THOC5 Antibody
-
中文名稱:THOC5兔多克隆抗體
-
貨號:CSB-PA613425LA01HU
-
規格:¥440
-
圖片:
-
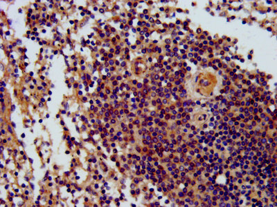
IHC image of CSB-PA613425LA01HU diluted at 1:300 and staining in paraffin-embedded human spleen tissue performed on a Leica BondTM system. After dewaxing and hydration, antigen retrieval was mediated by high pressure in a citrate buffer (pH 6.0). Section was blocked with 10% normal goat serum 30min at RT. Then primary antibody (1% BSA) was incubated at 4°C overnight. The primary is detected by a biotinylated secondary antibody and visualized using an HRP conjugated SP system.
-
Immunofluorescence staining of HepG2 cells with CSB-PA613425LA01HU at 1:100, counter-stained with DAPI. The cells were fixed in 4% formaldehyde, permeabilized using 0.2% Triton X-100 and blocked in 10% normal Goat Serum. The cells were then incubated with the antibody overnight at 4°C. The secondary antibody was Alexa Fluor 488-congugated AffiniPure Goat Anti-Rabbit IgG(H+L).
-
-
其他:
產品詳情
-
產品名稱:Rabbit anti-Homo sapiens (Human) THOC5 Polyclonal antibody
-
Uniprot No.:
-
基因名:THOC5
-
別名:C22orf19 antibody; Chromosome 22 open reading frame 19 antibody; Fmip antibody; Fms interacting protein antibody; fSAP79 antibody; Functional spliceosome-associated protein 79 antibody; hTREX90 antibody; KIAA0983 antibody; LOC400922 antibody; NF2/meningioma region protein pK1.3 antibody; PK1.3 antibody; Placental protein 39.2 antibody; PP39.2 antibody; THO complex 5 antibody; THO complex subunit 5 antibody; THO complex subunit 5 homolog antibody; thoc5 antibody; THOC5_HUMAN antibody
-
宿主:Rabbit
-
反應種屬:Human
-
免疫原:Recombinant Human THO complex subunit 5 homolog protein (2-53AA)
-
免疫原種屬:Homo sapiens (Human)
-
標記方式:Non-conjugated
本頁面中的產品,THOC5 Antibody (CSB-PA613425LA01HU),的標記方式是Non-conjugated。對于THOC5 Antibody,我們還提供其他標記。見下表:
-
克隆類型:Polyclonal
-
抗體亞型:IgG
-
純化方式:>95%, Protein G purified
-
濃度:It differs from different batches. Please contact us to confirm it.
-
保存緩沖液:Preservative: 0.03% Proclin 300
Constituents: 50% Glycerol, 0.01M PBS, pH 7.4 -
產品提供形式:Liquid
-
應用范圍:ELISA, IHC, IF
-
推薦稀釋比:
Application Recommended Dilution IHC 1:200-1:500 IF 1:50-1:200 -
Protocols:
-
儲存條件:Upon receipt, store at -20°C or -80°C. Avoid repeated freeze.
-
貨期:Basically, we can dispatch the products out in 1-3 working days after receiving your orders. Delivery time maybe differs from different purchasing way or location, please kindly consult your local distributors for specific delivery time.
-
用途:For Research Use Only. Not for use in diagnostic or therapeutic procedures.
相關產品
靶點詳情
-
功能:Acts as component of the THO subcomplex of the TREX complex which is thought to couple mRNA transcription, processing and nuclear export, and which specifically associates with spliced mRNA and not with unspliced pre-mRNA. TREX is recruited to spliced mRNAs by a transcription-independent mechanism, binds to mRNA upstream of the exon-junction complex (EJC) and is recruited in a splicing- and cap-dependent manner to a region near the 5' end of the mRNA where it functions in mRNA export to the cytoplasm via the TAP/NFX1 pathway. The TREX complex is essential for the export of Kaposi's sarcoma-associated herpesvirus (KSHV) intronless mRNAs and infectious virus production. THOC5 in conjunction with ALYREF/THOC4 functions in NXF1-NXT1 mediated nuclear export of HSP70 mRNA; both proteins enhance the RNA binding activity of NXF1 and are required for NXF1 localization to the nuclear rim. Involved in transcription elongation and genome stability. Involved in alternative polyadenylation site choice by recruiting CPSF6 to 5' region of target genes; probably mediates association of the TREX and CFIm complexes.; Regulates the expression of myeloid transcription factors CEBPA, CEBPB and GAB2 by enhancing the levels of phosphatidylinositol 3,4,5-trisphosphate. May be involved in the differentiation of granulocytes and adipocytes. Essential for hematopoietic primitive cell survival and plays an integral role in monocytic development.
-
基因功能參考文獻:
- Data suggest that the suppression of the multiple THOC5 target genes may represent a novel strategy for hepatocellular carcinoma (HCC) therapy. PMID: 26549021
- THOC5 to be a novel gene involved in the regulation of serum HDL-C levels PMID: 24023261
- Authors suggest a model in which human Thoc5 controls polyadenylation site choice through the co-transcriptional loading of CFIm68 onto target genes. PMID: 23685434
- show that THOC5 Y225 phosphorylation governs mRNA binding. In addition, CXCL12 is shown to induce THOC5 Y225 phosphorylation, and site-directed mutagenesis demonstrates that this modulates motile response PMID: 23032722
- show here that DNA damage drastically decreased the cytoplasmic pool of a set of THOC5-dependent mRNAs and impaired the THOC5/mRNA complex formation PMID: 21937706
- THOC5 protein expression can potentiate receptor signalling to transcription factor expression and monocyte differentiation. PMID: 19015024
- THOC7 (50-137, amino acid numbers) binds to the N-terminal portion (1-199) of FMIP directly. PMID: 19059247
- Thoc5 exhibits in vitro RNA-binding activity and is associated with HSP70 mRNPs in vivo as a component of the stable THO complex PMID: 19165146
顯示更多
收起更多
-
亞細胞定位:Nucleus. Cytoplasm.
-
蛋白家族:THOC5 family
-
組織特異性:Ubiquitously expressed.
-
數據庫鏈接:
Most popular with customers
-
-
YWHAB Recombinant Monoclonal Antibody
Applications: ELISA, WB, IHC, IF, FC
Species Reactivity: Human, Mouse, Rat
-
Phospho-YAP1 (S127) Recombinant Monoclonal Antibody
Applications: ELISA, WB, IHC
Species Reactivity: Human
-
-
-
-
-















