TMEM243 Antibody
-
中文名稱:TMEM243兔多克隆抗體
-
貨號:CSB-PA874810LA01HU
-
規格:¥440
-
圖片:
-
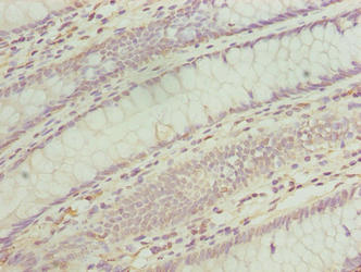
Immunohistochemistry of paraffin-embedded human colon cancer using CSB-PA874810LA01HU at dilution of 1:100
-
Immunohistochemistry of paraffin-embedded human small intestine tissue using CSB-PA874810LA01HU at dilution of 1:100
-
Immunofluorescent analysis of A549 cells using CSB-PA874810LA01HU at dilution of 1:100 and Alexa Fluor 488-congugated AffiniPure Goat Anti-Rabbit IgG(H+L)
-
-
其他:
產品詳情
-
產品名稱:Rabbit anti-Homo sapiens (Human) TMEM243 Polyclonal antibody
-
Uniprot No.:
-
基因名:TMEM243
-
別名:TMEM243; C7orf23; Transmembrane protein 243; MDR1- and mitochondrial taxol resistance-associated protein; MM-TRAG
-
宿主:Rabbit
-
反應種屬:Human
-
免疫原:Recombinant Human Transmembrane protein 243 protein (1-31AA)
-
免疫原種屬:Homo sapiens (Human)
-
標記方式:Non-conjugated
本頁面中的產品,TMEM243 Antibody (CSB-PA874810LA01HU),的標記方式是Non-conjugated。對于TMEM243 Antibody,我們還提供其他標記。見下表:
-
克隆類型:Polyclonal
-
抗體亞型:IgG
-
純化方式:>95%, Protein G purified
-
濃度:It differs from different batches. Please contact us to confirm it.
-
保存緩沖液:Preservative: 0.03% Proclin 300
Constituents: 50% Glycerol, 0.01M PBS, PH 7.4 -
產品提供形式:Liquid
-
應用范圍:ELISA, IHC, IF
-
推薦稀釋比:
Application Recommended Dilution IHC 1:20-1:200 IF 1:50-1:200 -
Protocols:
-
儲存條件:Upon receipt, store at -20°C or -80°C. Avoid repeated freeze.
-
貨期:Basically, we can dispatch the products out in 1-3 working days after receiving your orders. Delivery time maybe differs from different purchasing way or location, please kindly consult your local distributors for specific delivery time.
-
用途:For Research Use Only. Not for use in diagnostic or therapeutic procedures.
相關產品
靶點詳情
-
基因功能參考文獻:
- Data showed MGC4175 fused to the carboxy terminus of enhanced green fluorescent protein (EGFP) was localized to the mitochondria, and its overexpression was not caused by genomic amplification or gene arrangement. PMID: 15556294
-
亞細胞定位:Membrane; Multi-pass membrane protein.
-
蛋白家族:TMEM243 family
-
組織特異性:Widely expressed.
-
數據庫鏈接:
Most popular with customers
-
-
YWHAB Recombinant Monoclonal Antibody
Applications: ELISA, WB, IHC, IF, FC
Species Reactivity: Human, Mouse, Rat
-
Phospho-YAP1 (S127) Recombinant Monoclonal Antibody
Applications: ELISA, WB, IHC
Species Reactivity: Human
-
-
-
-
-















