TMPRSS11D Antibody
-
中文名稱:TMPRSS11D兔多克隆抗體
-
貨號:CSB-PA023918LA01HU
-
規格:¥440
-
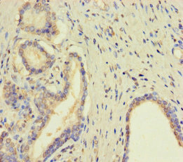
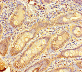
圖片:
-
其他:
產品詳情
-
產品名稱:Rabbit anti-Homo sapiens (Human) TMPRSS11D Polyclonal antibody
-
Uniprot No.:
-
基因名:TMPRSS11D
-
別名:TMPRSS11D; HAT; Transmembrane protease serine 11D; Airway trypsin-like protease
-
宿主:Rabbit
-
反應種屬:Human
-
免疫原:Recombinant Human Transmembrane protease serine 11D protein (201-418AA)
-
免疫原種屬:Homo sapiens (Human)
-
標記方式:Non-conjugated
本頁面中的產品,TMPRSS11D Antibody (CSB-PA023918LA01HU),的標記方式是Non-conjugated。對于TMPRSS11D Antibody,我們還提供其他標記。見下表:
-
克隆類型:Polyclonal
-
抗體亞型:IgG
-
純化方式:>95%, Protein G purified
-
濃度:It differs from different batches. Please contact us to confirm it.
-
保存緩沖液:Preservative: 0.03% Proclin 300
Constituents: 50% Glycerol, 0.01M PBS, PH 7.4 -
產品提供形式:Liquid
-
應用范圍:ELISA, IHC
-
推薦稀釋比:
Application Recommended Dilution IHC 1:20-1:200 -
Protocols:
-
儲存條件:Upon receipt, store at -20°C or -80°C. Avoid repeated freeze.
-
貨期:Basically, we can dispatch the products out in 1-3 working days after receiving your orders. Delivery time maybe differs from different purchasing way or location, please kindly consult your local distributors for specific delivery time.
-
用途:For Research Use Only. Not for use in diagnostic or therapeutic procedures.
相關產品
靶點詳情
-
功能:May play some biological role in the host defense system on the mucous membrane independently of or in cooperation with other substances in airway mucous or bronchial secretions. Plays a role in the proteolytic processing of ACE2. Proteolytically cleaves and activates the human coronavirus 229E (HCoV-229E) spike glycoprotein which facilitate virus-cell membrane fusions; spike proteins are synthesized and maintained in precursor intermediate folding states and proteolysis permits the refolding and energy release required to create stable virus-cell linkages and membrane coalescence. Preferentially cleaves the C-terminal side of arginine residues at the P1 position of certain peptides, cleaving Boc-Phe-Ser-Arg-4-methylcoumaryl-7-amide most efficiently and having an optimum pH of 8.6 with this substrate.
-
基因功能參考文獻:
- High HAT expression is associated with Idiopathic pulmonary fibrosis. PMID: 29122847
- we conclude that TMPRSS11D could play a role in non-small cell lung cancer development and progression PMID: 28086212
- HAT expression may potentially be useful as a marker for clinical grading and assessment of patient prognosis in squamous cell carcinomas PMID: 26297835
- H9N2 viruses with R-S-S-R or R-S-R-R cleavage sites in hemagglutinin are activated by matriptase in addition to HAT and TMPRSS2 and, therefore, can be activated in a wide range of tissues what may affect virus spread, tissue tropism and pathogenicity. PMID: 23192872
- TMPRSS2 and HAT are expressed by important influenza and SARS-coronavirus target cells and could thus support viral spread in the human host. PMID: 22558251
- results suggest that HAI-1 functions as a physiological regulator of HAT by inhibiting its protease activity and proteolytic activation in airway epithelium.(HAT) PMID: 22023801
- HAT cleaves proMSP at the physiological activation site PMID: 22245154
- Human HAT cleaved severe acute respiratory syndrome coronavirus spike protein at R667, as determined by mutagenesis and mass spectrometry. PMID: 21994442
- HAT regulates cellular functions of human bronchial epithelial cells via activation of protease-activated receptor-2. PMID: 12630574
- HAT might promote PAR-2-mediated IL-8 production to accumulate inflammatory cells in the epidermal layer of psoriasis. PMID: 15102084
- results indicate that HAT stimulates fibroblast proliferation in bronchial airways through a PAR-2-dependent MEK-MAPK mediated pathway and that HAT is linked to airway processes involving fibroblasts PMID: 16199437
- HAT induces amphiregulin production through the PAR-2 mediated ERK pathway, and then causes amphiregulin release by a TACE-dependent mechanism PMID: 16336275
- TMPRSS2 and HAT are candidates for proteolytic activation of influenza viruses in vivo PMID: 16973594
顯示更多
收起更多
-
亞細胞定位:Cell membrane; Single-pass type II membrane protein. Note=Activated by cleavage and secreted.; [Transmembrane protease serine 11D catalytic chain]: Secreted. Note=Activated by cleavage and secreted.
-
蛋白家族:Peptidase S1 family
-
組織特異性:Located in the cells of the submucosal serous glands of the bronchi and trachea.
-
數據庫鏈接:
Most popular with customers
-
YWHAB Recombinant Monoclonal Antibody
Applications: ELISA, WB, IHC, IF, FC
Species Reactivity: Human, Mouse, Rat
-
Phospho-YAP1 (S127) Recombinant Monoclonal Antibody
Applications: ELISA, WB, IHC
Species Reactivity: Human
-
-
-
-
-
-















