TRPM4 Antibody
-
中文名稱:TRPM4兔多克隆抗體
-
貨號:CSB-PA819465ESR2HU
-
規格:¥440
-
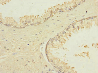
圖片:
-
其他:
產品詳情
-
產品名稱:Rabbit anti-Homo sapiens (Human) TRPM4 Polyclonal antibody
-
Uniprot No.:
-
基因名:
-
別名:1110030C19Rik antibody; AW047689 antibody; Calcium-activated non-selective cation channel 1 antibody; FLJ20041 antibody; hTRPM4 antibody; Long transient receptor potential channel 4 antibody; LTrpC-4 antibody; LTrpC4 antibody; Melastatin 4 antibody; Melastatin like 2 protein antibody; Melastatin-4 antibody; Melastatin-like 2 antibody; Mls2s antibody; PFHB1B antibody; Transient receptor potential cation channel subfamily M member 4 antibody; Transient receptor potential cation channel, subfamily M, member 4 antibody; Trpm4 antibody; TRPM4_HUMAN antibody; TRPM4B antibody
-
宿主:Rabbit
-
反應種屬:Human
-
免疫原:Recombinant Human Transient receptor potential cation channel subfamily M member 4 protein (1-240AA)
-
免疫原種屬:Homo sapiens (Human)
-
標記方式:Non-conjugated
-
克隆類型:Polyclonal
-
抗體亞型:IgG
-
純化方式:Antigen Affinity Purified
-
濃度:It differs from different batches. Please contact us to confirm it.
-
保存緩沖液:PBS with 0.02% sodium azide, 50% glycerol, pH7.3.
-
產品提供形式:Liquid
-
應用范圍:ELISA, IHC
-
推薦稀釋比:
Application Recommended Dilution IHC 1:20-1:200 -
Protocols:
-
儲存條件:Upon receipt, store at -20°C or -80°C. Avoid repeated freeze.
-
貨期:Basically, we can dispatch the products out in 1-3 working days after receiving your orders. Delivery time maybe differs from different purchasing way or location, please kindly consult your local distributors for specific delivery time.
-
用途:For Research Use Only. Not for use in diagnostic or therapeutic procedures.
相關產品
靶點詳情
-
功能:Calcium-activated non selective (CAN) cation channel that mediates membrane depolarization. While it is activated by increase in intracellular Ca(2+), it is impermeable to it. Mediates transport of monovalent cations (Na(+) > K(+) > Cs(+) > Li(+)), leading to depolarize the membrane. It thereby plays a central role in cadiomyocytes, neurons from entorhinal cortex, dorsal root and vomeronasal neurons, endocrine pancreas cells, kidney epithelial cells, cochlea hair cells etc. Participates in T-cell activation by modulating Ca(2+) oscillations after T lymphocyte activation, which is required for NFAT-dependent IL2 production. Involved in myogenic constriction of cerebral arteries. Controls insulin secretion in pancreatic beta-cells. May also be involved in pacemaking or could cause irregular electrical activity under conditions of Ca(2+) overload. Affects T-helper 1 (Th1) and T-helper 2 (Th2) cell motility and cytokine production through differential regulation of calcium signaling and NFATC1 localization. Enhances cell proliferation through up-regulation of the beta-catenin signaling pathway. Plays a role in keratinocyte differentiation.
-
基因功能參考文獻:
- Data suggest that TRPM4 exhibits binding sites for calmodulin (CaM) and S100 calcium-binding protein A1 (S100A1) located in very distal part of TRPM4 N-terminus. PMID: 29240297
- Here, we report the functional effects of previously uncharacterized variants of uncertain significance (VUS) that we have found while performing a "genetic autopsy" in individuals who have suffered sudden unexpected death. We have identified thirteen uncommon missense VUS in TRPM4 by testing 95 targeted genes implicated in channelopathy and cardiomyopathy in 330 cases PMID: 30391667
- We identified a double heterozygosity for pathogenic mutations in SCN5A and TRPM4 in a Brugada syndrome patient. PMID: 28494446
- The electron cryomicroscopy structure of human transient receptor potential melastatin subfamily member 4 (TRPM4) in a closed, Na(+)-bound, apo state at pH 7.5 to an overall resolution of 3.7 A is reported. PMID: 29463718
- electron cryo-microscopy structure of the most widespread CAN channel, human TRPM4, bound to the agonist Ca(2+) and the modulator decavanadate PMID: 29211723
- TRPM4 protein expression is up-regulated in diffuse large B cell lymphoma PMID: 28248435
- study presents 2 structures of TRPM4 embedded in lipid nanodiscs at ~3-angstrom resolution, as determined by single-particle cryo-electron microscopy; these structures, with and without calcium bound, reveal a general architecture for this major subfamily of TRP channels and a well-defined calcium-binding site within the intracellular side of the S1-S4 domain PMID: 29217581
- The loss-of-function variants A432T/G582S found in 2 unrelated patients with atrioventricular block are most likely caused by misfolding-dependent altered trafficking. PMID: 27207958
- Study supports the view that TRPM4 variants could be responsible for about 2% of LQT syndrome cases. The impact of these variants results in electrophysical disturbances. PMID: 28315637
- A large pedigree diagnosed with progressive familial heart block type I was linked to a mutation of the TRPM4 ion channel. PMID: 26820365
- Identify TRPM4 as a regulator of store operated calcium entry in prostate tumor cells, and demonstrate a role for TRPM4 in cancer cell migration. PMID: 26496025
- TRPM4 channels regulate human detrusor smooth muscle excitability and contractility and are critical determinants of human urinary bladder function PMID: 26791488
- TRPM4 protein expression is widely expressed in benign and cancerous prostate tissue PMID: 26590985
- new insight into the ligand binding domains of the TRPM4 channel PMID: 26071843
- Casein kinase 1 phosphorylates S839 and is responsible for the basolateral localization of TRPM4. PMID: 25231975
- TRPM4 acts to maintain endothelial features and its loss promotes fibrotic conversion via TGF-beta production. PMID: 25909699
- we demonstrate that the inhibition of TRPM4 activity alters cellular contractility in vivo, affecting cutaneous wound healing. PMID: 26110647
- The PKC-dependent effect of GLP-1 on membrane potential and electrical activity was mediated by activation of Na(+)-permeable TRPM4 and TRPM5 channels by mobilization of intracellular Ca(2+) from thapsigargin-sensitive Ca(2+) stores PMID: 26571400
- TRPM4 protein is a ROS-modulated non-selective cationic channel that performs several cell functions, including regulating intracellular Ca(2+) overload and Ca(2+) oscillation PMID: 24518820
- these data suggest an important role for the Sur1-Trpm4 channel in the pathophysiology of postischemic cell death PMID: 26172285
- These results showed that the cell surface expression of TRPM4 channels is mediated by 14-3-3gamma binding. PMID: 25047048
- Contraction of cerebral artery smooth muscle cells requires the integration of pressure-sensing signaling pathways and depolarization through the activation of TRPM4. PMID: 24866019
- TRPM4 is an important regulator of Ca2+ signals generated by histamine in hASCs and is required for adipogenesis. PMID: 25001294
- Used the Xenopus laevis oocyte expression system for expression, purification and extraction of functional human TRPM4 protein. Investigated the supra-molecular assembly of TRPM4. PMID: 24333049
- TRPM4 possesses the biophysical properties and upstream cellular signaling and regulatory pathways that establish it as a major physiological player in smooth muscle membrane depolarization. PMID: 23116477
- No role was found for TRPM4 in the peripheral blood compartment of multiple sclerosis patients. PMID: 23796873
- Because of its effect on the resting membrane potential, reduction or increase of TRPM4 channel function may both reduce the availability of sodium channel and thus lead to Brugada syndrome . PMID: 23382873
- TRPM4 cation channel mediates axonal and neuronal degeneration in experimental autoimmune encephalomyelitis and multiple sclerosis. PMID: 23160238
- In eight probands with atrioventricular block or right bundle branch block-five familial cases and three sporadic cases-a total of six novel and two published TRPM4 mutations were identified. PMID: 21887725
- Cys(1093) residue of TRPM4 is crucial for the H(2)O(2)-mediated loss of desensitization. PMID: 20884614
- These results identify TRPM4 as an important, unanticipated regulator of the beta-catenin pathway, where aberrant signaling is frequently associated with cancer. PMID: 20625999
- TRPM4 gene is a causative gene in isolated cardiac conduction disease with mutations resulting in a gain of function and TRPM4 channel being highly expressed in cardiac Purkinje fibers. PMID: 20562447
- Voltage dependence is not due to block by divalent cations or to voltage-dependent binding of intracellular Ca2+ to an activator site, indicating that TRPM4 is a transient receptor potential channel with an intrinsic voltage-sensing mechanism. PMID: 12799367
- TRPM4-mediated depolarization modulates Ca2+ oscillations, with downstream effects on cytokine production in T lymphocytes PMID: 15550671
- the Ca(2+) sensitivity of TRPM4 is regulated by ATP, PKC-dependent phosphorylation, and calmodulin binding at the C terminus. PMID: 15590641
- analysis of selectivity filter of the cation channel TRPM4 PMID: 15845551
- hydrolysis of PI(4,5)P(2) underlies desensitization of TRPM4, and PI(4,5)P(2) is a general regulator for the gating of TRPM ion channels PMID: 16186107
- PIP2 is a strong positive modulator of TRPM4 and implicate the C-terminal PH domain in PIP2 action. PMID: 16424899
- evidence indicates a role as a regulator of membrane potential, and thus the driving force for Ca2+ entry from the extracellular medium--{REVIEW} PMID: 17217063
- This study is believed to provide the first clear evidence that TRPM4b interacts physically with TRPC3. PMID: 18262493
- Depolarizing currents generated by TRPM4 are an important component in the control of intracellular Ca(2+) signals necessary for insulin secretion and perhaps glucagon from alpha-cells. PMID: 19063936
- In 3 branches of a large South African Afrikaner pedigree with an autosomal-dominant form of progressive familial heart block type I, identified the mutation c.19G-->A, which attenuated deSUMOylation of the TRPM4 channel. PMID: 19726882
顯示更多
收起更多
-
相關疾病:Progressive familial heart block 1B (PFHB1B)
-
亞細胞定位:[Isoform 1]: Cell membrane; Multi-pass membrane protein. Endoplasmic reticulum. Golgi apparatus.; [Isoform 2]: Cell membrane. Endoplasmic reticulum. Golgi apparatus.
-
蛋白家族:Transient receptor (TC 1.A.4) family, LTrpC subfamily, TRPM4 sub-subfamily
-
組織特異性:Widely expressed with a high expression in intestine and prostate. In brain, it is both expressed in whole cerebral arteries and isolated vascular smooth muscle cells. Prominently expressed in Purkinje fibers. Expressed at higher levels in T-helper 2 (Th2
-
數據庫鏈接:
Most popular with customers
-
-
-
-
-
-
VDAC1 Recombinant Monoclonal Antibody
Applications: ELISA, WB, IHC
Species Reactivity: Human, Mouse, Rat
-
VCP Recombinant Monoclonal Antibody
Applications: ELISA, WB, IHC, IF, IP
Species Reactivity: Human, Rat
-















