TLN1 Antibody
-
中文名稱:TLN1兔多克隆抗體
-
貨號:CSB-PA05189A0Rb
-
規格:¥440
-
圖片:
-
Immunofluorescence staining of Hela cells with CSB-PA05189A0Rb at 1:133, counter-stained with DAPI. The cells were fixed in 4% formaldehyde, permeabilized using 0.2% Triton X-100 and blocked in 10% normal Goat Serum. The cells were then incubated with the antibody overnight at 4°C. The secondary antibody was Alexa Fluor 488-congugated AffiniPure Goat Anti-Rabbit IgG(H+L).
-
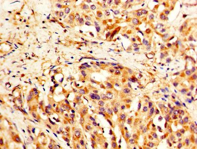
IHC image of CSB-PA05189A0Rb diluted at 1:400 and staining in paraffin-embedded human liver cancer performed on a Leica BondTM system. After dewaxing and hydration, antigen retrieval was mediated by high pressure in a citrate buffer (pH 6.0). Section was blocked with 10% normal goat serum 30min at RT. Then primary antibody (1% BSA) was incubated at 4°C overnight. The primary is detected by a biotinylated secondary antibody and visualized using an HRP conjugated SP system.
-
-
其他:
產品詳情
-
產品名稱:Rabbit anti-Homo sapiens (Human) TLN1 Polyclonal antibody
-
Uniprot No.:
-
基因名:
-
別名:ILWEQ antibody; Talin 1 antibody; Talin antibody; Talin-1 antibody; TLN 1 antibody; TLN antibody; Tln1 antibody; TLN1_HUMAN antibody
-
宿主:Rabbit
-
反應種屬:Human
-
免疫原:Recombinant Human Talin-1 protein (92-399AA)
-
免疫原種屬:Homo sapiens (Human)
-
標記方式:Non-conjugated
本頁面中的產品,TLN1 Antibody (CSB-PA05189A0Rb),的標記方式是Non-conjugated。對于TLN1 Antibody,我們還提供其他標記。見下表:
-
克隆類型:Polyclonal
-
抗體亞型:IgG
-
純化方式:>95%, Protein G purified
-
濃度:It differs from different batches. Please contact us to confirm it.
-
保存緩沖液:Preservative: 0.03% Proclin 300
Constituents: 50% Glycerol, 0.01M PBS, PH 7.4 -
產品提供形式:Liquid
-
應用范圍:ELISA, IHC, IF
-
推薦稀釋比:
Application Recommended Dilution IHC 1:200-1:500 IF 1:50-1:200 -
Protocols:
-
儲存條件:Upon receipt, store at -20°C or -80°C. Avoid repeated freeze.
-
貨期:Basically, we can dispatch the products out in 1-3 working days after receiving your orders. Delivery time maybe differs from different purchasing way or location, please kindly consult your local distributors for specific delivery time.
-
用途:For Research Use Only. Not for use in diagnostic or therapeutic procedures.
相關產品
靶點詳情
-
功能:Probably involved in connections of major cytoskeletal structures to the plasma membrane. High molecular weight cytoskeletal protein concentrated at regions of cell-substratum contact and, in lymphocytes, at cell-cell contacts.
-
基因功能參考文獻:
- Low TLN1 expression is associated with invasion and metastasis in Hepatocellular Carcinoma. PMID: 29936723
- Calpain small subunit 1 (Capn4) overexpression increased the protein level of cleaved talin and and activated the focal adhesion kinase (FAK)/AKT/MAPK signaling in 786-O cells, while Capn4 silencing decreased the protein level of cleaved talin in Caki-1 cells. PMID: 29648579
- Talin-1 induces proliferation and migration of vascular smooth muscle cells obtained from patients with thoracic aortic dissection. PMID: 28637452
- Here, the authors show that cortical microtubule stabilization sites containing CLASPs, KIF21A, LL5beta and liprins are recruited to focal adhesions by the adaptor protein KANK1, which directly interacts with the major adhesion component, talin. Structural studies showed that the conserved KN domain in KANK1 binds to the talin rod domain R7. PMID: 27410476
- Vinculin head-tail interaction is required on soft substrates to destabilize vinculin and talin in FAs, and to allow hMSCs branching. Another module involves paxillin and FAK, which soft substrates also destabilize, but independently of vinculin head-tail interaction. This multi-modularity may be key to allow a versatile response to complex biomechanical cues. PMID: 27169142
- The central role of talin and vinculin in cell adhesions suggests that the disintegration of the tissue in atherosclerosis could be partially driven by downregulation of these genes, leading to loosening of cell-ECM interactions and remodeling of the tissue. PMID: 27816808
- Application of these techniques to new talin biosensors reveals an intramolecular tension gradient across talin-1 that is established upon integrin-mediated cell adhesion. The tension gradient is actomyosin- and vinculin-dependent and sensitive to the rigidity of the extracellular environment PMID: 28945706
- Our findings confirm the role of Talin-1 in carcinogenesis and provided a set of novel therapeutic targets for the treatment of hepatocellular carcinoma PMID: 28099903
- These data show that TLN1 can act as a viral restriction factor that suppresses hepatitis B virus replication, and suggest that the HBx relieves this restriction by inducing TLN1 degradation. PMID: 27775586
- The ERK pathway was responsible for these promoting effects of Talin1 knockdown in HCC cells. PMID: 28375585
- This study showed that serum sTalin-1 levels were associated with a sustained increase in disability after MS attack but not with serum anti-Talin-1 antibody levels. PMID: 28284333
- The Rap1-RIAM-talin axis of integrin activation and blood cell function PMID: 27207789
- These findings suggested that Talin-1 protein was significantly upregulated in PCa tissues compared with that of BPH tissue and Talin-1 expression was an independent predictor for lymph node metastasis and biochemical recurrence of PCa. PMID: 27442684
- Serum talin-1 had 97.7% sensitivity. PMID: 27644664
- Both TLN-1 and TLN-2 levels correlate with tumorigenicity in human HCC, indicating that these molecules constitute important molecular targets for the diagnosis and/or treatment of hepatocellular carcinoma . PMID: 26822056
- TLN1 significantly increases in refractory glioblastoma multiforme PMID: 26336988
- Applying correlative imaging to link live cell and fixed immunofluorescence data on a single cell basis, we related per cell talin-1 levels to per cell measures quantitatively defining an array of cellular properties. PMID: 26000342
- Disruption of the RIAM/lamellipodin-integrin-talin complex markedly impairs cell migration. PMID: 26419705
- Our data demonstrate that high expression of Talin-1 is associated with significantly poorer OS and poorer DMFS in NPC and depletion of Talin-1 expression inhibited NPC cell migration and invasion. Talin-1 may serve as novel prognostic biomarker in NPC. PMID: 25925041
- results identify talin as the primary determinant of FA nanoscale organization and suggest how multiple cellular forces may be integrated at adhesion sites PMID: 26283369
- The activation of vinculin by stretched talin induces a positive feedback that reinforces the actin-talin-vinculin association. PMID: 24452080
- Talin extension is a key step in sensing and responding to substrate stiffness at cell adhesion sites. PMID: 25142525
- Data (including data from molecular dynamic simulations) suggest specific interactions between glycoprotein GPIIb/GPIIIa complex transmembrane/C-terminal domains and talin-1 in cell membrane environment during platelet activation. PMID: 24677266
- phosphorylation of talin1 leading to beta1 integrin activation is a novel mechanism that increases metastatic potential of prostate cancer cells. PMID: 24793790
- Data suggest that anionic lipids (such as phosphatidylinositol phosphates) play crucial role in localization of peripheral membrane proteins (such as TLN1, auxilin-1, and PTEN [phosphatase and tensin homolog]). [review-like article] PMID: 25233425
- Low levels of Talin-1 expression are correlated with increased invasion and migration in liver cancer. PMID: 24761880
- Data indicate the role of vinculin in inducing the talin mediated integrin activation. PMID: 24446374
- MMP-2 regulates human platelet activation through hydrolysis of talin PMID: 24136115
- Talin has a role in regulating moesin-NHE-1 recruitment to invadopodia in breast cancer PMID: 24891603
- miR-9 plays a role as a tumor suppressor in OSC by suppressing TLN1 expression. PMID: 23722670
- These results indicate that mechanical forces loaded to focal adhesions (FAs) facilitate vinculin binding to talin at FAs. PMID: 24452377
- High Serum talin-1 expression is associated with hepatocellular carcinoma. PMID: 23886189
- Data indicate that KIF14 and TLN1 loss-of-function significantly enhanced chemosensitivity in four triple-negative breast cancer (TNBC) cell lines. PMID: 23479679
- Talin1 has unique expression versus talin 2 in the heart and modifies the hypertrophic response to pressure overload. PMID: 23266827
- CtsH-mediated processing of talin might promote cancer cell progression by affecting integrin alphaVbeta3 activation and adhesion strength PMID: 23204516
- Agonist stimulation, talin-1, and kindlin-3 are crucial for alpha(IIb)beta(3) activation in a human megakaryoblastic cell line, CMK. PMID: 23022222
- Kindlin-2 and talin head do not interact with one another but can bind simultaneously to the integrin beta(3) tail without enhancing or inhibiting the interaction of the other binding partner. PMID: 22648415
- Low Talin1 is associated with hepatocelluar carcinoma. PMID: 22471464
- Talin1 is required for inside-out activation of integrin beta1 during Bartonella henselae infection. PMID: 22045736
- FAK promotes talin recruitment to nascent adhesions occurring independently of talin binding to beta1 integrins. PMID: 22270917
- Talin1 is required for contact-dependent CD4-positive T cell proliferation in talin1 transgenic mice. Talin1 is not required for contact-independent CD4+ T cell proliferation. PMID: 22075696
- We investigated the role of talin-1, kindlin-3, and alpha-actinin-1 in the upregulation of alpha(4)beta(1) integrin affinity and consequent inflammatory leukocyte adhesive events PMID: 21911599
- Talin-1 upregulation is associated with disease progression in hepatocellular carcinoma. Thus, it may serve as a prognostic marker. PMID: 21846996
- Adhesions within the carcinoma matrix create a matrix environment in which exposure to cisplatin induces proliferation through the function of integrin beta, talin and FAK pathways that regulate NF-kB nuclear activity. PMID: 21720550
- Talin-1 and vinculin negatively affect tyrosine phosphorylation of paxillin, a novel positive regulator of HIV-1 infection, and impose an early block to infection by distinct retroviruses. PMID: 21763488
- We show that sequential cleavage of C-terminal amino acids from the beta(2) cytoplasmic tail of LFA-1, by CatX, enhances binding of the adaptor protein talin to LFA-1 and triggers formation of the latter's high-affinity form PMID: 21454358
- This review discusses the general function of talin 1 and talin 2, as well as vinculin/metavinulin, with emphasis on what is understood about their role in the cardiac myocyte and in whole heart. PMID: 19952892
- Studies suggest that the perturbed orientation of talin relative to the membrane in the F2 mutant would be expected to in turn perturb talin/integrin interactions. PMID: 20947017
- Data from talin crystal structure reveal a novel FERM domain with a linear domain arrangement, plus an additional domain F0 packed against F1. PMID: 20947018
- Rap1-mediated activation of alpha(M)beta(2) in macrophages shares both common and distinct features from Rap1 activation of alpha(IIb)beta(3) expressed in CHO cells. PMID: 20665668
顯示更多
收起更多
-
亞細胞定位:Cell projection, ruffle membrane; Peripheral membrane protein; Cytoplasmic side. Cytoplasm, cytoskeleton. Cell surface. Cell junction, focal adhesion.
-
數據庫鏈接:
Most popular with customers
-
YWHAB Recombinant Monoclonal Antibody
Applications: ELISA, WB, IHC, IF, FC
Species Reactivity: Human, Mouse, Rat
-
Phospho-YAP1 (S127) Recombinant Monoclonal Antibody
Applications: ELISA, WB, IHC
Species Reactivity: Human
-
-
-
-
-
-















