TRPC3 Antibody
-
中文名稱:TRPC3兔多克隆抗體
-
貨號:CSB-PA597518
-
規格:¥1100
-
圖片:
-
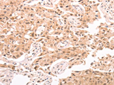
The image on the left is immunohistochemistry of paraffin-embedded Human ovarian cancer tissue using CSB-PA597518(TRPC3 Antibody) at dilution 1/80, on the right is treated with synthetic peptide. (Original magnification: ×200)
-
The image on the left is immunohistochemistry of paraffin-embedded Human lung cancer tissue using CSB-PA597518(TRPC3 Antibody) at dilution 1/80, on the right is treated with synthetic peptide. (Original magnification: ×200)
-
Gel: 8%SDS-PAGE, Lysate: 40 μg, Lane: Human fetal brain tissue, Primary antibody: CSB-PA597518(TRPC3 Antibody) at dilution 1/1600, Secondary antibody: Goat anti rabbit IgG at 1/8000 dilution, Exposure time: 2 minutes
-
-
其他:
產品詳情
-
Uniprot No.:
-
基因名:TRPC3
-
別名:TRPC3 antibody; TRP3 antibody; Short transient receptor potential channel 3 antibody; TrpC3 antibody; Transient receptor protein 3 antibody; TRP-3 antibody; hTrp-3 antibody; hTrp3 antibody
-
宿主:Rabbit
-
反應種屬:Human,Mouse,Rat
-
免疫原:Synthetic peptide of Human TRPC3
-
免疫原種屬:Homo sapiens (Human)
-
標記方式:Non-conjugated
-
抗體亞型:IgG
-
純化方式:Antigen affinity purification
-
濃度:It differs from different batches. Please contact us to confirm it.
-
保存緩沖液:Liquid in PBS containing 50% glycerol, 0.5% BSA and 0.02% sodium azide.
-
產品提供形式:Liquid
-
應用范圍:ELISA,WB,IHC
-
推薦稀釋比:
Application Recommended Dilution ELISA 1:2000-1:10000 WB 1:1000-1:5000 IHC 1:100-1:300 -
Protocols:
-
儲存條件:Upon receipt, store at -20°C or -80°C. Avoid repeated freeze.
-
貨期:Basically, we can dispatch the products out in 1-3 working days after receiving your orders. Delivery time maybe differs from different purchasing way or location, please kindly consult your local distributors for specific delivery time.
-
用途:For Research Use Only. Not for use in diagnostic or therapeutic procedures.
相關產品
靶點詳情
-
功能:Thought to form a receptor-activated non-selective calcium permeant cation channel. Probably is operated by a phosphatidylinositol second messenger system activated by receptor tyrosine kinases or G-protein coupled receptors. Activated by diacylglycerol (DAG) in a membrane-delimited fashion, independently of protein kinase C, and by inositol 1,4,5-triphosphate receptors (ITPR) with bound IP3. May also be activated by internal calcium store depletion.
-
基因功能參考文獻:
- Diacylglycerol generation downstream of VEGF receptors activatesTRPC3 causing Na(+) influx with subsequent reversal of NCX1, ERK1/2 activation and ultimately contributes to enhanced angiogenesis. PMID: 28535874
- TRPC3contributes to melanoma proliferation and migration through activation of STAT5/Akt signaling. PMID: 27613608
- We also observed that acetylcholine attenuated the formation of NCX1-TRPC3-IP3R1 complexes and maintained calcium homeostasis in cells treated with TNF-alpha. PMID: 28395930
- Data show clear inhibition of the photouncaging- induced Ca2+ signal by the TRPC3 channel inhibitor SKF 96365. PMID: 27430887
- The subsequent ER stress-induced apoptosis exhibit a strong requirement for constitutive Ca(2+) influx and that TRPC3 contributes to this process. PMID: 26215710
- Data show that mechanical stretching of transient receptor potential cation channel, subfamily C, member 3 (TRPC3) overexpressing fibroblasts induced the activation of nuclear factor-kappa B (NFkappaB). PMID: 26108359
- TRPC3 and TRPC6 participate diversely in synaptic reorganization in the mossy fiber pathway in temporal lobe epilepsy. PMID: 25213992
- the first in vivo evidence for a proatherogenic role of endothelial TRPC3. PMID: 25870279
- CaSR activation mediates Ca2+ influx and cell proliferation via TRPC3 and TRPC6 in human mesangial cells PMID: 24905090
- although gene deletion of TRPC3 or TRPC6 alone did not protect against hypertrophy or dysfunction from pressure overload, combined deletion was protective, supporting the value of dual inhibition PMID: 24453217
- there is an absolute requirement for TRPC3-mediated diacylglycerol-dependent Ca(2+) entry to initiate and sustain the spiking response. PMID: 23682725
- Removal of a large hydrophobic residue (I667A or I667E) generated TRPC3 channels with approximately 60% constitutive activity, suggesting I667 as part of the dynamic structure occluding the permeation path. PMID: 23800762
- These data emphasize the role of TRPC3 and Ca(2+) influx in the regulation of BDNF secretion by human airway smooth muscle. PMID: 23899746
- Higher TRPC3 expression levels correlated with early relapse and worse prognosis in ovarian cancer, and TRPC3 plays a significant role in the stimulating activity of FSH. PMID: 23580589
- Pdx-1 activates islet alpha- and beta-cell proliferation via a mechanism regulated by transient receptor potential cation channels 3 and 6 and extracellular signal-regulated kinases 1 and 2. PMID: 23938296
- A significant fraction of mitochondrial divalent calcium (Ca2+) uptake that relies on extramitochondrial Ca2+ concentration is TRPC3-dependent, and the up- and down-regulation of cell TRPC3 expression influences the mitochondrial membrane potential. PMID: 23776229
- study suggests that TRPC3 may be a potential new target in endothelial protection in patients with endothelial dysfunction such as in patients with coronary artery disease PMID: 22960861
- Results indicate that oleic acid can influence T-lymphocyte functions, in the conjugated form of diacylglycerol (DAG) via opening transient receptor potential cation channel subfamily C TRPC3/6 channels. PMID: 22306362
- In the presence of 2-APB or after siRNA knockdown of TRPC3 the fMLP-induced monocyte migration was significantly blocked in hypertensive patients compared to normotensive control subjects. PMID: 22438881
- Calcium metabolism abnormalities observed in Williams-Beuren syndrome may be attributable to transcription factor IIi gene haploinsufficiency and subsequent TRPC3 overexpression. PMID: 22566418
- Data show the expression of TRPC6 and TRPV1 was significantly increased after 24 hours of exposure to an atheroprone flow, whereas the expression of TRPC3 and TRPM7 was significantly higher in endothelial cells exposed to shear stress. PMID: 22566504
- The TRPC3 alternative promoter is a methylation quantitative-trait locus associated with the ataxia phenotype. PMID: 21931279
- We find that in Purkinje cells, activation of TRPC3-dependent currents is not inhibited by conventional PKC or PKG to any significant extent and that inhibition of these kinases does not significantly impact on TRPC3-mediated currents either. PMID: 22207762
- TRPC3 expression is associated with hypertension and hypoxic conditions in human cerebral vascular tissue. PMID: 21957871
- Higher levels of TRPC3 expression is associated with treatment response in lung adenocarcinoma. PMID: 21603869
- Our findings suggest that mutations in TRPC3 do not significantly contribute to the cause of late-onset and episodic human cerebellar ataxias PMID: 21321808
- There is a significant increase of TRPC3 channel protein expression in patients with chronic kidney disease compared to healthy control subjects (normalized expression, 0.42+/-0.06 vs. 0.19+/-0.03; p<0.01). PMID: 21802402
- analysis of the role of specific domains in the different responsiveness of TRPC3 and TRPC6 to erythropoietin PMID: 21757714
- A central role is demonstrated for sodium entry via TRPC3/6 channels via receptor-mediated increases in intracellular calcium. PMID: 20728215
- TRPC3 modulates Ca(2)+-dependent proliferation of primary CD4+ T-cells indicating that TRPC3 may be involved in Ca(2)+ homeostasis in T cells. PMID: 21215279
- TRPC3 functions as both a Ca(2+)-permeable channel and a protein scaffold at the plasma membrane for downstream PKCbeta activation in B cells. PMID: 20179100
- On TRPC3 constitutive function through a signaling mechanism that requires constitutive TRPC3-mediated Ca2+ influx for activation of nuclear factor kappaB, presumably through Ca2+-dependent activation of the calmodulin/calmodulin-dependent kinase. PMID: 20360250
- plays pivotal roles in the process of astrocytic and microglial activation. PMID: 20190511
- Since it activates calcium signaling and induce cardiac hypertrophy, it may be a new therapeutic target for heart failure. PMID: 20190513
- controls Ca(2+) influxes that induce diverse cellular processes and its selective inhibitor Pyr3 is useful for treatments of the diseases mediated by it. PMID: 20190514
- Comparison of human TRPC3 channels in receptor-activated and store-operated modes. PMID: 11943785
- receptor-mediated activation of phospholipase C in intact cells activates TRPC3 via diacylglycerol production. PMID: 12606542
- overexpression of transient receptor potential channel 3 in myometrium cells enhanced thapsigargin-, oxytocin-, and OAG-induced Ca2+ entry PMID: 12700192
- the CIRB region of TRPC3 is involved in its targeting to the plasma membrane by a mechanism that does not involve interaction with IP3 receptors PMID: 12730194
- TRPC3 channels are important for the TCR-dependent Ca2+ entry pathway. The TRPC3 gene was found to be damaged in human T-cell mutants defective in Ca2+ influx. PMID: 12736256
- the pattern of TRPC3 and TRPC6 glycosylation determines regulation of their activity PMID: 12970363
- functional and physical interaction of nonselective TRPC cation channels with NCX proteins as a novel principle of TRPC-mediated Ca(2+) signaling. PMID: 14736881
- TRPC3 channels are directly phosphorylated by PKG at position T11 and S263, and this phosphorylation abolished the store-operated Ca2+ influx mediated by TRPC3 channels in HEK293 cells. PMID: 14983059
- diacylglycerol activation of TRPC3 requires src kinase PMID: 15271991
- TRPC channel overexpression may be partially responsible for the increased pulmonary artert smooth muscle cell proliferation and pulmonary vascular medial hypertrophy in pulmonary hypertension patients. PMID: 15358862
- a strong functional link between the operation of expressed TRPC channels and endogenous SOC activity. PMID: 15647288
- the partial PH domain of PLC-gamma1 interacts with a complementary partial PH-like domain in TRPC3 to elicit lipid binding and cell-surface expression of TRPC3 PMID: 15744307
- Protein kinase C can inactivate TRPC3 indirectly by activating protein kinase G, and directly by phosphorylation on Ser-712. PMID: 16331690
- Cholesterol loading as well as PLC stimulation increased surface expression of TRPC3. Promotion of TRPC3 membrane expression by cholesterol was persistent, while PLC-mediated enhancement of plasma membrane expression of TRPC3 was transient. PMID: 16448384
- expression of TRPC3 is tightly regulated during muscle cell differentiation and functional interaction between TRPC3 and RyR1 may regulate the gain of SR Ca(2+) release independent of SR Ca(2+) load PMID: 16484216
顯示更多
收起更多
-
相關疾病:Spinocerebellar ataxia 41 (SCA41)
-
亞細胞定位:Membrane; Multi-pass membrane protein.
-
蛋白家族:Transient receptor (TC 1.A.4) family, STrpC subfamily, TRPC3 sub-subfamily
-
組織特異性:Expressed predominantly in brain and at much lower levels in ovary, colon, small intestine, lung, prostate, placenta and testis.
-
數據庫鏈接:
Most popular with customers
-
-
YWHAB Recombinant Monoclonal Antibody
Applications: ELISA, WB, IHC, IF, FC
Species Reactivity: Human, Mouse, Rat
-
Phospho-YAP1 (S127) Recombinant Monoclonal Antibody
Applications: ELISA, WB, IHC
Species Reactivity: Human
-
-
-
-
-















