TNR Antibody
-
中文名稱:TNR兔多克隆抗體
-
貨號:CSB-PA340307LA01HU
-
規格:¥440
-
圖片:
-
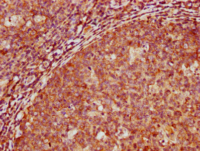
IHC image of CSB-PA340307LA01HU diluted at 1:500 and staining in paraffin-embedded human tonsil tissue performed on a Leica BondTM system. After dewaxing and hydration, antigen retrieval was mediated by high pressure in a citrate buffer (pH 6.0). Section was blocked with 10% normal goat serum 30min at RT. Then primary antibody (1% BSA) was incubated at 4°C overnight. The primary is detected by a biotinylated secondary antibody and visualized using an HRP conjugated SP system.
-
-
其他:
產品詳情
-
產品名稱:Rabbit anti-Homo sapiens (Human) TNR Polyclonal antibody
-
Uniprot No.:
-
基因名:
-
別名:Janusin antibody; MGC149328 antibody; Restrictin antibody; Tenascin R (restrictin, janusin) antibody; Tenascin-R antibody; TENR_HUMAN antibody; TN-R antibody; Tnr antibody
-
宿主:Rabbit
-
反應種屬:Human
-
免疫原:Recombinant Human Tenascin-R protein (1231-1319AA)
-
免疫原種屬:Homo sapiens (Human)
-
標記方式:Non-conjugated
本頁面中的產品,TNR Antibody (CSB-PA340307LA01HU),的標記方式是Non-conjugated。對于TNR Antibody,我們還提供其他標記。見下表:
-
克隆類型:Polyclonal
-
抗體亞型:IgG
-
純化方式:>95%, Protein G purified
-
濃度:It differs from different batches. Please contact us to confirm it.
-
保存緩沖液:Preservative: 0.03% Proclin 300
Constituents: 50% Glycerol, 0.01M PBS, pH 7.4 -
產品提供形式:Liquid
-
應用范圍:ELISA, IHC
-
推薦稀釋比:
Application Recommended Dilution IHC 1:500-1:1000 -
Protocols:
-
儲存條件:Upon receipt, store at -20°C or -80°C. Avoid repeated freeze.
-
貨期:Basically, we can dispatch the products out in 1-3 working days after receiving your orders. Delivery time maybe differs from different purchasing way or location, please kindly consult your local distributors for specific delivery time.
-
用途:For Research Use Only. Not for use in diagnostic or therapeutic procedures.
相關產品
靶點詳情
-
功能:Neural extracellular matrix (ECM) protein involved in interactions with different cells and matrix components. These interactions can influence cellular behavior by either evoking a stable adhesion and differentiation, or repulsion and inhibition of neurite growth. Binding to cell surface gangliosides inhibits RGD-dependent integrin-mediated cell adhesion and results in an inhibition of PTK2/FAK1 (FAK) phosphorylation and cell detachment. Binding to membrane surface sulfatides results in a oligodendrocyte adhesion and differentiation. Interaction with CNTN1 induces a repulsion of neurons and an inhibition of neurite outgrowth. Interacts with SCN2B may play a crucial role in clustering and regulation of activity of sodium channels at nodes of Ranvier. TNR-linked chondroitin sulfate glycosaminoglycans are involved in the interaction with FN1 and mediate inhibition of cell adhesion and neurite outgrowth. The highly regulated addition of sulfated carbohydrate structure may modulate the adhesive properties of TNR over the course of development and during synapse maintenance.
-
基因功能參考文獻:
- Two genes, TNR (and TNK2), were found to have genetic variations linked to familial Parkinson's Disease. PMID: 26595808
- TnC and TnR play important roles in nervous and immune systems. [Review] PMID: 23269478
- citation presents comparison with human gene. PMID: 12927810
- results show that tenascin-R expression is tightly regulated in a spatiotemporal manner during brain development, especially cortical plate formation; its pattern of expression suggests a role for tenascin-R in corticogenesis PMID: 21456020
- KIAA0510, the 3'-untranslated region of the tenascin-R gene, and tenascin-R are overexpressed in pilocytic astrocytomas PMID: 20202125
- The researchers found evidence that the tenascin R gene is a potential susceptiblity or marker gene for IgA nephropathy. PMID: 19890582
- Tenascin R is expressed and glycosylated in neurons PMID: 14681222
- An extracellular matrix molecule TNR and its associated carbohydrate human natural killer cell glycan (HNK-1) provide conditions beneficial for induction of long-term potentiation in the hippocampus. PMID: 17537973
- Clinical trial of gene-disease association, gene-gene interaction, gene-environment interaction, and pharmacogenomic / toxicogenomic. (HuGE Navigator) PMID: 19573479
顯示更多
收起更多
-
亞細胞定位:Secreted, extracellular space, extracellular matrix.
-
蛋白家族:Tenascin family
-
組織特異性:Brain specific.
-
數據庫鏈接:
Most popular with customers
-
-
YWHAB Recombinant Monoclonal Antibody
Applications: ELISA, WB, IHC, IF, FC
Species Reactivity: Human, Mouse, Rat
-
Phospho-YAP1 (S127) Recombinant Monoclonal Antibody
Applications: ELISA, WB, IHC
Species Reactivity: Human
-
-
-
-
-















