TJP2 Antibody
-
中文名稱:TJP2兔多克隆抗體
-
貨號:CSB-PA880071NA01HU
-
規格:¥440
-
圖片:
-
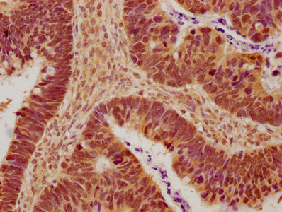
IHC image of CSB-PA880071NA01HU diluted at 1:600 and staining in paraffin-embedded human ovarian cancer performed on a Leica BondTM system. After dewaxing and hydration, antigen retrieval was mediated by high pressure in a citrate buffer (pH 6.0). Section was blocked with 10% normal goat serum 30min at RT. Then primary antibody (1% BSA) was incubated at 4°C overnight. The primary is detected by a biotinylated secondary antibody and visualized using an HRP conjugated SP system.
-
Immunofluorescence staining of U251 cells with CSB-PA880071NA01HU at 1:200, counter-stained with DAPI. The cells were fixed in 4% formaldehyde, permeabilized using 0.2% Triton X-100 and blocked in 10% normal Goat Serum. The cells were then incubated with the antibody overnight at 4°C. The secondary antibody was Alexa Fluor 488-congugated AffiniPure Goat Anti-Rabbit IgG(H+L).
-
Western Blot
Positive WB detected in: MCF-7 whole cell lysate, U87 whole cell lysate, K562 whole cell lysate
All lanes: TJP2 antibody at 1:2000
Secondary
Goat polyclonal to rabbit IgG at 1/50000 dilution
Predicted band size: 134, 118, 112, 132, 116, 131, 138 kDa
Observed band size: 150 kDa
-
-
其他:
產品詳情
-
產品名稱:Rabbit anti-Homo sapiens (Human) TJP2 Polyclonal antibody
-
Uniprot No.:
-
基因名:TJP2
-
別名:C9DUPq21.11 antibody; DFNA51 antibody; DUP9q21.11 antibody; Friedreich ataxia region gene X104 (tight junction protein ZO-2) antibody; MGC26306 antibody; PFIC4 antibody; Tight junction protein 2 antibody; Tight junction protein ZO 2 antibody; Tight junction protein ZO-2 antibody; TJP2 antibody; X104 antibody; ZO 2 antibody; ZO-2 antibody; ZO2 antibody; ZO2_HUMAN antibody; Zona occludens 2 antibody; Zona occludens protein 2 antibody; Zonula occludens protein 2 antibody
-
宿主:Rabbit
-
反應種屬:Human
-
免疫原:Peptide sequence from Human Tight junction protein ZO-2 protein (1165-1183AA)
-
免疫原種屬:Homo sapiens (Human)
-
標記方式:Non-conjugated
本頁面中的產品,TJP2 Antibody (CSB-PA880071NA01HU),的標記方式是Non-conjugated。對于TJP2 Antibody,我們還提供其他標記。見下表:
-
克隆類型:Polyclonal
-
抗體亞型:IgG
-
純化方式:>95%, Protein G purified
-
濃度:It differs from different batches. Please contact us to confirm it.
-
保存緩沖液:Preservative: 0.03% Proclin 300
Constituents: 50% Glycerol, 0.01M PBS, pH 7.4 -
產品提供形式:Liquid
-
應用范圍:ELISA, WB, IHC, IF
-
推薦稀釋比:
Application Recommended Dilution WB 1:1000-1:5000 IHC 1:500-1:1000 IF 1:200-1:500 -
Protocols:
-
儲存條件:Upon receipt, store at -20°C or -80°C. Avoid repeated freeze.
-
貨期:Basically, we can dispatch the products out in 1-3 working days after receiving your orders. Delivery time maybe differs from different purchasing way or location, please kindly consult your local distributors for specific delivery time.
-
用途:For Research Use Only. Not for use in diagnostic or therapeutic procedures.
相關產品
靶點詳情
-
功能:Plays a role in tight junctions and adherens junctions.
-
基因功能參考文獻:
- Biochemistry and microscopy approaches in T cells confirmed SNX27/ZO-2 PDZ-dependent interaction, and demonstrated its role controlling the dynamic localization of ZO-2 at the IS PMID: 28477369
- A likely causal mutation was identified in the majority (61%), spanning many genes including ones that have only rarely been reported to cause cholestatic liver disease, e.g. TJP2 and VIPAS39 PMID: 28039895
- Studies indicate the modular and supramodular organization of zonula occludens protein 2 (ZO-2) that allows it to interact with a wide variety of molecules, including cell-cell adhesion proteins, cytoskeletal components, and nuclear factors. PMID: 28415133
- Data identified two Disease-causing Genes TJP2 and GJB2 in a Chinese Family with Unconditional Autosomal Dominant Nonsyndromic Hereditary Hearing Impairment. PMID: 26668150
- TJP2 deficiency may predispose to hepatocellular carcinoma in early childhood PMID: 25921221
- Claudin-19, the most abundant claudin in myelin, exhibited no binding to ZO2. PMID: 25712527
- JAM-A regulates epithelial permeability via association with ZO-2, afadin, and PDZ-GEF1 to activate Rap2c and control contraction of the apical cytoskeleton. PMID: 23885123
- Protein-truncating mutations in the tight junction protein 2 gene cause failure of protein localization and disruption of tight-junction structure, leading to severe cholestatic liver disease. PMID: 24614073
- demonstrated that ZO-2 inhibition increases invasive and migrative capacities of invasive tumor cells. This was associated with an increase of MT1-MMP PMID: 23605953
- the Alu-related transcript of TJP2 gene (TJP2-Alu transcript) was differentially expressed between colorectal tumor and normal tissues; potential diagnostic markers for colorectal cancer. PMID: 23612256
- ZO-2 inhibits the Wnt signaling pathway, reduces cell proliferation, and promotes apoptosis; its absence, mutation, or overexpression is present in various human diseases, including deafness and cancer. PMID: 22671599
- AmotL1 and ZO-2 are two candidates that could be harnessed to control the oncogenic function of YAP. PMID: 21685940
- these findings imply involvement of the ZO-2 tight junction independent signaling complex containing Jak1 and uPAR in VSMC intercellular communications. PMID: 21679692
- ZO-2 interacts with YAP2 to form complex; ZO-2 facilitates both nuclear translocation of YAP2 & pro-apoptotic function of YAP2; YAP2/ZO-2 complex appears to be involved in cell detachment PMID: 20868367
- The identification of ZASP helps to unfold the complex nuclear molecular arrays that form on ZO-2 scaffolds. PMID: 20868680
- the first PDZ domain of zona occludens-1 (ZO-1) and 2 (ZO-2) interacts with the carboxy-terminal PDZ binding motif of TAZ PMID: 20850437
- TJP2- and GSK-3beta-mediated increased susceptibility to apoptosis of cells of the inner ear is the mechanism for adult-onset hearing loss in this kindred and may serve as one model for age-related hearing loss in the general population. PMID: 20602916
- Study shows that ZO isoforms bind PtdInsPs and offers an alternative regulatory mechanism for the formation and stabilisation of protein complexes in the nucleus. PMID: 19784548
- Familial hypercholanemia in Amish individuals is associated with mutations in tight junction protein 2 (encoded by TJP2, also known as ZO-2) and bile acid Coenzyme A: amino acid N-acyltransferase (encoded by BAAT). PMID: 12704386
- Sertoli cells associated with carcinoma in situ of the testicles show an altered distribution of ZO-2 and loss of blood-testis barrier function. PMID: 17217619
- TJP2 did not reveal a otosclerosis-causing mutation PMID: 18224337
- upregulation of ZO-2 by Angiopoietin-1 which reduces vascular endothelial growth factor-induced brain endothelial permeability PMID: 19148554
- Structural comparison shows that the ZO-2 PDZ2 homodimer may have a similar ligand-binding pattern to the ZO-1 PDZ2-connexin 43 complex. PMID: 19342771
- The tight junction protein ZO-2 is involved in regulation of vascular smooth muscle cells growth control upon vascular injury that is mediated by the transcription factor Stat1. PMID: 19380416
- ZO-2 may serve to anchor regulatory proteins at gap junctions composed of Cx36. PMID: 19418635
顯示更多
收起更多
-
相關疾病:Familial hypercholanemia (FHCA); Cholestasis, progressive familial intrahepatic, 4 (PFIC4)
-
亞細胞定位:Cell junction, adherens junction. Cell membrane; Peripheral membrane protein; Cytoplasmic side. Cell junction, tight junction. Nucleus.
-
蛋白家族:MAGUK family
-
組織特異性:This protein is found in epithelial cell junctions. Isoform A1 is abundant in the heart and brain. Detected in brain and skeletal muscle. It is present almost exclusively in normal tissues. Isoform C1 is expressed at high level in the kidney, pancreas, he
-
數據庫鏈接:
Most popular with customers
-
YWHAB Recombinant Monoclonal Antibody
Applications: ELISA, WB, IHC, IF, FC
Species Reactivity: Human, Mouse, Rat
-
Phospho-YAP1 (S127) Recombinant Monoclonal Antibody
Applications: ELISA, WB, IHC
Species Reactivity: Human
-
-
-
-
-
-















