SWI5 Antibody
-
中文名稱:SWI5兔多克隆抗體
-
貨號:CSB-PA636328LA01HU
-
規格:¥440
-
圖片:
-
Western Blot
Positive WB detected in: Mouse heart tissue, Mouse liver tissue, Mouse spleen tissue, Mouse lung tissue, Mouse kidney tissue, Mouse brain tissue, Mouse stomach tissue
All lanes: SWI5 antibody at 3μg/ml
Secondary
Goat polyclonal to rabbit IgG at 1/50000 dilution
Predicted band size: 27 kDa
Observed band size: 27, 29 kDa -
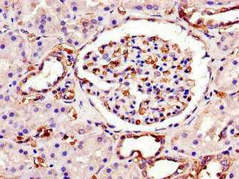
Immunohistochemistry of paraffin-embedded human kidney tissue using CSB-PA636328LA01HU at dilution of 1:100
-
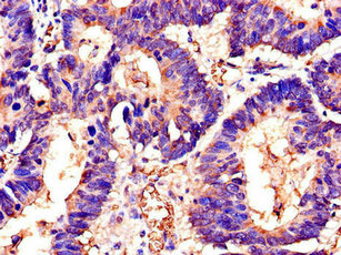
Immunohistochemistry of paraffin-embedded human colon cancer using CSB-PA636328LA01HU at dilution of 1:100
-
Immunofluorescent analysis of MCF-7 cells using CSB-PA636328LA01HU at dilution of 1:100 and Alexa Fluor 488-congugated AffiniPure Goat Anti-Rabbit IgG(H+L)
-
-
其他:
產品詳情
-
產品名稱:Rabbit anti-Homo sapiens (Human) SWI5 Polyclonal antibody
-
Uniprot No.:
-
基因名:SWI5
-
別名:SWI5 antibody; C9orf119 antibody; SAE3 antibody; DNA repair protein SWI5 homolog antibody; HBV DNAPTP1-transactivated protein A antibody; Protein SAE3 homolog antibody
-
宿主:Rabbit
-
反應種屬:Human, Mouse
-
免疫原:Recombinant Human DNA repair protein SWI5 homolog protein (54-112AA)
-
免疫原種屬:Homo sapiens (Human)
-
標記方式:Non-conjugated
本頁面中的產品,SWI5 Antibody (CSB-PA636328LA01HU),的標記方式是Non-conjugated。對于SWI5 Antibody,我們還提供其他標記。見下表:
-
克隆類型:Polyclonal
-
抗體亞型:IgG
-
純化方式:>95%, Protein G purified
-
濃度:It differs from different batches. Please contact us to confirm it.
-
保存緩沖液:Preservative: 0.03% Proclin 300
Constituents: 50% Glycerol, 0.01M PBS, PH 7.4 -
產品提供形式:Liquid
-
應用范圍:ELISA, WB, IHC, IF
-
推薦稀釋比:
Application Recommended Dilution WB 1:1000-1:5000 IHC 1:20-1:200 IF 1:50-1:200 -
Protocols:
-
儲存條件:Upon receipt, store at -20°C or -80°C. Avoid repeated freeze.
-
貨期:Basically, we can dispatch the products out in 1-3 working days after receiving your orders. Delivery time maybe differs from different purchasing way or location, please kindly consult your local distributors for specific delivery time.
-
用途:For Research Use Only. Not for use in diagnostic or therapeutic procedures.
相關產品
靶點詳情
-
功能:Component of the SWI5-SFR1 complex, a complex required for double-strand break repair via homologous recombination.
-
基因功能參考文獻:
- HBV DNAPTP1 downregulated the expression of SWI5 and CTC1 at translation level. PMID: 27265469
- that human SWI5-MEI5 has an evolutionarily conserved function in homologous recombination repair. PMID: 21252223
-
亞細胞定位:Nucleus.
-
蛋白家族:SWI5/SAE3 family
-
數據庫鏈接:
Most popular with customers
-
-
YWHAB Recombinant Monoclonal Antibody
Applications: ELISA, WB, IHC, IF, FC
Species Reactivity: Human, Mouse, Rat
-
Phospho-YAP1 (S127) Recombinant Monoclonal Antibody
Applications: ELISA, WB, IHC
Species Reactivity: Human
-
-
-
-
-















