-
中文名稱:TRPV2兔多克隆抗體
-
貨號:CSB-PA897571LA01HU
-
規格:¥440
-
圖片:
-
Western Blot
Positive WB detected in: Mouse skeletal muscle tissue
All lanes: TRPV2 antibody at 4.51μg/ml
Secondary
Goat polyclonal to rabbit IgG at 1/50000 dilution
Predicted band size: 86 kDa
Observed band size: 86 kDa -
Immunofluorescence staining of HepG2 cells with CSB-PA897571LA01HU at 1:266, counter-stained with DAPI. The cells were fixed in 4% formaldehyde, permeabilized using 0.2% Triton X-100 and blocked in 10% normal Goat Serum. The cells were then incubated with the antibody overnight at 4°C. The secondary antibody was Alexa Fluor 488-congugated AffiniPure Goat Anti-Rabbit IgG(H+L).
-
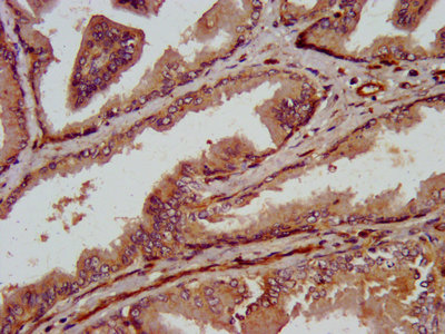
IHC image of CSB-PA897571LA01HU diluted at 1:800 and staining in paraffin-embedded human prostate tissue performed on a Leica BondTM system. After dewaxing and hydration, antigen retrieval was mediated by high pressure in a citrate buffer (pH 6.0). Section was blocked with 10% normal goat serum 30min at RT. Then primary antibody (1% BSA) was incubated at 4°C overnight. The primary is detected by a biotinylated secondary antibody and visualized using an HRP conjugated SP system.
-
-
其他:
產品詳情
-
產品描述:
The rabbit anti-human TRPV2 polyclonal antibody is an IgG antibody produced in rabbits that specifically recognizes and binds to the human and mouse TRPV2 protein. Its immunogen is the recombinant human TRPV2 protein (1-117aa). Protein G purification of this TRPV2 antibody brought it a purity of up to 95%. The specificity and reliability of this TRPV2 antibody have been verified in ELISA, WB, IHC, and IF applications.
TRPV2 is primarily expressed in sensory neurons and regulates pain perception, body temperature, and cell survival. In particular, TRPV2 has been implicated in the regulation of cell proliferation, migration, and differentiation, as well as the modulation of synaptic plasticity in the nervous system. TRPV2 dysregulation is associated with various pathological conditions, including chronic pain, cancer, and neurodegenerative diseases.
-
產品名稱:Rabbit anti-Homo sapiens (Human) TRPV2 Polyclonal antibody
-
Uniprot No.:
-
基因名:
-
別名:TRPV2; VRL; Transient receptor potential cation channel subfamily V member 2; TrpV2; Osm-9-like TRP channel 2; OTRPC2; Vanilloid receptor-like protein 1; VRL-1
-
宿主:Rabbit
-
反應種屬:Human, Mouse
-
免疫原:Recombinant Human Transient receptor potential cation channel subfamily V member 2 protein (1-117AA)
-
免疫原種屬:Homo sapiens (Human)
-
標記方式:Non-conjugated
本頁面中的產品,TRPV2 Antibody (CSB-PA897571LA01HU),的標記方式是Non-conjugated。對于TRPV2 Antibody,我們還提供其他標記。見下表:
-
克隆類型:Polyclonal
-
抗體亞型:IgG
-
純化方式:>95%, Protein G purified
-
濃度:It differs from different batches. Please contact us to confirm it.
-
保存緩沖液:Preservative: 0.03% Proclin 300
Constituents: 50% Glycerol, 0.01M PBS, pH 7.4 -
產品提供形式:Liquid
-
應用范圍:ELISA, WB, IHC, IF
-
推薦稀釋比:
Application Recommended Dilution WB 1:500-1:5000 IHC 1:500-1:1000 IF 1:50-1:200 -
Protocols:
-
儲存條件:Upon receipt, store at -20°C or -80°C. Avoid repeated freeze.
-
貨期:Basically, we can dispatch the products out in 1-3 working days after receiving your orders. Delivery time maybe differs from different purchasing way or location, please kindly consult your local distributors for specific delivery time.
-
用途:For Research Use Only. Not for use in diagnostic or therapeutic procedures.
引用文獻
- ASSOCIATION OF INTERLEUKIN-6 AND INTERLEUKIN-11 WITH NEONATAL SEPSIS RM Abbas,medicine.uodiyala.edu,2022
- Melanogenesis inhibition effect of ethanolic Andrographis paniculata leaf extract via suppression of tyrosinase and MITF expression F Ramli,japsonline,2022
相關產品
靶點詳情
-
功能:Calcium-permeable, non-selective cation channel with an outward rectification. Seems to be regulated, at least in part, by IGF-I, PDGF and neuropeptide head activator. May transduce physical stimuli in mast cells. Activated by temperatures higher than 52 degrees Celsius; is not activated by vanilloids and acidic pH.
-
基因功能參考文獻:
- TRPV2 mediates IL-8 secretion and calcium signaling in testicular peritubular cells. PMID: 30235802
- TRPV2 expression was inversely correlated with CRP and TpI and directly correlated with serum IGF-1. We assume that peripheral TRPV2 downregulation occurs concomitantly with the accumulation of TRPV2-white blood cells in the peri-infarct zone. TRPV2 may thus represent a novel target for treatment in the acute phase after MI. PMID: 29393104
- the expression of transient receptor potential vanilloid-1 (TRPV1), transient receptor potential vanilloid-2 (TRPV2) and transient receptor potential vanilloid-3 (TRPV3) channels in native human odontoblasts, was examined. PMID: 28905239
- High TRPV2 expression is associated with breast cancer. PMID: 26993604
- Binding of capsaicin to TRPV2_Quad antagonizes resiniferatoxin-induced activation likely through competition for the same binding sites. PMID: 27298359
- both TRPV2 and TRPV4 are involved in migration of human cardiac c-kit(+) progenitor cells. PMID: 26865051
- The results of the study show that polymorphism of TRPV2 influenced the susceptibility to FM. PMID: 27079220
- CGRP- and TRPV2-containing trigeminal neurons probably innervate the paranasal sinus mucosae, and project into spinal and principal trigeminal sensory nuclei. PMID: 27553072
- transient receptor potential vanilloid 2 is an intracellular Ca(2+)-permeable transient receptor potential vanilloid channel upregulated by nerve growth factor via the mitogen-activated protein kinase signaling pathway to augment neurite outgrowth. PMID: 26416880
- Using multiple sequence alignments as source for evolutionary, bioinformatics and statistical analysis, we have analyzed the evolutionary profiles for TRPV1, TRPV2, TRPV3 and TRPV4 PMID: 25333484
- There appears to be TRPV1- or TRPV2-IR sympathetic pathway in the human stellate ganglion and spinal cord. PMID: 25641129
- This study evaluated the role of Trpv2 in arthritis and the pharmacological effects of Trpv2 agonists. PMID: 25869297
- High expression of TRPV2 mRNA was closely associated with advanced pathological stage and worse survival of patients with esophageal squamous cell carcinoma. PMID: 24878697
- Aim of this review is to study the role of the TRPV2 channel, a member of the TRPV subfamily of TRP channels, in tumor progression. [review] PMID: 25001513
- TRPV1-, TRPV2-, P2X3-, and parvalbumin-immunoreactivity neurons in the human nodose ganglion innervate the pharynx and epiglottis through the pharyngeal branch and superior laryngeal nerve PMID: 24764033
- Data indicate that transient receptor potential vanilloid 2 (TRPV2) siRNA virtually abolished stretch-activated current. PMID: 25268680
- An upregulation in the expression of vanilloid transient potential channels 2 enhances hypotonicity-induced cytosolic Ca(2) rise in human induced pluripotent stem cell model of Hutchinson-Gillford Progeria. PMID: 24475260
- Sarcolemmal TRPV2 accumulation appears to have considerable pathological impact on Dilated cardiomyopathy (DCM) progression. PMID: 23786999
- The addition of TRPV2 inhibitor Tranilast in the incubation medium prevent the calcium influx triggered by lysoPC and reduced lysoPC-induced cytotoxicity,whereas TRPV4 inhibitor RN 1734 was without effect PMID: 23964684
- TRPV2 mediates adrenomedullin stimulation of prostate and urothelial cancer cell adhesion, migration and invasion. PMID: 23741410
- TRPV1 and TRPV2 are potential targets for potential therapeutic interventions in cardiovascular disease. PMID: 23453732
- Duchenne muscular dystrophy primary human myotubes exhibit abnormal elevation of TRPV2-dependant cation entry. PMID: 23426965
- TRPV2 plays a key role in mast-cell degranulation in response to mechanical, heat and red laser-light stimulation. PMID: 21574765
- The increased expression of TRPV2 gene in peripheral lymphocytes is closely correlated with childhood asthma in the north of China. PMID: 23294145
- TRPV2-coupled signaling as a key player in mediating the cellular actions of heat shock on DCs PMID: 23542034
- Cultivated HCjE cells and human conjunctiva express TRPV2, mRNA. PMID: 22327830
- Human corneal epithelial cells possess thermosensitive TRPV2 activity. PMID: 21506114
- A calmodulin binding site was located in the C-termini of TRPV2 (654-683) and TRPV5 (587-616). PMID: 20686800
- Decrease in membrane phosphatidylinositol 4,5-bisphosphate (PIP2) levels on channel activation underlies a major component of divalent calcium ion-dependent desensitization of TRPV2 and may play a similar role in other TRP channels. PMID: 20926660
- TRPV2 negatively controls glioma cell survival and proliferation, as well as resistance to Fas-induced apoptotic cell death in an ERK-dependent manner. PMID: 20093382
- Findings establish a role for TRPV2 in PCa progression to the aggressive castration-resistant stage, prompting evaluation of TRPV2 as a potential prognostic marker and therapeutic target in the setting of advanced PCa. PMID: 20103638
- TRPV2 plays a role in human hepatocarcinogenesis and might be a prognostic marker of patients with hepatocellular carcinoma (HCC). PMID: 20113837
- TRPV2 and PKA have roles as a signaling module for transduction of physical stimuli in mast cells PMID: 15249591
- It is concluded that PI3-kinase induces or modulates the activity of recombinant TRPV2 channels; in contrast to the previously proposed mechanism, activation of TRPV2 channels by PI3-kinase is not due to channel translocation to the plasma membrane. PMID: 16533525
- Both TRPV1 and TRPV2 are found in human peripheral blood lymphocytes. PMID: 16777226
- The TRPV2 ARD provides the first structural insight into a domain that coordinates nociceptive sensory transduction and is likely to be a prototype for other TRPV channel ARDs PMID: 16882997
- A progressive loss of s-TRPV2 accompanied by an increase of hTRPV2 expression was found in high-grade and -stage UC. PMID: 17977643
- Messenger RNA transcripts of TRPVs 1 through 4 are detected for the first time in human pulmonary artery smooth muscle cells. PMID: 18787888
- relative gene expression ofTRPV1-4 in leukocytes is: TRPV3 < TRPV4, TRPV1 and TRPV2; leukocytes in hyposensitive subjects showed up-regulation of TRPV1, which was almost doubly expressed PMID: 18983665
- The reduction of TRPV2 and TRPM8 immunoreactive nerve fibers in skin from individuals with Norrbottnian congenital insensitivity to pain further suggests that these ion channels are expressed primarily on nociceptive primary sensory neurons. PMID: 19482060
- TRPV1-immunoreactivity was significantly higher and TRPV2-immunoreactivity was significantly lower in peripheral blood mononuclear cells from end-stage kidney disease patients compared to controls. PMID: 19619644
顯示更多
收起更多
-
亞細胞定位:Cell membrane; Multi-pass membrane protein. Cytoplasm. Melanosome.
-
蛋白家族:Transient receptor (TC 1.A.4) family, TrpV subfamily, TRPV2 sub-subfamily
-
數據庫鏈接:
Most popular with customers
-
YWHAB Recombinant Monoclonal Antibody
Applications: ELISA, WB, IHC, IF, FC
Species Reactivity: Human, Mouse, Rat
-
Phospho-YAP1 (S127) Recombinant Monoclonal Antibody
Applications: ELISA, WB, IHC
Species Reactivity: Human
-
-
-
-
-
-















