-
中文名稱:SULF1兔多克隆抗體
-
貨號:CSB-PA814217LA01HU
-
規格:¥440
-
圖片:
-
Western Blot
Positive WB detected in: Hela whole cell lysate, HepG2 whole cell lysate
All lanes: SULF1 antibody at 4μg/ml
Secondary
Goat polyclonal to rabbit IgG at 1/50000 dilution
Predicted band size: 102 kDa
Observed band size: 150 kDa -
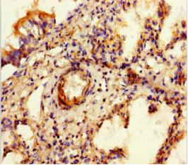
Immunohistochemistry of paraffin-embedded human lung tissue using CSB-PA814217LA01HU at dilution of 1:100
-
Immunofluorescent analysis of A549 cells using CSB-PA814217LA01HU at dilution of 1:100 and Alexa Fluor 488-congugated AffiniPure Goat Anti-Rabbit IgG(H+L)
-
-
其他:
產品詳情
-
產品名稱:Rabbit anti-Homo sapiens (Human) SULF1 Polyclonal antibody
-
Uniprot No.:
-
基因名:SULF1
-
別名:DSulf antibody; Extracellular sulfatase Sulf 1 antibody; Extracellular sulfatase Sulf-1 antibody; Extracellular sulfatase Sulf1 antibody; HSULF 1 antibody; HSulf-1 antibody; Neu5 antibody; Sulf1 antibody; SULF1_HUMAN antibody; Sulfatase FP antibody; Sulfated antibody
-
宿主:Rabbit
-
反應種屬:Human
-
免疫原:Recombinant Human Extracellular sulfatase Sulf-1 protein (105-372AA)
-
免疫原種屬:Homo sapiens (Human)
-
標記方式:Non-conjugated
本頁面中的產品,SULF1 Antibody (CSB-PA814217LA01HU),的標記方式是Non-conjugated。對于SULF1 Antibody,我們還提供其他標記。見下表:
-
克隆類型:Polyclonal
-
抗體亞型:IgG
-
純化方式:>95%, Protein G purified
-
濃度:It differs from different batches. Please contact us to confirm it.
-
保存緩沖液:Preservative: 0.03% Proclin 300
Constituents: 50% Glycerol, 0.01M PBS, PH 7.4 -
產品提供形式:Liquid
-
應用范圍:ELISA, WB, IHC, IF
-
推薦稀釋比:
Application Recommended Dilution WB 1:500-1:5000 IHC 1:100-1:500 IF 1:50-1:500 -
Protocols:
-
儲存條件:Upon receipt, store at -20°C or -80°C. Avoid repeated freeze.
-
貨期:Basically, we can dispatch the products out in 1-3 working days after receiving your orders. Delivery time maybe differs from different purchasing way or location, please kindly consult your local distributors for specific delivery time.
-
用途:For Research Use Only. Not for use in diagnostic or therapeutic procedures.
引用文獻
- Lipid droplets: a candidate new research field for epithelial ovarian cancer S Koizume,Frontiers in Pharmacology,2024
相關產品
靶點詳情
-
功能:Exhibits arylsulfatase activity and highly specific endoglucosamine-6-sulfatase activity. It can remove sulfate from the C-6 position of glucosamine within specific subregions of intact heparin. Diminishes HSPG (heparan sulfate proteoglycans) sulfation, inhibits signaling by heparin-dependent growth factors, diminishes proliferation, and facilitates apoptosis in response to exogenous stimulation.
-
基因功能參考文獻:
- High SULF1 expression is associated with glioma. PMID: 29360432
- These findings suggested that SULF1 could be an indicator of the clinicopathological features and prognosis of pancreatic cancer. PMID: 29843217
- Defective autophagy is associated with loss of HSulf-1 in ovarian cancer. PMID: 28169314
- our study found that increased SULF1 expression is significantly predictive of more advanced tumor stage and poorer metastasis-free survival and disease-specific survival in patients with both UTUC and UBUC. PMID: 28525382
- Data show that sulfatase 1 (hSulf-1) overexpression in melanoma cells can inhibit cell proliferation and induce cell cycle arrest and apoptosis by decreasing the protein kinase B (AKT) phosphorylation and limiting cyclin dependent kinase 4 (CDK4) nuclear import. PMID: 27806323
- Sulf-1 is responsive to TNF-alpha stimulation and may function as an autocrine regulator of fibroblast expansion in the course of an inflammatory response PMID: 27693418
- The short variants of Sulf1 promoted FGF2-induced MDA-MB231 and MCF7 in vitro growth while full-length Sulf1 inhibited growth supporting in vivo mammary tumour cell signalling patterns of growth. PMID: 27294358
- The SULF1/SULF2 activation thus does not only promote regulated foetal growth and injury-induced liver regeneration but also dysregulated tumour growth. PMID: 27013228
- Results show that SULF1 or SULF2 overexpression contributes to colorectal cancer cell proliferation, migration, and invasion. PMID: 25477293
- Data suggest that Sulfatase 1 (hSulf-1) may be a suitable target for cancer therapy. PMID: 24970807
- findings show an upregulation of SULF1 in degenerative discs for the first time, and suggest that there is a link between SULF1 and disc degeneration PMID: 25469740
- rs6990375 polymorphism of SULF1 gene could be one of the factors related to recurrent miscarriage in Iranian women. PMID: 24322345
- identification of markers including SULF1 may improve detection of this disease at its earliest stages improving patient treatment and prognosis PMID: 24911625
- SULF1/SULF2 splice variants regulate pancreatic tumor progression. PMID: 24726914
- Knockdown of SULF2 in human corneal epithelial cell line slowed migration, which was restored by overexpression of either mouse SULF2 or human SULF1. PMID: 23950901
- Strong interaction depends on the presence of Sulf1-substrate groups. PMID: 23891937
- Ectopic expression of SULF1 or SULF2 in HeLa cells, which decreases cell surface heparan sulfate proteoglycan sulfation, diminished Chlamydia muridarum binding and decreased vacuole formation. PMID: 23480519
- these observations provide evidence that HPEI nanogels delivering HSulf-1 combined with DDP may have a promising application in the therapy of human ovarian cancer. PMID: 22825572
- miR-21-mediated suppression of both hSulf-1 and PTEN led to activation of AKT/ERK pathways and epithelial-mesenchymal transition in hepatocellular carcinoma, promoting tumor growth. PMID: 23684551
- HSulf-1 and HSulf-2 share the same desulfation processs but with a different rate PMID: 23457216
- inhibits proliferation and invasion of esophageal squamous cell carcinoma by decreasing heparin-binding growth factor signaling PMID: 23053899
- HSULF-1 is expressed at lower levels in H292 lung cancer cells than in normal human alveolar cells and that its over-expression reduced cell viability in H292 cells by inducing apoptotic pathways, at least in part by inhibiting ERK/Akt signaling PMID: 22873647
- SULF1 may serve as a promising biomarker for patients with gastric carcinoma. PMID: 22653794
- Sulf-1 protein expression is down-regulated in gastric cancer. PMID: 22524839
- extracellular HSulf-1 may function as a negative regulator of proliferation and invasion in gastric cancer by suppressing Wnt/beta-catenin signaling at the cell surface. PMID: 21722266
- SULF1 and SULF2 are overexpressed in various human cancer types and can be associated to progression and prognosis. PMID: 21599997
- Data show that HSulf-1 depletion in breast cancer cells resulted in an increased and sustained bFGF2 (basic fibroblast growth factor) signaling and promoted cell migration and invasion under hypoxic conditions. PMID: 21266348
- Phage microarrays containing colorectal cancer cDNA libraries were prepared to identify phage-expressed peptides recognized by tumor-specific autoantibodies from patient sera. PMID: 21228115
- Genetic variations in SULF1 may play a role in ovarian cancer onset and prognosis. PMID: 21214932
- Haploinsufficiency of SULF1 combined with haploinsufficiency of SLCO5A1 (or the altered expression of a neighboring gene through position effect) could be necessary in the pathogenesis of MSS. PMID: 20602915
- The expression levels of four of the up-regulated genes, CXCL1, SPARC, SPP1 and SULF, were significantly higher in the cancerous tissue compared with the normal tissue (fold change 3.4-8.9). PMID: 19780053
- Sulfs are extracellular endosulfatases with strong potential for modulating the interactions of heparan sulfate proteoglycans in the extracellular microenvironment PMID: 12368295
- modulates signaling by heparin-binding growth factors, and HSulf-1 down-regulation represents a novel mechanism by which cancer cells can enhance growth factor signaling PMID: 12686563
- Down-regulation of hSulf1 contributes to hepatocarcinogenesis by enhancing heparin-binding growth factor signaling and resistance to apoptosis. PMID: 14699503
- High expression of Hsulf-1 occurs in the stromal elements as well as in the tumor cells in pancreatic cancer and interferes with heparin-binding growth factor signaling PMID: 15817123
- HSulf-1 and HSulf-2 have roles in inhibiting myeloma tumor growth PMID: 16192265
- Loss of HSulf-1 expression is associated with breast cancer PMID: 17363371
- Sulf1 is a TGF-beta1-responsive gene both in vitro and in vivo and may function as a negative regulator of TGF-beta1-induced fibrogenesis PMID: 18503048
- Increased sulf-1 expression may change the sulfation patterns of heparan sulfate proteoglycans and growth factor activities and thus contribute to abnormal chondrocyte activation and cartilage degradation in osteoarthritis. PMID: 18507859
- Sulf1 and Sulf2 are two heparan sulfate 6-O-endosulfatases that regulate the activity of multiple growth factors, such as fibroblast growth factor and Wnt, and are essential for mammalian development and survival PMID: 18687675
- detection of the HSulf-1 promoter methylation in serum samples may have clinical implications in early detection and diagnosis of human breast and gastric cancers. PMID: 19006069
- Strategies targeting sulfatase 1(SULF1) or the interaction between SULF1 and the related sulfatase 2 will potentially be important in developing novel cancer therapies. PMID: 19373441
- vHNF1 acts as a repressor of HSulf-1 expression and might be a molecular target for ovarian cancer therapy. PMID: 19487294
- analysis of the subdomain organization of sulf-1 and sulf-2 PMID: 19520866
- Data show that specific regions of the Sulf1 hydrophilic domain (HD) influence different aspects of heparan sulfate binding, cellular localization, and enzyme function. PMID: 19666466
- HSulf-1 (SULF1) and HSulf-2 (SULF2) are potent inhibitors of myeloma tumor growth in vivo. PMID: 16192265
顯示更多
收起更多
-
亞細胞定位:Endoplasmic reticulum. Golgi apparatus, Golgi stack. Cell surface.
-
蛋白家族:Sulfatase family
-
組織特異性:Expressed at highest levels in testis, stomach, skeletal muscle, lung, kidney, pancreas, small intestine and colon. It is also detected in normal ovarian surface epithelial cells. Down-regulation seen in ovarian carcinoma cell lines, ovarian cancers, brea
-
數據庫鏈接:
Most popular with customers
-
-
YWHAB Recombinant Monoclonal Antibody
Applications: ELISA, WB, IHC, IF, FC
Species Reactivity: Human, Mouse, Rat
-
Phospho-YAP1 (S127) Recombinant Monoclonal Antibody
Applications: ELISA, WB, IHC
Species Reactivity: Human
-
-
-
-
-















