TMEM14A Antibody
-
中文名稱:TMEM14A兔多克隆抗體
-
貨號:CSB-PA023720LA01HU
-
規格:¥440
-
圖片:
-
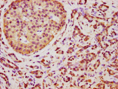
IHC image of CSB-PA023720LA01HU diluted at 1:350 and staining in paraffin-embedded human pancreatic cancer performed on a Leica BondTM system. After dewaxing and hydration, antigen retrieval was mediated by high pressure in a citrate buffer (pH 6.0). Section was blocked with 10% normal goat serum 30min at RT. Then primary antibody (1% BSA) was incubated at 4°C overnight. The primary is detected by a biotinylated secondary antibody and visualized using an HRP conjugated SP system.
-
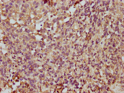
IHC image of CSB-PA023720LA01HU diluted at 1:350 and staining in paraffin-embedded human ovarian cancer performed on a Leica BondTM system. After dewaxing and hydration, antigen retrieval was mediated by high pressure in a citrate buffer (pH 6.0). Section was blocked with 10% normal goat serum 30min at RT. Then primary antibody (1% BSA) was incubated at 4°C overnight. The primary is detected by a biotinylated secondary antibody and visualized using an HRP conjugated SP system.
-
Western blot
All lanes: TMEM14A antibody at 0.8µg/ml + PC-3 whole cell lysate
Secondary
Goat polyclonal to rabbit IgG at 1/10000 dilution
Predicted band size: 11 kDa
Observed band size: 11 kDa -
Immunofluorescent analysis of PC-3 cells using CSB-PA023720LA01HU at dilution of 1:100 and Alexa Fluor 488-congugated AffiniPure Goat Anti-Rabbit IgG(H+L)
-
-
其他:
產品詳情
-
產品名稱:Rabbit anti-Homo sapiens (Human) TMEM14A Polyclonal antibody
-
Uniprot No.:
-
基因名:TMEM14A
-
別名:TMEM14A; C6orf73; PTD011; Transmembrane protein 14A
-
宿主:Rabbit
-
反應種屬:Human
-
免疫原:Recombinant Human Transmembrane protein 14A protein (45-78AA)
-
免疫原種屬:Homo sapiens (Human)
-
標記方式:Non-conjugated
本頁面中的產品,TMEM14A Antibody (CSB-PA023720LA01HU),的標記方式是Non-conjugated。對于TMEM14A Antibody,我們還提供其他標記。見下表:
-
克隆類型:Polyclonal
-
抗體亞型:IgG
-
純化方式:>95%, Protein G purified
-
濃度:It differs from different batches. Please contact us to confirm it.
-
保存緩沖液:Preservative: 0.03% Proclin 300
Constituents: 50% Glycerol, 0.01M PBS, PH 7.4 -
產品提供形式:Liquid
-
應用范圍:ELISA, WB, IHC, IF
-
推薦稀釋比:
Application Recommended Dilution WB 1:500-1:5000 IHC 1:200-1:500 IF 1:50-1:200 -
Protocols:
-
儲存條件:Upon receipt, store at -20°C or -80°C. Avoid repeated freeze.
-
貨期:Basically, we can dispatch the products out in 1-3 working days after receiving your orders. Delivery time maybe differs from different purchasing way or location, please kindly consult your local distributors for specific delivery time.
-
用途:For Research Use Only. Not for use in diagnostic or therapeutic procedures.
相關產品
靶點詳情
-
功能:Inhibits apoptosis via negative regulation of the mitochondrial outer membrane permeabilization involved in apoptotic signaling pathway.
-
基因功能參考文獻:
- these results indicate that TMEM14A has a pro-tumorigenic effect in ovarian cancer cells, suggesting an important role of this protein in ovarian cancer oncogenesis and metastasis. PMID: 26896463
- findings show for the first time that TMEM14A inhibits apoptosis by blocking the mitochondrial permeability transition and stabilizing mitochondrial membrane potential PMID: 21723035
-
亞細胞定位:Mitochondrion membrane; Multi-pass membrane protein. Endoplasmic reticulum membrane.
-
蛋白家族:TMEM14 family
-
組織特異性:Expressed at significantly higher levels in ovarian cancer tissues than in normal tissues (at protein level).
-
數據庫鏈接:
Most popular with customers
-
-
YWHAB Recombinant Monoclonal Antibody
Applications: ELISA, WB, IHC, IF, FC
Species Reactivity: Human, Mouse, Rat
-
Phospho-YAP1 (S127) Recombinant Monoclonal Antibody
Applications: ELISA, WB, IHC
Species Reactivity: Human
-
-
-
-
-















