TPST1 Antibody
-
中文名稱:TPST1兔多克隆抗體
-
貨號:CSB-PA024132LA01HU
-
規格:¥3,900
-
圖片:
-
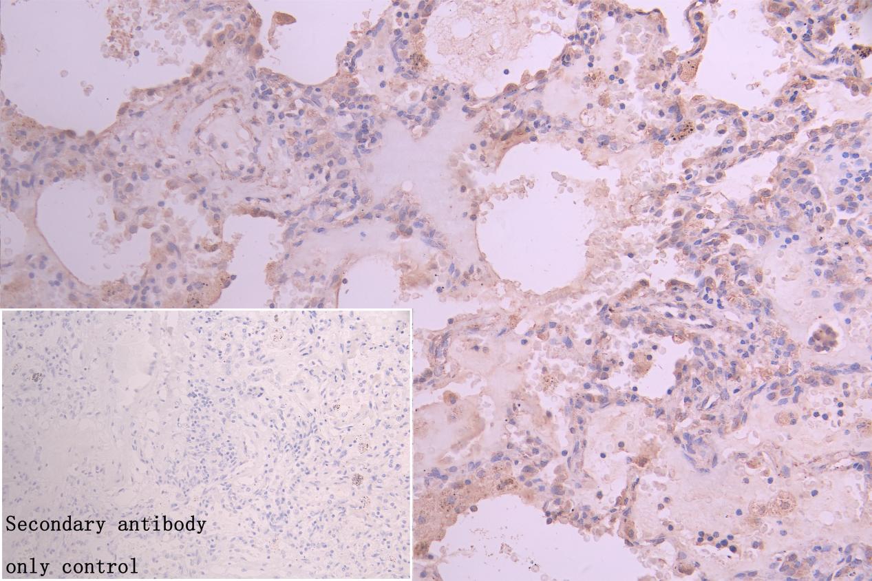
IHC image of CSB-PA024132LA01HU diluted at 1:50 and staining in paraffin-embedded human lung cancer performed on a Leica BondTM system. After dewaxing and hydration, antigen retrieval was mediated by high pressure in a citrate buffer (pH 6.0). Section was blocked with 10% normal goat serum 30min at RT. Then primary antibody (1% BSA) was incubated at 4°C overnight. The primary is detected by a Goat anti-rabbit polymer IgG labeled by HRP and visualized using 0.05% DAB. Secondary antibody only control: uses 1% BSA instead of primary antibody
-
IHC image of CSB-PA024132LA01HU diluted at 1:50 and staining in paraffin-embedded human colorectal cancer performed on a Leica BondTM system. After dewaxing and hydration, antigen retrieval was mediated by high pressure in a citrate buffer (pH 6.0). Section was blocked with 10% normal goat serum 30min at RT. Then primary antibody (1% BSA) was incubated at 4°C overnight. The primary is detected by a Goat anti-rabbit polymer IgG labeled by HRP and visualized using 0.05% DAB. Secondary antibody only control: uses 1% BSA instead of primary antibody
-
Western Blot
Positive WB detected in: Mouse Skeletal Muscle tissue lysate(20μg),Rat Skeletal Muscle tissue lysate(20μg)
All lanes: TPST1 antibody at 1:1000
Secondary
Goat polyclonal to rabbit IgG at 1/40000 dilution
Predicted band size: 43 kDa
Observed band size: 43 kDa
Exposure time: 120s -
Western Blot
Positive WB detected in: A549 whole cell lysate(20μg), U251 whole cell lysate(20μg), HepG2 whole cell lysate(20μg), Hela whole cell lysate(20μg), PC-3 whole cell lysate(20μg), 293 whole cell lysate(20μg)
All lanes: TPST1 antibody at 1:1000
Secondary
Goat polyclonal to rabbit IgG at 1/20000 dilution
Predicted band size: 43 kDa
Observed band size: 43 kDa
Exposure time: 60s
-
-
其他:
產品詳情
-
產品名稱:Rabbit anti-Homo sapiens (Human) TPST1 Polyclonal antibody
-
Uniprot No.:
-
基因名:TPST1
-
別名:TPST1; Protein-tyrosine sulfotransferase 1; Tyrosylprotein sulfotransferase 1; TPST-1
-
宿主:Rabbit
-
反應種屬:Human, Mouse, Rat
-
免疫原:Recombinant Human Protein-tyrosine sulfotransferase 1 protein (283-370AA)
-
免疫原種屬:Homo sapiens (Human)
-
克隆類型:Polyclonal
-
抗體亞型:IgG
-
純化方式:Antigen?affinity?purification
-
濃度:It differs from different batches. Please contact us to confirm it.
-
保存緩沖液:Preservative: 0.02% sodium azide
Constituents: 50% Glycerol, 0.01M PBS, pH 7.4 -
產品提供形式:Liquid
-
應用范圍:ELISA, WB, IHC
-
推薦稀釋比:
Application Recommended Dilution WB 1:1000-1:3000 IHC 1:50-1:200 -
Protocols:
-
儲存條件:Upon receipt, store at -20°C or -80°C. Avoid repeated freeze.
-
貨期:Basically, we can dispatch the products out in 1-3 working days after receiving your orders. Delivery time maybe differs from different purchasing way or location, please kindly consult your local distributors for specific delivery time.
-
用途:For Research Use Only. Not for use in diagnostic or therapeutic procedures.
相關產品
靶點詳情
-
功能:Catalyzes the O-sulfation of tyrosine residues within acidic motifs of polypeptides, using 3'-phosphoadenylyl sulfate (PAPS) as cosubstrate.
-
基因功能參考文獻:
- TPST1 was significantly negatively correlated with the expression of cMet in lung cancer and may be a negative prognostic biomarker of lung cancer. PMID: 26238632
- TPST1 rs3757417T>G polymorphisms are associated with colorectal cancer. PMID: 25079514
- Affinity purified salivary TPST showed a single band of 50-54 kDa and is the first report characterizing a tyrosylprotein sulfotransferase in secretory fluid from the parotid gland PMID: 16244708
- results exclude TPST1 as the causative gene for Shwachman-Diamond syndrome PMID: 12032733
- Shear stress-dependent downregulation of TPST1 in human endothelium involves protein kinase C PMID: 12056800
- Human tyrosylprotein sulfotransferase may be functional as homodimer/oligomer in the trans-Golgi compartment. PMID: 16859706
顯示更多
收起更多
-
亞細胞定位:Golgi apparatus membrane; Single-pass type II membrane protein.
-
蛋白家族:Protein sulfotransferase family
-
組織特異性:Ubiquitous. Detected in heart, brain, placenta, lung, liver, skeletal muscle, kidney and pancreas.
-
數據庫鏈接:
Most popular with customers
-
-
YWHAB Recombinant Monoclonal Antibody
Applications: ELISA, WB, IHC, IF, FC
Species Reactivity: Human, Mouse, Rat
-
Phospho-YAP1 (S127) Recombinant Monoclonal Antibody
Applications: ELISA, WB, IHC
Species Reactivity: Human
-
-
-
-
-















