TIMELESS Antibody
-
中文名稱:TIMELESS兔多克隆抗體
-
貨號:CSB-PA892360LA01HU
-
規格:¥440
-
圖片:
-
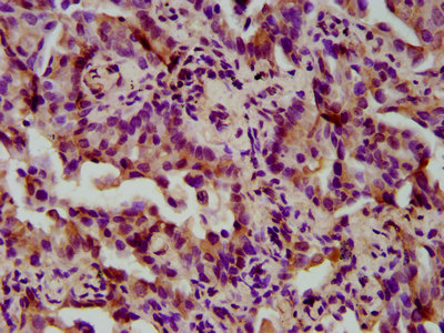
IHC image of CSB-PA892360LA01HU diluted at 1:300 and staining in paraffin-embedded human colon cancer performed on a Leica BondTM system. After dewaxing and hydration, antigen retrieval was mediated by high pressure in a citrate buffer (pH 6.0). Section was blocked with 10% normal goat serum 30min at RT. Then primary antibody (1% BSA) was incubated at 4°C overnight. The primary is detected by a biotinylated secondary antibody and visualized using an HRP conjugated SP system.
-
IHC image of CSB-PA892360LA01HU diluted at 1:300 and staining in paraffin-embedded human lung cancer performed on a Leica BondTM system. After dewaxing and hydration, antigen retrieval was mediated by high pressure in a citrate buffer (pH 6.0). Section was blocked with 10% normal goat serum 30min at RT. Then primary antibody (1% BSA) was incubated at 4°C overnight. The primary is detected by a biotinylated secondary antibody and visualized using an HRP conjugated SP system.
-
-
其他:
產品詳情
-
產品名稱:Rabbit anti-Homo sapiens (Human) TIMELESS Polyclonal antibody
-
Uniprot No.:
-
基因名:TIMELESS
-
別名:FLJ12640 antibody; FLJ20714 antibody; hTIM antibody; Protein timeless homolog antibody; TIM antibody; TIM_HUMAN antibody; TIM1 antibody; Timeless antibody; timeless circadian clock 1 antibody; timeless circadian clock antibody; timeless homolog antibody; TIMELESS1 antibody; Tof1 homolog antibody
-
宿主:Rabbit
-
反應種屬:Human
-
免疫原:Recombinant Human Protein timeless homolog protein (1004-1131AA)
-
免疫原種屬:Homo sapiens (Human)
-
標記方式:Non-conjugated
本頁面中的產品,TIMELESS Antibody (CSB-PA892360LA01HU),的標記方式是Non-conjugated。對于TIMELESS Antibody,我們還提供其他標記。見下表:
-
克隆類型:Polyclonal
-
抗體亞型:IgG
-
純化方式:>95%, Protein G purified
-
濃度:It differs from different batches. Please contact us to confirm it.
-
保存緩沖液:Preservative: 0.03% Proclin 300
Constituents: 50% Glycerol, 0.01M PBS, pH 7.4 -
產品提供形式:Liquid
-
應用范圍:ELISA, IHC
-
推薦稀釋比:
Application Recommended Dilution IHC 1:200-1:500 -
Protocols:
-
儲存條件:Upon receipt, store at -20°C or -80°C. Avoid repeated freeze.
-
貨期:Basically, we can dispatch the products out in 1-3 working days after receiving your orders. Delivery time maybe differs from different purchasing way or location, please kindly consult your local distributors for specific delivery time.
-
用途:For Research Use Only. Not for use in diagnostic or therapeutic procedures.
相關產品
靶點詳情
-
功能:Plays an important role in the control of DNA replication, maintenance of replication fork stability, maintenance of genome stability throughout normal DNA replication, DNA repair and in the regulation of the circadian clock. Required to stabilize replication forks during DNA replication by forming a complex with TIPIN: this complex regulates DNA replication processes under both normal and stress conditions, stabilizes replication forks and influences both CHEK1 phosphorylation and the intra-S phase checkpoint in response to genotoxic stress. TIMELESS promotes TIPIN nuclear localization. Involved in cell survival after DNA damage or replication stress by promoting DNA repair. In response to double-strand breaks (DSBs), accumulates at DNA damage sites and promotes homologous recombination repair via its interaction with PARP1. May be specifically required for the ATR-CHEK1 pathway in the replication checkpoint induced by hydroxyurea or ultraviolet light. Involved in the determination of period length and in the DNA damage-dependent phase advancing of the circadian clock. Negatively regulates CLOCK|NPAS2-ARTNL/BMAL1|ARTNL2/BMAL2-induced transactivation of PER1 possibly via translocation of PER1 into the nucleus. May also play an important role in epithelial cell morphogenesis and formation of branching tubules.
-
基因功能參考文獻:
- we suggest that disturbances in timeless expression may result in the disruption of the control of normal circadian rhythm, thus benefiting the survival of glioma cells and promoting carcinogenesis. PMID: 30249891
- TIM rs2291738 was associated with chronotype dimensions PMID: 28708003
- Inhibition of MYC significantly blocked the effects of TIM on CSC population, cell invasion and anchor-independent cell growth. TIM plays an important role in promoting breast cancer progression and may represent a novel therapeutic target for breast cancer. PMID: 28464854
- Stable ectopic overexpression of TIMELESS in nasopharyngeal carcinoma cell lines conferred resistance to cisplatin-induced apoptosis in vitro and in vivo, promoted an epithelial-to-mesenchymal transition phenotype, and activated the Wnt/beta-catenin pathway and downstream gene transcription. PMID: 28583847
- the 1.85 A crystal structure of a large N-terminal segment of human Timeless, spanning amino acids 1-463, is presented and this region of human Timeless harbours a partial binding site for Tipin. PMID: 28334766
- results provide the first evidence that TIM is required for the correct chromatin association of the CMG complex to allow efficient DNA replication. PMID: 27587400
- Our results show that TIMELESS overexpression correlates with pelvic lymph node metastasis, lymphovascular space involvement, as well as unfavorable OS and DFS in human cervical cancer. Therefore, TIMELESS expression may be a potential prognostic biomarker for cervical cancer patients PMID: 27909716
- TIMELESS mutants unable to bind PARP1. TIMELESS silencing significantly impairs DNA double-strand break repair. PMID: 26456830
- Data reports the crystal structure of Timeless-PARP-1 complex and provides evidence that Timeless is recruited to sites of DNA damage through PARP-1 to mediate homologous recombination repair of DNA double-strand breaks. PMID: 26344098
- overexpression of TIM exerts oncogenic function in human HCCs, which is mediated via CHEK2 and EEF1A2. PMID: 25405317
- TIMELESS and RORA genes may confer susceptibility to bipolar disorders and impact on circadian phenotypes PMID: 24716566
- The results of this study suggest that the TIMELESS gene may be associated with the lithium prophylactic response in bipolar illness. PMID: 24636202
- TIMELESS is frequently overexpressed in various types of tumor tissues, and elevated TIMELESS expression is associated with advanced tumor stage and poorer breast cancer prognosis. PMID: 24161199
- Data indicate that RNAi-mediated knockdown of TIMELESS (TIM) in NIH3T3 and U2OS cells shortens the period by 1 hour and diminishes DNA damage-dependent phase advancing. PMID: 23418588
- TIMELESS has a distinct contribution to suppression of chromosomal instability that is independent of its heterodimeric partner, TIPIN. PMID: 23255133
- Tim-Tipin complex (or Tim alone) is able to associate with DNA polymerase epsilon bound to a 40-/80-mer DNA ligand. PMID: 23511638
- All lung cancer specimens but no matched normal lung tissues were positive for TIM expression. PMID: 23173913
- Kaposi's Sarcoma-associated herpesvirus episome maintenance requires Tim-assisted replication fork protection at the viral terminal repeats. PMID: 23325691
- observed a significant association between stage II, III, and IV breast cancers and TIMELESS promoter hypomethylation in peripheral blood lymphocytes in 80 breast cancer cases and 80 age-matched controls PMID: 22006848
- Timeless functions together with TRF1 to prevent fork collapse at telomere repeat DNA and ensure stable maintenance of telomere length and integrity. PMID: 22672906
- Timeless has a function in SCC that is independent of the Tim-Tipin complex, even though the abundance of Timeless is reduced when Tipin is targeted for depletion. PMID: 21508667
- Tim coordinates mitotic kinase activation with termination of DNA replication. PMID: 21573113
- These findings demonstrate that Tim is essential for sustaining the episomal forms of EBV DNA in latently infected cells. PMID: 21490103
- the interaction between dPERIOD and dCLOCK is TIM-dependent and modulated by light, revealing a novel and unanticipated in vivo role for TIM in circadian transcription PMID: 20980603
- Data show significant association between TIMELESS variants and depression with fatigue in females, and association to depression with early morning awakening in males. PMID: 20174623
- The results suggest that Timeless-Tipin functions as a replication fork stabilizer that couples DNA replication with sister chromatid cohesion established at replication forks. PMID: 20124417
- TIMELESS is required for ATM-dependent CHK2 activation and G2/M checkpoint control PMID: 19996108
- Down-regulation of Timeless in human cells seriously compromises replication and intra-S checkpoints, indicating an intimate connection between the circadian cycle and the DNA damage checkpoints that is in part mediated by the Timeless protein. PMID: 15798197
- Tipin is a checkpoint mediator that cooperates with Tim and may regulate the nuclear relocation of Claspin in response to replication checkpoint PMID: 17102137
- observation explains the similar checkpoint phenotypes observed in both Tipin- and Timeless-depleted cells PMID: 17116885
- TIM and Tipin are functional orthologs of their replisome-associated yeast counterparts capable of coordinating replication with genotoxic stress responses, and distinguishes mammalian TIM from the circadian-specific paralogs. PMID: 17141802
- These findings indicate that the Tim-Tipin complex mediates the UV-induced intra-S checkpoint, Tim is needed to maintain DNA replication fork movement, Tipin interacts with RPA on DNA. PMID: 17296725
- HRPAP20 and TIMELESS as promising markers of tamoxifen resistance in women with ER alpha-positive breast tumors. PMID: 17909269
顯示更多
收起更多
-
亞細胞定位:Nucleus. Chromosome.
-
蛋白家族:Timeless family
-
組織特異性:Expressed in all tissues examined including brain, heart, lung, liver, skeletal muscle, kidney, placenta, pancreas, spleen, thymus and testis. Highest levels of expression in placenta, pancreas, thymus and testis.
-
數據庫鏈接:
Most popular with customers
-
-
YWHAB Recombinant Monoclonal Antibody
Applications: ELISA, WB, IHC, IF, FC
Species Reactivity: Human, Mouse, Rat
-
Phospho-YAP1 (S127) Recombinant Monoclonal Antibody
Applications: ELISA, WB, IHC
Species Reactivity: Human
-
-
-
-
-















