SULT1A3 Antibody
-
中文名稱:SULT1A3兔多克隆抗體
-
貨號:CSB-PA022935ESR2HU
-
規格:¥440
-
圖片:
-
Western blot
All lanes: Sulfotransferase 1A3 antibody at 7μg/ml + A549 whole cell lysate
Secondary
Goat polyclonal to rabbit IgG at 1/10000 dilution
Predicted band size: 35, 23 kDa
Observed band size: 35 kDa -
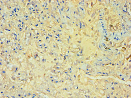
Immunohistochemistry of paraffin-embedded human lung tissue using CSB-PA022935ESR2HU at dilution of 1:100
-
Immunohistochemistry of paraffin-embedded human placenta tissue using CSB-PA022935ESR2HU at dilution of 1:100
-
-
其他:
產品詳情
-
產品名稱:Rabbit anti-Homo sapiens (Human) SULT1A3 Polyclonal antibody
-
Uniprot No.:
-
基因名:SULT1A3
-
別名:SULT1A3 antibody; STM antibody; Sulfotransferase 1A3 antibody; ST1A3 antibody; EC 2.8.2.1 antibody; Aryl sulfotransferase 1A3/1A4 antibody; Catecholamine-sulfating phenol sulfotransferase antibody; HAST3 antibody; M-PST antibody; Monoamine-sulfating phenol sulfotransferase antibody; Placental estrogen sulfotransferase antibody; Sulfotransferase 1A3/1A4 antibody; Sulfotransferase antibody; monoamine-preferring antibody; Thermolabile phenol sulfotransferase antibody; TL-PST antibody
-
宿主:Rabbit
-
反應種屬:Human
-
免疫原:Recombinant Human Sulfotransferase 1A3 protein (1-295AA)
-
免疫原種屬:Homo sapiens (Human)
-
標記方式:Non-conjugated
-
克隆類型:Polyclonal
-
抗體亞型:IgG
-
純化方式:Antigen Affinity Purified
-
濃度:It differs from different batches. Please contact us to confirm it.
-
保存緩沖液:PBS with 0.02% sodium azide, 50% glycerol, pH7.3.
-
產品提供形式:Liquid
-
應用范圍:ELISA, WB, IHC
-
推薦稀釋比:
Application Recommended Dilution WB 1:500-1:2000 IHC 1:20-1:200 -
Protocols:
-
儲存條件:Upon receipt, store at -20°C or -80°C. Avoid repeated freeze.
-
貨期:Basically, we can dispatch the products out in 1-3 working days after receiving your orders. Delivery time maybe differs from different purchasing way or location, please kindly consult your local distributors for specific delivery time.
-
用途:For Research Use Only. Not for use in diagnostic or therapeutic procedures.
相關產品
靶點詳情
-
功能:Sulfotransferase that utilizes 3'-phospho-5'-adenylyl sulfate (PAPS) as sulfonate donor to catalyze the sulfate conjugation of phenolic monoamines (neurotransmitters such as dopamine, norepinephrine and serotonin) and phenolic and catechol drugs.
-
亞細胞定位:Cytoplasm.
-
蛋白家族:Sulfotransferase 1 family
-
組織特異性:Liver, colon, kidney, lung, brain, spleen, small intestine, placenta and leukocyte.
-
數據庫鏈接:
Most popular with customers
-
-
YWHAB Recombinant Monoclonal Antibody
Applications: ELISA, WB, IHC, IF, FC
Species Reactivity: Human, Mouse, Rat
-
-
-
-
-
-















