THADA Antibody
-
中文名稱:THADA兔多克隆抗體
-
貨號:CSB-PA751092LA01HU
-
規格:¥440
-
圖片:
-
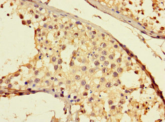
Immunohistochemistry of paraffin-embedded human testis tissue using CSB-PA751092LA01HU at dilution of 1:100
-
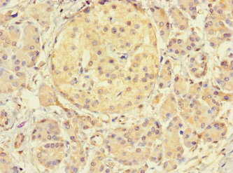
Immunohistochemistry of paraffin-embedded human pancreatic tissue using CSB-PA751092LA01HU at dilution of 1:100
-
Immunofluorescent analysis of A549 cells using CSB-PA751092LA01HU at dilution of 1:100 and Alexa Fluor 488-congugated AffiniPure Goat Anti-Rabbit IgG(H+L)
-
-
其他:
產品詳情
-
產品名稱:Rabbit anti-Homo sapiens (Human) THADA Polyclonal antibody
-
Uniprot No.:
-
基因名:THADA
-
別名:THADA antibody; GITA antibody; KIAA1767 antibody; Thyroid adenoma-associated protein antibody; Gene inducing thyroid adenomas protein antibody
-
宿主:Rabbit
-
反應種屬:Human
-
免疫原:Recombinant Human Thyroid adenoma-associated protein (432-651AA)
-
免疫原種屬:Homo sapiens (Human)
-
標記方式:Non-conjugated
本頁面中的產品,THADA Antibody (CSB-PA751092LA01HU),的標記方式是Non-conjugated。對于THADA Antibody,我們還提供其他標記。見下表:
-
克隆類型:Polyclonal
-
抗體亞型:IgG
-
純化方式:>95%, Protein G purified
-
濃度:It differs from different batches. Please contact us to confirm it.
-
保存緩沖液:Preservative: 0.03% Proclin 300
Constituents: 50% Glycerol, 0.01M PBS, PH 7.4 -
產品提供形式:Liquid
-
應用范圍:ELISA, IHC, IF
-
推薦稀釋比:
Application Recommended Dilution IHC 1:20-1:200 IF 1:50-1:200 -
Protocols:
-
儲存條件:Upon receipt, store at -20°C or -80°C. Avoid repeated freeze.
-
貨期:Basically, we can dispatch the products out in 1-3 working days after receiving your orders. Delivery time maybe differs from different purchasing way or location, please kindly consult your local distributors for specific delivery time.
-
用途:For Research Use Only. Not for use in diagnostic or therapeutic procedures.
相關產品
靶點詳情
-
基因功能參考文獻:
- THADA fusion is a mechanism of IGF2BP3 activation and IGF1R signaling in thyroid cancer. PMID: 28193878
- this identifies THADA as a regulator of the balance between energy consumption and energy storage, which was selected during human evolution. PMID: 28399403
- association of the THADA, FOXP4, GPRC6A/RFX6 and 8q24 genes with prostate cancer in Asian populations. PMID: 26537068
- Our results showed that rs1465618 in THADA may be a shared susceptibility variant for PCa in multiple populations. PMID: 24685913
- In addition, eight genes classified as 'second tier' hits in the original study (PAX7, THADA, COL8A1/FILIP1L, DCAF4L2, GADD45G, NTN1, RBFOX3 and FOXE1) showed evidence of linkage and association in this replication sample. PMID: 23512105
- Data indicate associations of SNPs in eight loci CXCR4, HHEX, FOXA2, NGN3, TCF7L2, FLJ39370 (C4orf32), LOC646279 (RPL21P7) and THADA with body mass index (BMI) and weight. PMID: 23349771
- DNA methylation of genes in retinol metabolism and calcium signaling pathways (P < 3 x 10-6) and with known functions in muscle and T2D including MEF2A, RUNX1, NDUFC2, and THADA decreased after exercise PMID: 23028138
- identification of the target gene of 2p21 aberrations in thyroid adenomas tentatively referred to as thyroid adenoma-associated gene (THADA); gene spans roughly 365 kbp; based on preliminary results, it encodes a death receptor-interacting protein [THADA] PMID: 12955091
- intronic sequence of PPAR(gamma) is fused to exon 28 of THADA in thyroid tumors of follicular origin including carcinomas as well as adenomas PMID: 17123335
顯示更多
收起更多
-
相關疾病:Chromosomal aberrations involving THADA have been observed in benign thyroid adenomas. Translocation t(2;3)(p21;p25) and translocation t(2;7)(p21;p15); the sequences derived from chromosomes 3p25 and 7p15 do not appear to include a coding region and the fusion events probably result in truncated THADA proteins.
-
蛋白家族:THADA family
-
組織特異性:Expressed in pancreas, adrenal medulla, thyroid, adrenal cortex, testis, thymus, small intestine and stomach.
-
數據庫鏈接:
Most popular with customers
-
-
YWHAB Recombinant Monoclonal Antibody
Applications: ELISA, WB, IHC, IF, FC
Species Reactivity: Human, Mouse, Rat
-
-
-
-
-
-















