TPM4 Antibody
-
中文名稱:TPM4兔多克隆抗體
-
貨號:CSB-PA024108ESR2HU
-
規格:¥440
-
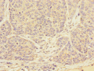
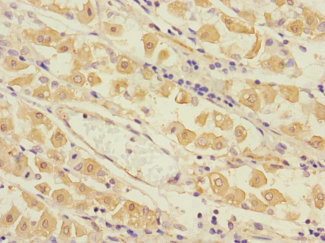
圖片:
-
其他:
產品詳情
-
產品名稱:Rabbit anti-Homo sapiens (Human) TPM4 Polyclonal antibody
-
Uniprot No.:
-
基因名:
-
別名:epididymis secretory protein Li 108 antibody; HEL-S-108 antibody; TM30p1 antibody; TMP 4 antibody; TPM4 antibody; TPM4_HUMAN antibody; Tropomyosin 4 antibody; Tropomyosin alpha 4 chain antibody; Tropomyosin alpha-4 chain antibody; Tropomyosin-4 antibody; wu:fb06e07 antibody; zgc:103436 antibody; zgc:63909 antibody
-
宿主:Rabbit
-
反應種屬:Human
-
免疫原:Recombinant Human Tropomyosin alpha-4 chain protein (1-248AA)
-
免疫原種屬:Homo sapiens (Human)
-
標記方式:Non-conjugated
-
克隆類型:Polyclonal
-
抗體亞型:IgG
-
純化方式:Antigen Affinity Purified
-
濃度:It differs from different batches. Please contact us to confirm it.
-
保存緩沖液:PBS with 0.02% sodium azide, 50% glycerol, pH7.3.
-
產品提供形式:Liquid
-
應用范圍:ELISA, IHC
-
推薦稀釋比:
Application Recommended Dilution IHC 1:20-1:200 -
Protocols:
-
儲存條件:Upon receipt, store at -20°C or -80°C. Avoid repeated freeze.
-
貨期:Basically, we can dispatch the products out in 1-3 working days after receiving your orders. Delivery time maybe differs from different purchasing way or location, please kindly consult your local distributors for specific delivery time.
-
用途:For Research Use Only. Not for use in diagnostic or therapeutic procedures.
相關產品
靶點詳情
-
功能:Binds to actin filaments in muscle and non-muscle cells. Plays a central role, in association with the troponin complex, in the calcium dependent regulation of vertebrate striated muscle contraction. Smooth muscle contraction is regulated by interaction with caldesmon. In non-muscle cells is implicated in stabilizing cytoskeleton actin filaments. Binds calcium.
-
基因功能參考文獻:
- TPM4 is associated with clinical progression in colon cancer patients and acts as a tumor suppressor in colon cancer cells. PMID: 29455030
- Tpm4.1 is essential to maintain cell-cell adhesions and to inhibit abnormal increases in cell migration and invasion, which are important to prevent invasion and metastasis of breast cancer cells. PMID: 28431393
- findings demonstrate a nonredundant role for TPM4 in platelet biogenesis in humans and mice and reveal that truncating variants in TPM4 cause a previously undescribed dominant Mendelian platelet disorder. PMID: 28134622
- Results show that Tpm4.2 facilitates the transition of NM-2A to the strongly actin-binding myosin-ADP state. PMID: 26847712
- Data indicate the upregulation of tropomyosin-4 in infiltrating ductal breast carcinomas (IDCAs) tissues, which may suggest its involvement in breast cancer development. PMID: 23812729
- TPM4, PDIA and SRC8 were also localized to the trophoblast cells, further highlighting the importance of these cytoskeletal remodelling proteins in early pregnancy PMID: 21373848
- Low TPM4 expression in the cytoplasm is associated with uterine cervix carcinogenesis. PMID: 21119665
- Tm4-defined cytoskeleton is a marker of growth and repair/regeneration in response to injury, disease state and stress in skeletal muscle. PMID: 17968984
顯示更多
收起更多
-
亞細胞定位:Cytoplasm, cytoskeleton.
-
蛋白家族:Tropomyosin family
-
組織特異性:Detected in cardiac tissue and platelets, the form found in cardiac tissue is a higher molecular weight than the form found in platelets. Expressed at higher levels in the platelets of hypertensive patients with cardiac hypertrophy than in the platelets o
-
數據庫鏈接:
Most popular with customers
-
-
YWHAB Recombinant Monoclonal Antibody
Applications: ELISA, WB, IHC, IF, FC
Species Reactivity: Human, Mouse, Rat
-
Phospho-YAP1 (S127) Recombinant Monoclonal Antibody
Applications: ELISA, WB, IHC
Species Reactivity: Human
-
-
-
-
-















