, and in low amounts in lung, brain, prostate, testis and ovary.
-
數據庫鏈接:
Most popular with customers
-
-
Phospho-YAP1 (S127) Recombinant Monoclonal Antibody
Applications: ELISA, WB, IHC
Species Reactivity: Human
-
-
-
-
-
-















