TIMM17B Antibody
-
中文名稱:TIMM17B兔多克隆抗體
-
貨號:CSB-PA023551ESR2HU
-
規格:¥440
-
圖片:
-
Western blot
All lanes: TIMM17B antibody at 1.75 μg/ml
Lane 1: U251 whole cell lysate
Lane 2: Jurkat whole cell lysate
Lane 3: HepG2 whole cell lysate
Lane 4: HL60 whole cell lysate
Lane 5: A431 whole cell lysate
Secondary
Goat polyclonal to rabbit IgG at 1/10000 dilution
Predicted band size: 19, 24 kDa
Observed band size: 19 kDa -
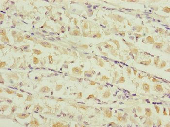
Immunohistochemistry of paraffin-embedded human colon cancer using CSB-PA023551ESR2HU at dilution of 1:100
-
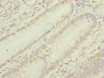
Immunohistochemistry of paraffin-embedded human gastric cancer using CSB-PA023551ESR2HU at dilution of 1:100
-
-
其他:
產品詳情
-
產品名稱:Rabbit anti-Homo sapiens (Human) TIMM17B Polyclonal antibody
-
Uniprot No.:
-
基因名:TIMM17B
-
別名:DXS9822 antibody; Inner mitochondrial membrane preprotein translocase antibody; JM3 antibody; Mitochondrial import inner membrane translocase subunit Tim17-B antibody; TI17B_HUMAN antibody; Tim17b antibody; TIMM17B antibody; Translocase of inner mitochondrial membrane 17 homolog B (yeast) antibody
-
宿主:Rabbit
-
反應種屬:Human
-
免疫原:Recombinant Human Mitochondrial import inner membrane translocase subunit Tim17-B protein (1-172AA)
-
免疫原種屬:Homo sapiens (Human)
-
標記方式:Non-conjugated
-
克隆類型:Polyclonal
-
抗體亞型:IgG
-
純化方式:Antigen Affinity Purified
-
濃度:It differs from different batches. Please contact us to confirm it.
-
保存緩沖液:PBS with 0.02% sodium azide, 50% glycerol, pH7.3.
-
產品提供形式:Liquid
-
應用范圍:ELISA, WB, IHC
-
推薦稀釋比:
Application Recommended Dilution WB 1:1000-1:5000 IHC 1:20-1:200 -
Protocols:
-
儲存條件:Upon receipt, store at -20°C or -80°C. Avoid repeated freeze.
-
貨期:Basically, we can dispatch the products out in 1-3 working days after receiving your orders. Delivery time maybe differs from different purchasing way or location, please kindly consult your local distributors for specific delivery time.
-
用途:For Research Use Only. Not for use in diagnostic or therapeutic procedures.
相關產品
靶點詳情
-
功能:Essential component of the TIM23 complex, a complex that mediates the translocation of transit peptide-containing proteins across the mitochondrial inner membrane.
-
基因功能參考文獻:
- The findings of this study together provide the first evidence that EspZ localizes to host mitochondria and that TIM17b contributes to protection against rapid cell death during EPEC infection. PMID: 21947777
-
亞細胞定位:Mitochondrion inner membrane; Multi-pass membrane protein.
-
蛋白家族:Tim17/Tim22/Tim23 family
-
組織特異性:Expression is abundant in heart and skeletal muscle, intermediate in brain, and weak in pancreas, placenta, kidney and liver.
-
數據庫鏈接:
Most popular with customers
-
YWHAB Recombinant Monoclonal Antibody
Applications: ELISA, WB, IHC, IF, FC
Species Reactivity: Human, Mouse, Rat
-
Phospho-YAP1 (S127) Recombinant Monoclonal Antibody
Applications: ELISA, WB, IHC
Species Reactivity: Human
-
-
-
-
-
-















