TGFA Antibody
-
中文名稱:TGFA兔多克隆抗體
-
貨號:CSB-PA582653
-
規格:¥1100
-
圖片:
-
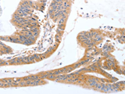
The image on the left is immunohistochemistry of paraffin-embedded Human colon cancer tissue using CSB-PA582653(TGFA Antibody) at dilution 1/60, on the right is treated with fusion protein. (Original magnification: ×200)
-
The image on the left is immunohistochemistry of paraffin-embedded Human thyroid cancer tissue using CSB-PA582653(TGFA Antibody) at dilution 1/60, on the right is treated with fusion protein. (Original magnification: ×200)
-
-
其他:
產品詳情
-
Uniprot No.:
-
基因名:
-
別名:TGFA; Protransforming growth factor alpha
-
宿主:Rabbit
-
反應種屬:Human,Mouse,Rat
-
免疫原:Fusion protein of Human TGFA
-
免疫原種屬:Homo sapiens (Human)
-
標記方式:Non-conjugated
-
抗體亞型:IgG
-
純化方式:Antigen affinity purification
-
濃度:It differs from different batches. Please contact us to confirm it.
-
保存緩沖液:-20°C, pH7.4 PBS, 0.05% NaN3, 40% Glycerol
-
產品提供形式:Liquid
-
應用范圍:ELISA,IHC
-
推薦稀釋比:
Application Recommended Dilution ELISA 1:2000-1:10000 IHC 1:50-1:200 -
Protocols:
-
儲存條件:Upon receipt, store at -20°C or -80°C. Avoid repeated freeze.
-
貨期:Basically, we can dispatch the products out in 1-3 working days after receiving your orders. Delivery time maybe differs from different purchasing way or location, please kindly consult your local distributors for specific delivery time.
-
用途:For Research Use Only. Not for use in diagnostic or therapeutic procedures.
相關產品
靶點詳情
-
功能:TGF alpha is a mitogenic polypeptide that is able to bind to the EGF receptor/EGFR and to act synergistically with TGF beta to promote anchorage-independent cell proliferation in soft agar.
-
基因功能參考文獻:
- The abnormally elevated expression of EGF and TGF-alpha are closely associated with the occurrence and development of chronic pancreatitis and pancreatic cancer PMID: 29125273
- MiR-199a-5p may mediate cleft lip with or without cleft palate by regulating key target gene TGFA. PMID: 29958595
- this study demonstrated that TP73-AS1 regulated Colorectal cancer (CRC)progression by acting as a competitive endogenous RNA to sponge miR-194 to modulate the expression of TGFa PMID: 30010111
- There was evidence suggestive of gene-gene joint-effects between MTHFR-TGFA for nsCP but not for nsCL+/-P. PMID: 27996298
- TGFA TaqI polymorphism was not associated with the risk of nonsyndromic cleft lip and/or palate in Iranian children. PMID: 29105380
- We identi fi ed a signi fi cant association between the SNP rs2862851 and disease status of knee Osteoarthritis. Allelic analyses showed that the T allele of this SNP signi fi cantly elevated the risks of Osteoarthritis. Haplotype-based analyses have also identi fi ed a strong association signal between one haplotype block, including rs2862851, and the disease status of knee Osteoarthritis. PMID: 28777012
- Results suggest a long non-coding RNA MALAT1/MIR376A/transforming growth factor alpha (TGFA) axis mediates osteosarcoma (OS) cell proliferation and tumor progression. PMID: 27458156
- The association of the TGFA gene with NS-CL+/-P in Korean populations was not clearly found. However, the etiologic effect of the TGFA gene on NS-CL+/-P patients should be investigated in terms of maternal genotype influence. PMID: 24805869
- These results support that two SNPs are associated with nonsyndromic CL/P but not for CP in northern Chinese populations. PMID: 23742131
- There were no significant differences in GE area of infertile and fertile women. C-C motif chemokine 11 (P=0.048), TGFalpha (P=0.049), IFNgamma (P=0.033) and interleukin-1 alpha (P=0.047) were significantly elevated in uterine lavage from infertile women <35years compared to fertile but not in women 35years PMID: 27525354
- results therefore demonstrate cancer epigenetics induces a loop of cancer-stroma-cancer interaction in omental microenvironment that promotes peritoneal metastasis of ovarian cancer cells via TNFalpha-TGFalpha-EGFR. PMID: 28166193
- In conclusion, we identified four novel loci (TGFA, PIK3R1, FGFR3 and TREH) and confirmed two loci known to be associated with cartilage thickness.The identified associations were not caused by rare exonic variants. This is the first report linking TGFA to human Osteoarthritis, which may serve as a new target for future therapies. PMID: 27701424
- Our study showed that TGFA/TGFB3/MSX1 gene polymorphisms were associated with congenital NSHI. The distribution of genotype frequencies and allele frequencies of TGFA rs3771494, TGFB3 rs3917201 and rs2268626, and MSX1 rs3821949 and rs62636562 were significantly different between the case and the control groups PMID: 27356075
- TGFA gene expression is regulated by MiR-374a in lung adenocarcinoma.TGFA plays role in lung adenocarcinoma cell proliferation and invasion. PMID: 27207663
- Overall, our findings indicated that intratumoral administration of TGFalphaL3-SEB effectively inhibited the growth of breast tumors through induction of necrosis and suppressing proliferation and angiogenesis without systemic toxicity. PMID: 26561468
- TGFA expression decreased after 10 and 30min of treatment even when transcription was not inhibited. We found that activation of PI3K was necessary for triiodothyronine to modulate HIF1A and TGFA expression PMID: 27094789
- This is the first demonstration that miR-490-3P might act as a suppressor in endometrial cancer tumorigenesis and progression by targeting TGFalpha. PMID: 26843615
- miR-505 acts as tumor suppressor in endometrial cancer by regulating TGF-alpha. PMID: 26832151
- findings strongly suggest that phosphorylated HSP20 inhibits TGF-alpha-induced HCC cell migration and invasion via suppression of the JNK signaling pathway PMID: 27046040
- miR-205 may function as a tumor suppressor via targeting TGF-alpha in Osteosarcoma PMID: 26708425
- EGFR and TGF-alpha can be used as predictive markers for activity, fibrosis, and carcinogenesis in chronic hepatitis C patients. PMID: 26279457
- Data suggest that placental expression of TGFA, EGF (epidermal GF), and HBEGF (heparin-binding EGF-like GF) is down-regulated in pre-eclampsia as compared to normal term birth; each GF blocks cell death/apoptosis of cytotrophoblast cell line. PMID: 25589361
- TGF-alpha level correlated with efficacy, and EGFR overexpression might predict cetuximab efficacy. PMID: 25234930
- The data suggest that the balance of TGFA and TGFbeta(1) expression, and to a lesser extend TGFA alone, in the normal-appearing rectal mucosa may be directly associated with risk for incident, sporadic colorectal neoplasms. PMID: 24719252
- Statistically significant differences in serum concentration of TGF-alpha was found between patients with systemic sclerosis and controls, as well as in SSc patients with esophageal dysmotility compared to SSc patients without dysmotility. PMID: 25083591
- Findings suggest that miR-124 inhibits TGF-alpha-induced epithelial-mesenchymal transition in human prostate cancer cell line DU145 by targeting Slug. PMID: 24969691
- TGFA Taq I polymorphism may be associated with the risk of cleft lip and/or palate. PMID: 25015300
- SPC18 contributes to malignant progression through promotion of TGF-alpha secretion in gastric cancer. PMID: 23995782
- Functional TGF-alpha gene variant may contribute to the risk of intestinal gastric cancer and/or gastric noncardia cancer. PMID: 24237184
- The biomarker signature consisting of TNFR-II, TGF-alpha, TIMP-1 and CRP is significantly prognostic of survival in patients with high-risk melanoma. PMID: 24457057
- These results suggest that overexpression of TGF-a through induction of EGFR-MET interaction contributes to cetuximab resistance in colorectal cancer cells. PMID: 24122793
- Data suggest that up-regulation of TGFA/EGFR (epidermal growth factor receptor) signal transduction activates transcription factor NFkappaB resulting in up-regulation of expression of ICAM1 (intercellular adhesion molecule 1) in osteosarcoma cells. PMID: 24685520
- COX-2 is insufficient for modifying the hepatocarcinogenesis course mediated by c-myc/TGF-alpha PMID: 23579063
- Found progressive loss of PTEN and increase in EGFR, TGF-alpha, P-AKT expression from benign samples to non small cell lung cancer. Changes were correlated to differentiation extent of cancer tissue, metastasis of lymph nodes and histological classification. PMID: 24133589
- findings suggest that elevated PHD4 levels disturb the angiogenic balance in osteosarcoma via induction of the TGF-alpha pathway and inhibit tumor growth by reducing the expression of HIF-2alpha PMID: 24048703
- involvement of PAX9, EDA, SPRY2, SPRY4, and WNT10A as risk factors for MLIA. uncovered 3 strong synergistic interactions between MLIA liability and MSX1-TGFA, AXIN2-TGFA, and SPRY2-SPRY4 gene pairs. 1st evidence of sprouty genes in MLIA susceptibility. PMID: 24554542
- TGFA polymorphism is associated with severity of acute otitis media. PMID: 21440944
- In TGFA, associations between rs3771494, rs3771523 (G3822A), rs11466285 (T3851C) and non syndromic cleft lip/palate were observed in case-control and Family-based association analyses. PMID: 23940636
- Our results suggested that LPS increases MUC5AC expression through the TACE/TGF-alpha/EGFR pathway in HIBECs. PMID: 24027752
- Meta-analysis suggests that the C2 allele at TGFA/TaqI is a risk factor for cleft lip with/without cleft palate (CL/P). The A1 allele at TGFA/BamHI is protective against CL/P. No association was found between TGFA/RasI polymorphism and CL/P risk. PMID: 24243742
- TGF-alpha-induced migration of cells may be partly due to upregulation of MMP-1. TGF-alpha and MMP-1 upregulation may contribute to the pathogenesis of chronic pancreatitis and pancreatic cancer. PMID: 23608755
- skin neoplasms could be differentiated keratoacanthoma and squamous cell carcinoma based on staining patterns of TGF-alpha expression PMID: 23697265
- TGFalpha, via multiple signaling pathways, regulates KGN cell proliferation and migration and may play an important role in the growth and metastasis of GCTs. PMID: 23155381
- no evidence was found that TGFA/ Taq I polymorphisms play a role in clefting in southern Brazil and no evidence was found that tobacco or alcohol exposure during pregnancy was related to clefting PMID: 22892881
- To explain the association of juvenile polyposis syndrome with Menetrier's disease we hypothesized a new mechanism that involves TGFbeta-SMAD4 pathway inactivation and TGFalpha overexpression related to Helicobacter pylori infection. PMID: 22748914
- Interaction between IRF6 and TGFA genes contribute to the risk of nonsyndromic cleft lip/palate. PMID: 23029012
- High TGF-alpha expression is associated with ovarian cancer. PMID: 22914212
- Data suggest higher cord blood TGF-alpha and TGF-beta1 concentrations may represent a compensatory response to the inflammatory process characterizing the intrauterine-growth-restricted (IUGR) state. PMID: 22732125
- The influence of transforming growth factor-alpha, cyclooxygenase-2, matrix metalloproteinase (MMP)-7, MMP-9 and CXCR4 proteins involved in epithelial-mesenchymal transition on overall survival of patients with gastric cancer. PMID: 22582975
- concentrations in colostrum/milk remained at lower levels of below 1 ng/ml throughout the lactation period from days 1 to 30 PMID: 22581387
顯示更多
收起更多
-
亞細胞定位:[Transforming growth factor alpha]: Secreted, extracellular space.; [Protransforming growth factor alpha]: Cell membrane; Single-pass type I membrane protein.
-
組織特異性:Isoform 1, isoform 3 and isoform 4 are expressed in keratinocytes and tumor-derived cell lines.
-
數據庫鏈接:















