TBC1D23 Antibody
-
中文名稱:TBC1D23兔多克隆抗體
-
貨號:CSB-PA865143LA01HU
-
規格:¥440
-
圖片:
-
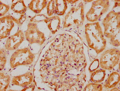
IHC image of CSB-PA865143LA01HU diluted at 1:200 and staining in paraffin-embedded human kidney tissue performed on a Leica BondTM system. After dewaxing and hydration, antigen retrieval was mediated by high pressure in a citrate buffer (pH 6.0). Section was blocked with 10% normal goat serum 30min at RT. Then primary antibody (1% BSA) was incubated at 4°C overnight. The primary is detected by a biotinylated secondary antibody and visualized using an HRP conjugated SP system.
-
-
其他:
產品詳情
-
產品名稱:Rabbit anti-Homo sapiens (Human) TBC1D23 Polyclonal antibody
-
Uniprot No.:
-
基因名:TBC1D23
-
別名:DKFZp667G062 antibody; FLJ11046 antibody; HCV non-structural protein 4A-transactivated protein 1 antibody; NS4ATP1 antibody; TBC1 domain family member 23 antibody; TBC1D23 antibody; TBC23_HUMAN antibody
-
宿主:Rabbit
-
反應種屬:Human
-
免疫原:Recombinant Human TBC1 domain family member 23 protein (510-605AA)
-
免疫原種屬:Homo sapiens (Human)
-
標記方式:Non-conjugated
本頁面中的產品,TBC1D23 Antibody (CSB-PA865143LA01HU),的標記方式是Non-conjugated。對于TBC1D23 Antibody,我們還提供其他標記。見下表:
-
克隆類型:Polyclonal
-
抗體亞型:IgG
-
純化方式:>95%, Protein G purified
-
濃度:It differs from different batches. Please contact us to confirm it.
-
保存緩沖液:Preservative: 0.03% Proclin 300
Constituents: 50% Glycerol, 0.01M PBS, pH 7.4 -
產品提供形式:Liquid
-
應用范圍:ELISA, IHC
-
推薦稀釋比:
Application Recommended Dilution IHC 1:200-1:500 -
Protocols:
-
儲存條件:Upon receipt, store at -20°C or -80°C. Avoid repeated freeze.
-
貨期:Basically, we can dispatch the products out in 1-3 working days after receiving your orders. Delivery time maybe differs from different purchasing way or location, please kindly consult your local distributors for specific delivery time.
-
用途:For Research Use Only. Not for use in diagnostic or therapeutic procedures.
相關產品
靶點詳情
-
功能:Putative Rab GTPase-activating protein which plays a role in vesicular trafficking. Involved in endosome-to-Golgi trafficking. Acts as a bridging protein by binding simultaneously to golgins, including GOLGA1 and GOLGA4, located at the trans-Golgi, and to the WASH complex, located on endosome-derived vesicles. Together with WDR11 complex facilitates the golgin-mediated capture of vesicles generated using AP-1. Plays a role in brain development, including in cortical neuron positioning. May also be important for neurite outgrowth, possibly through its involvement in membrane trafficking and cargo delivery, 2 processes that are essential for axonal and dendritic growth. May act as a general inhibitor of innate immunity signaling, strongly inhibiting multiple TLR and dectin/CLEC7A-signaling pathways. Does not alter initial activation events, but instead affects maintenance of inflammatory gene expression several hours after bacterial lipopolysaccharide (LPS) challenge.
-
基因功能參考文獻:
- The Rab GAP domain of TBC1D23 binds to a conserved motif at the tip of golgin-245 and golgin-97 at the trans-Golgi, while the C terminus binds to the WASH complex on endosome-derived vesicles. Thus, TBC1D23 is a specificity determinant that links the vesicle to the target membrane during endosome-to-Golgi trafficking. PMID: 29084197
- Homozygous Mutations in TBC1D23 gene are associated with Non-degenerative Form of Pontocerebellar Hypoplasia. PMID: 28823706
- Homozygous Truncating Variants in TBC1D23 gene are associated with Pontocerebellar Hypoplasia and Alter Cortical Development. PMID: 28823707
-
相關疾病:Pontocerebellar hypoplasia 11 (PCH11)
-
亞細胞定位:Golgi apparatus, trans-Golgi network. Cytoplasmic vesicle.
-
組織特異性:Isoform 1: Widely expressed, including in fetal adult brain (corpus callosum, pons, cerebellum), spinal cord, heart, skeletal muscle, thymus and bone marrow, and at lower levels in spleen. Hardly detected in liver, kidney, colon and testis. Isoform 2: Exp
-
數據庫鏈接:
Most popular with customers
-
-
YWHAB Recombinant Monoclonal Antibody
Applications: ELISA, WB, IHC, IF, FC
Species Reactivity: Human, Mouse, Rat
-
-
-
-
-
-















