SYT10 Antibody
-
中文名稱:SYT10兔多克隆抗體
-
貨號:CSB-PA754474LA01HU
-
規格:¥440
-
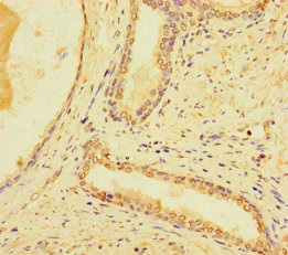
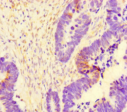
圖片:
-
其他:
產品詳情
-
產品名稱:Rabbit anti-Homo sapiens (Human) SYT10 Polyclonal antibody
-
Uniprot No.:
-
基因名:SYT10
-
別名:Synaptotagmin X antibody; Synaptotagmin-10 antibody; SYT10 antibody; SYT10_HUMAN antibody; SytX antibody
-
宿主:Rabbit
-
反應種屬:Human
-
免疫原:Recombinant Human Synaptotagmin-10 protein (301-523AA)
-
免疫原種屬:Homo sapiens (Human)
-
標記方式:Non-conjugated
本頁面中的產品,SYT10 Antibody (CSB-PA754474LA01HU),的標記方式是Non-conjugated。對于SYT10 Antibody,我們還提供其他標記。見下表:
-
克隆類型:Polyclonal
-
抗體亞型:IgG
-
純化方式:>95%, Protein G purified
-
濃度:It differs from different batches. Please contact us to confirm it.
-
保存緩沖液:Preservative: 0.03% Proclin 300
Constituents: 50% Glycerol, 0.01M PBS, PH 7.4 -
產品提供形式:Liquid
-
應用范圍:ELISA, IHC
-
推薦稀釋比:
Application Recommended Dilution IHC 1:20-1:200 -
Protocols:
-
儲存條件:Upon receipt, store at -20°C or -80°C. Avoid repeated freeze.
-
貨期:Basically, we can dispatch the products out in 1-3 working days after receiving your orders. Delivery time maybe differs from different purchasing way or location, please kindly consult your local distributors for specific delivery time.
-
用途:For Research Use Only. Not for use in diagnostic or therapeutic procedures.
相關產品
靶點詳情
-
功能:Ca(2+) sensor specifically required for the Ca(2+)-dependent exocytosis of secretory vesicles containing IGF1 in neurons of the olfactory bulb. Exocytosis of IGF1 is required for sensory perception of smell. Not involved in Ca(2+)-dependent synaptic vesicle exocytosis. Acts through Ca(2+) and phospholipid binding to the C2 domain: Ca(2+) induces binding of the C2-domains to phospholipid membranes and to assembled SNARE-complexes; both actions contribute to triggering exocytosis.
-
基因功能參考文獻:
- This cDNA clone is 3287 bp and contains an open reading frame from 299 to 1870 encoding a putative protein of 523 amino acids. It shares 94.6 and 94.8% homology to rat Syt 10 and mouse Syt 10 at protein level, respectively. PMID: 14756426
-
亞細胞定位:Cytoplasmic vesicle, secretory vesicle membrane; Single-pass membrane protein.
-
蛋白家族:Synaptotagmin family
-
組織特異性:Expressed only in pancreas, lung and kidney.
-
數據庫鏈接:
Most popular with customers
-
YWHAB Recombinant Monoclonal Antibody
Applications: ELISA, WB, IHC, IF, FC
Species Reactivity: Human, Mouse, Rat
-
Phospho-YAP1 (S127) Recombinant Monoclonal Antibody
Applications: ELISA, WB, IHC
Species Reactivity: Human
-
-
-
-
-
-















